Chapter Five: Cardiovascular System

Introduction

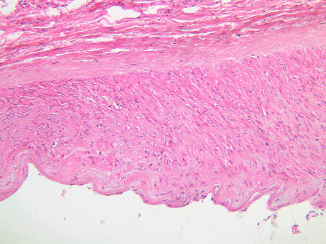
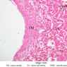
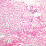
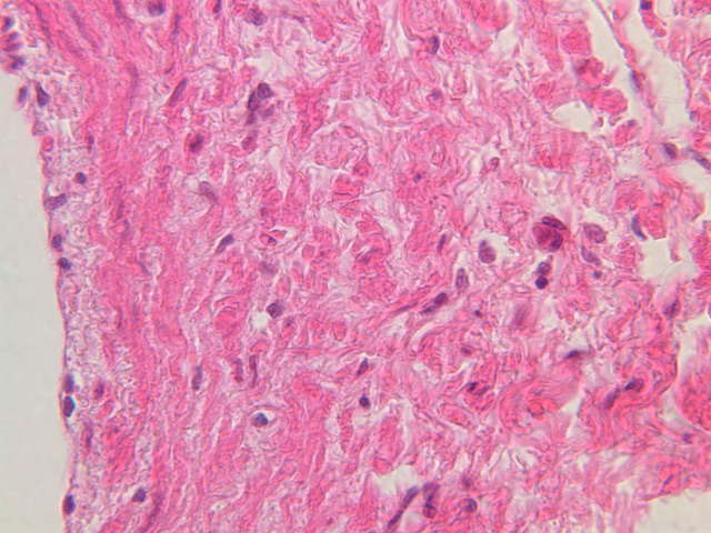
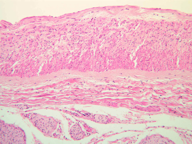
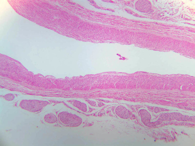
The cardiovascular system is composed of a pump, the heart, the arterial and venous tubes of varying diameters which conduct blood to and from the heart, and the lymphatic system which returns interstitial fluid to the heart. The essential work of the blood is to transfer nutritive substances and oxygen to the tissues and receiving waste products from them. This is accomplished in capillary or sinusoidal beds which almost always intervene between arteries and veins. Capillaries and sinusoids are tubes composed merely of endothelium and basal lamina. The walls of larger vessels and of the heart itself are structurally more complex and contain elements of all four primary tissues previously studied (i.e. epithelium, connective tissue, muscle and nerve). Vascular walls are composed of three layers or tunics: 1) tunica intima, the inner layer, consisting of an endothelial lining plus longitudinally oriented connective tissue elements; 2) tunica media, the middle layer, consisting of smooth muscle and connective tissue elements arranged in a circular or spiral fashion; and 3) tunica adventitia, the outer layer, consisting of connective tissue elements and some smooth muscle arranged longitudinally. The larger vessels are well supplied with nerves (to control the media musculature), blood vessels and lymphatics, distributed largely in the adventitia. These layers are present in all blood vessels, however, the proportional size of the various layers differs in different types of vessels. You should be able to recognize the following:

A. Tunica intima (or interna) - endothelium with its basement lamina. Internal elastic membrane (elastica interna, or internal elastic lamina) separates the intima from the media.

B. Tunica media - circular or spirally arranged smooth muscle - may also possess some elastic fibers and some connective tissue. External elastic membrane (elastica externa, or external elastic lamina) separates media from the adventitia and is less conspicuous than the internal elastic membrane.

C. Tunica adventitia - connective tissue, elastic fibers, and fibroblasts.

Top of page

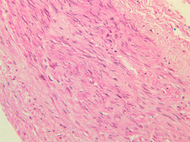
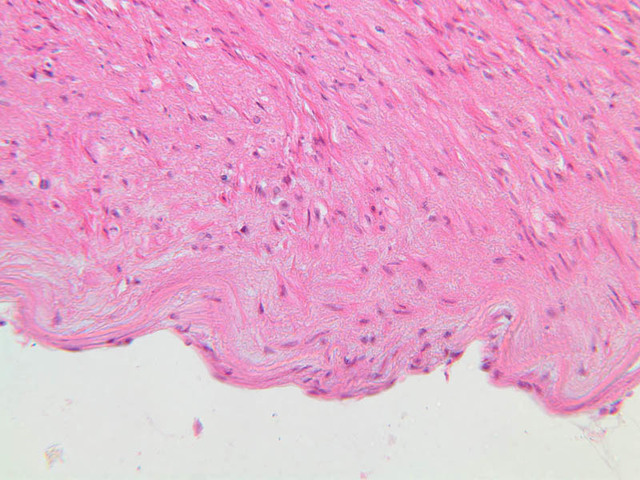
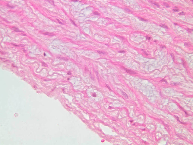
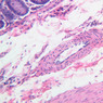
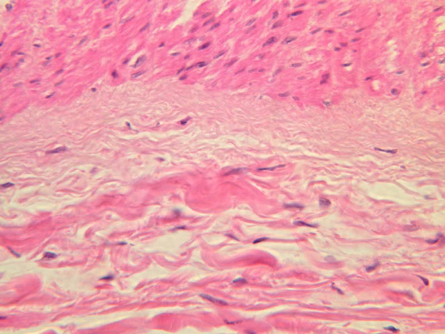
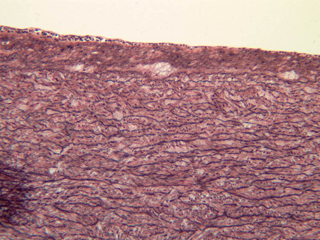
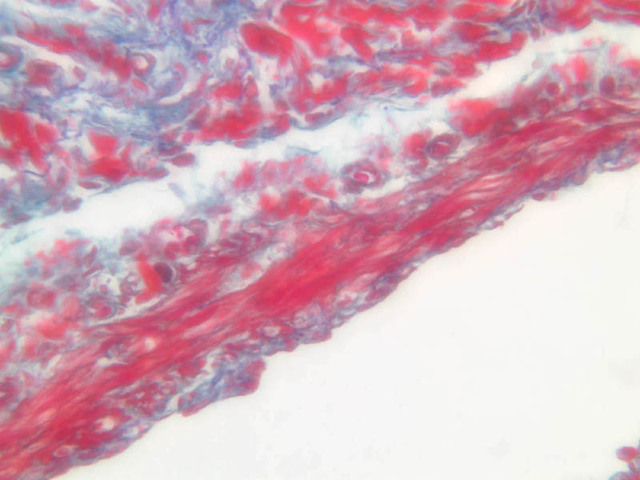
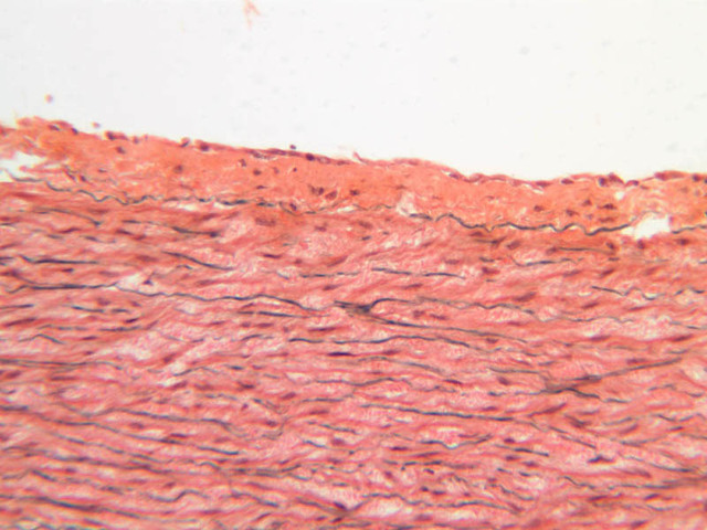
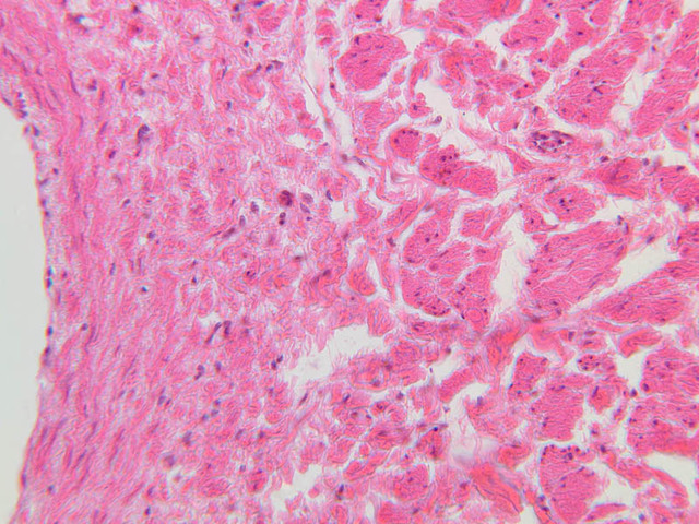
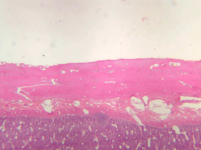
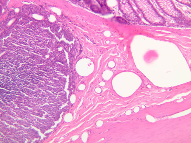
Elastic Arteries

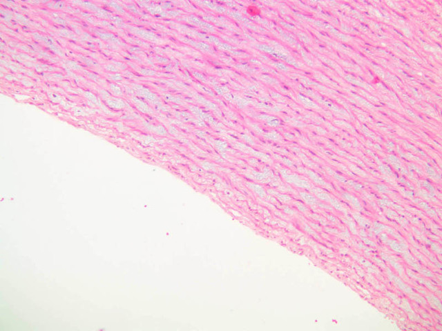
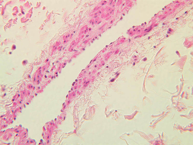
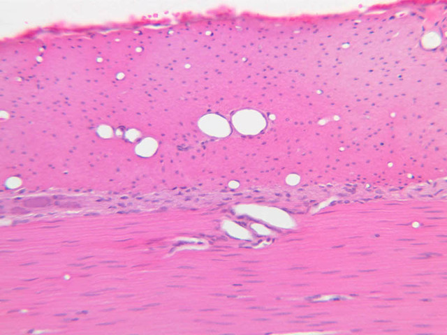
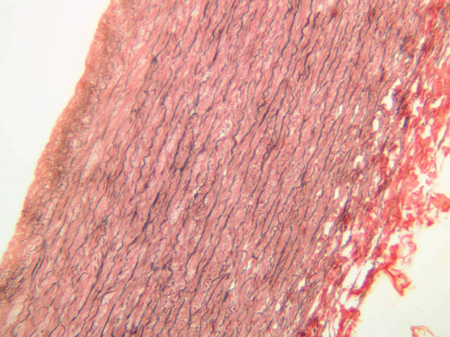
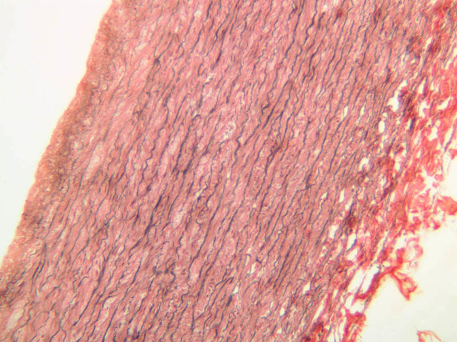
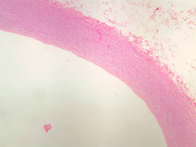
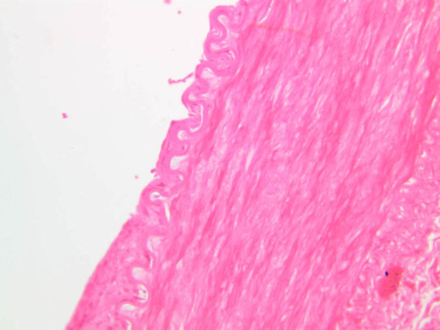
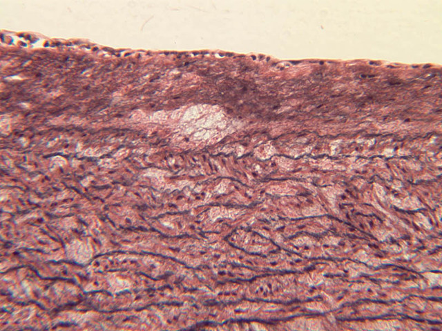
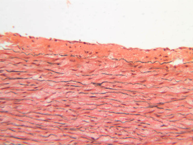
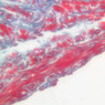
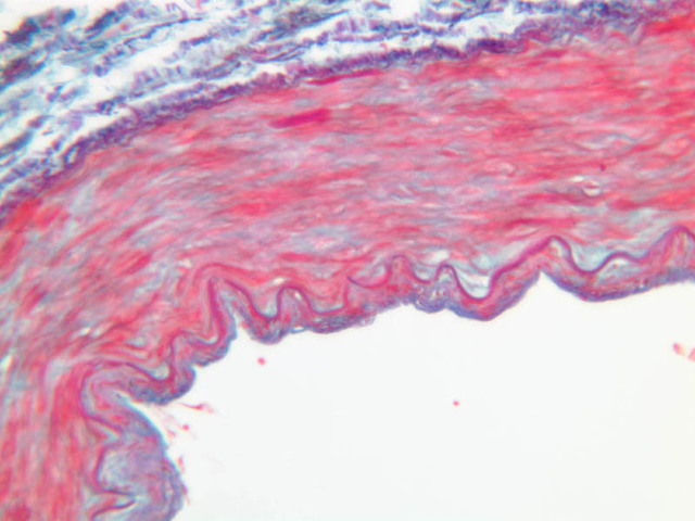
The blood is pumped from the heart into large, elastic (conduction) arteries. Examine a section of the aorta (A-26, H&E [2.5x, 10x, 20x, 40x-labeled] [2.5x, 10x-labeled, 20x, 40x]) which is a typical elastic artery. Although the tunica intima and tunica media are difficult to distinguish, note that together they are much thicker than the tunica adventitia. Using high power magnification, examine the tunica media and identify the cell types and fibers, recalling that elastic tissue appears light pink and refractive in H&E preparations. Compare this slide with a section of aorta stained to demonstrate elastic fibers (A-27, verhoeff [2.5x, 10x, 20x, 40x-labeled] [2.5x, 10x]).

Note how extensive the elastic tissue is in the tunica media. The elastic tissue is arranged in the form of numerous concentric elastic lamellae, which are cross connected by slender elastic fibers. Observe the distribution of elastic fibers in the tunica intima (A- 27 [2.5x, 10x, 20x, 40x]) and tunica adventitia (A-27 [10x, 20x, 40x]). The internal and external elastic membranes are not well demarcated in the aorta since so many elastic lamellae are present. The elasticity of the aorta allows it to expand and absorb much of the pressure during contraction of the left ventricle (i.e., systole). When the ventricle relaxes (diastole), the elastic aorta contracts, continuing the movement of blood into the medium and muscular arteries.

A26, Aorta, 2.5x (H&E) A26, Aorta, 10x (H&E) A26, Aorta, 20x (H&E) A26, Aorta, 40x Labeled (H&E) A26, Aorta, 2.5x (H&E) A26, Aorta, 10x Labeled (H&E) A26, Aorta, 20x (H&E) A26, Aorta, 40x (H&E) A27, Aorta, 2.5x (Verhoeff) A27, Aorta, 10x (Verhoeff) A27, Aorta, 20x (Verhoeff) A27, Aorta, 40x Labeled (Verhoeff) A27, Aorta, 2.5x (Verhoeff) A27, Aorta, 10x (Verhoeff) A27, Aorta, 2.5x (Verhoeff) A27, Aorta, 10x (Verhoeff) A27, Aorta, 20x (Verhoeff) A27, Aorta, 40x (Verhoeff) A27, Aorta, 10x (Verhoeff) A27, Aorta, 20x (Verhoeff) A27, Aorta, 40x (Verhoeff)


Elastic Artery of Identifications

Row Structure Abbreviation Optimal Stain Representative Section Note
1 Tunica Intima TI H&E a26b elastic artery aorta 10x labeled.jpgA26, Aorta, 10x; a27 elastic artery aorta verhoeff 40x labeled.jpgA27, Aorta, 40x  
2 Tunica Media TM H&E a26b elastic artery aorta 10x labeled.jpgA26, Aorta, 10x; a27 elastic artery aorta verhoeff 40x labeled.jpgA27, Aorta, 40x  
3 Tunica Adventitia TA H&E a26b elastic artery aorta 10x labeled.jpgA26, Aorta, 10x  
4 Vasa Vasora (Blood Vessel) V H&E a26b elastic artery aorta 10x labeled.jpgA26, Aorta, 10x  
5 Internal Elastic Lamina IEL H&E a26 elastic artery aorta 40x labeled.jpgA26, Aorta, 40x; a27 elastic artery aorta verhoeff 40x labeled.jpgA27, Aorta, 40x  
6 Smooth Muscle SM H&E a26 elastic artery aorta 40x labeled.jpgA26, Aorta, 40x  
7 Fibroblast F H&E a26 elastic artery aorta 40x labeled.jpgA26, Aorta, 40x  
8 Elastic Fiber EF H&E a26 elastic artery aorta 40x labeled.jpgA26, Aorta, 40x; a27 elastic artery aorta verhoeff 40x labeled.jpgA27, Aorta, 40x  
9 Endothelium En Verhoeff a27 elastic artery aorta verhoeff 40x labeled.jpgA27, Aorta, 40x  
10 Elastic Lamellae EL Verhoeff a27 elastic artery aorta verhoeff 40x labeled.jpgA27, Aorta, 40x  


Top of page

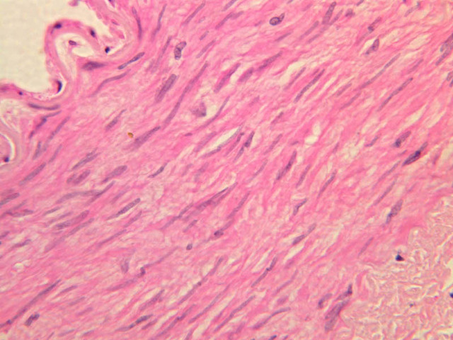
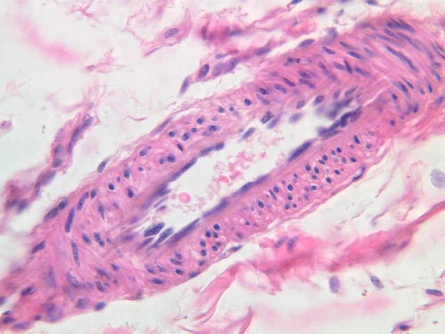
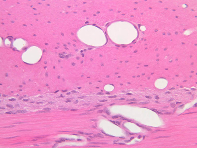
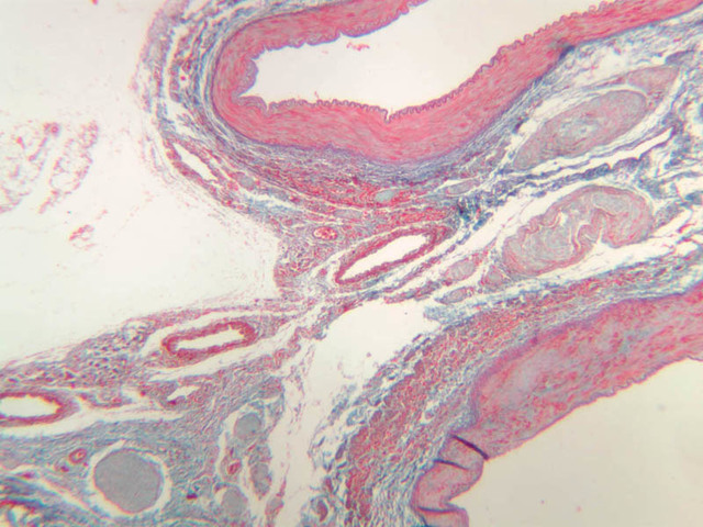
Muscular Arteries

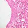
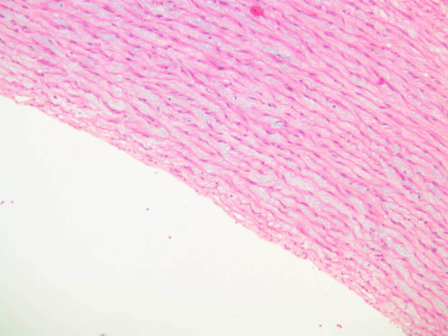
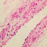
Blood passes from the elastic arteries via arteries of intermediate type into the muscular (distribution) arteries. Locate and examine a muscular artery in slide A-28 (Renal artery & vein, H&E [2.5x, 10x-labeled, 20x, 40x-labeled] [10x-labeled, 20x, 40x]; AF [10x-labeled, 20x, 40x]). Note that the tunica intima is separated from the tunica media by a thick internal elastic membrane which has a scalloped appearance. The tunica media consists of many layers of smooth muscle cells arranged concentrically in a spiral fashion (A-28, H&E [2.5x, 10x-labeled, 20x, 40x] [2.5x, 10x, 20x, 40x, 40x] [2.5x, 10x, 20x]). An external elastic membrane is present, but is thinner and less complete than the internal elastic membrane. The tunica adventitia is about equal in size to the media in this vessel and is more intensely eosinophilic in its staining properties. Note the appearance of small blood vessels in the outer part of the tunica adventitia. You may also be able to see occasional nerve fibers.

A28, (Kidney) Renal Artery, 2.5x (H&E) A28, (Kidney) Renal Artery, 10x Labeled (H&E) A28, (Kidney) Renal Artery, 20x (H&E) A28, (Kidney) Renal Artery, 40x Labeled (H&E) A28, (Kidney) Renal Artery, 10x Labeled (H&E) A28, (Kidney) Renal Artery, 20x (H&E) A28, (Kidney) Renal Artery, 40x (H&E) A28, Renal Artery (Kidney), 10x Labeled (AF) A28, Renal Artery (Kidney), 20x (AF) A28, Renal Artery (Kidney), 40x (AF) A28, Renal Artery (Kidney), 2.5x (H&E) A28, Renal Artery (Kidney), 10x Labeled (H&E) A28, Renal Artery (Kidney), 20x (H&E) A28, Renal Artery (Kidney), 40x (H&E) A28, Renal Artery (Kidney), 2.5x (H&E) A28, Renal Artery (Kidney), 10x (H&E) A28, Renal Artery (Kidney), 20x (H&E) A28, Renal Artery (Kidney), 40x (H&E) A28, Renal Artery (Kidney), 40x (H&E) A28, Renal Artery (Kidney), 2.5x (H&E) A28, Renal Artery (Kidney), 10x (H&E) A28, Renal Artery (Kidney), 20x (H&E)


Muscular Artery Table of Identifications

Row Structure Abbreviation Optimal Stain Representative Section Note
1 Tunica Intima TI H&E, AF a28 muscular artery renal artery 10x labeled.jpgA28, Renal Artery, 10x; a28 muscular artery renal artery 10x af labeled.jpgA28, Renal Artery, 10x; a28 muscular artery renal artery 40x labeled.jpgA28, Renal Artery, 40x  
2 Tunica Media TM H&E, AF a28 muscular artery renal artery 10x labeled.jpgA28, Renal Artery, 10x; a28 muscular artery renal artery 10x af labeled.jpgA28, Renal Artery, 10x; a28 muscular artery renal artery 40x labeled.jpgA28, Renal Artery, 40x  
3 Tunica Adventitia TA H&E, AF a28 muscular artery renal artery 10x labeled.jpgA28, Renal Artery, 10x; a28 muscular artery renal artery 10x af labeled.jpgA28, Renal Artery, 10x; a28 muscular artery renal artery 40x labeled.jpgA28, Renal Artery, 40x  
4 Internal Elastic Membrane IEM AF a28 muscular artery renal artery 10x af labeled.jpgA28, Renal Artery, 10x  
5 External Elastic Membrane EEM AF a28 muscular artery renal artery 10x af labeled.jpgA28, Renal Artery, 10x  
6 Smooth Muscle SM H&E a28 muscular artery renal artery 40x labeled.jpgA28, Renal Artery, 40x  
7 Nerve N H&E a28c muscular artery 10x he labeled.jpgA28, Renal Artery, 10x  
8 Endothelium En H&E a28 muscular artery renal artery 40x labeled.jpgA28, Renal Artery, 40x  
9 Elastic Lamellae EL H&E a28 muscular artery renal artery 40x labeled.jpgA28, Renal Artery, 40x  
10 Internal Elastic Lamina IEL H&E a28 muscular artery renal artery 40x labeled.jpgA28, Renal Artery, 40x  

Top of page

The Terminal Vascular Bed

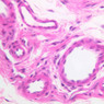
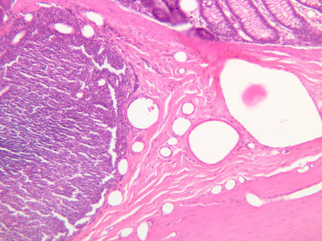
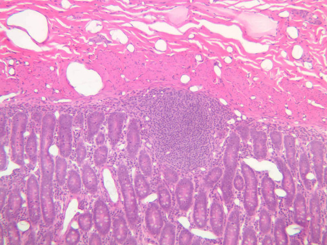
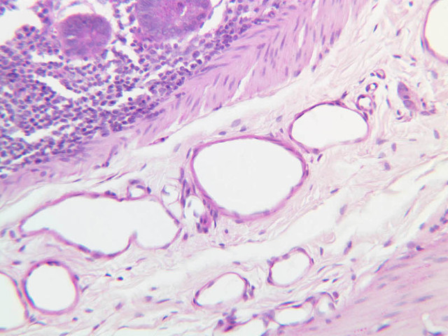
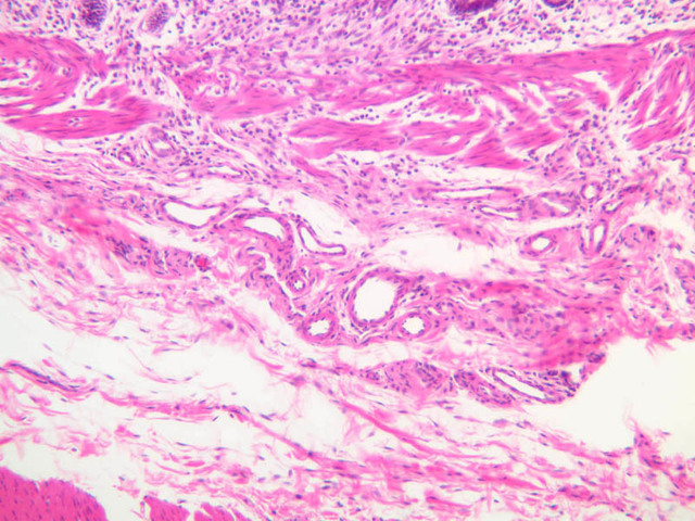
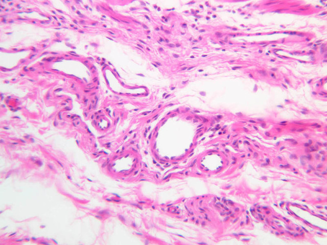
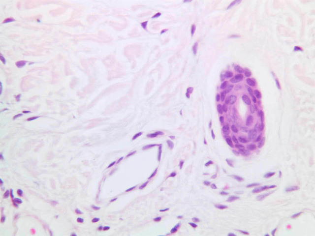
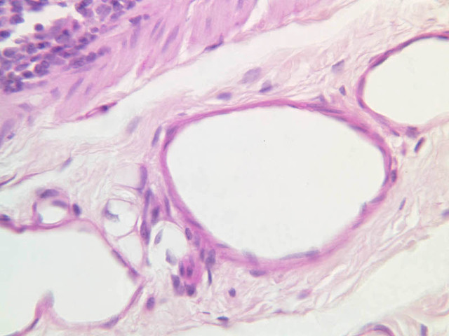
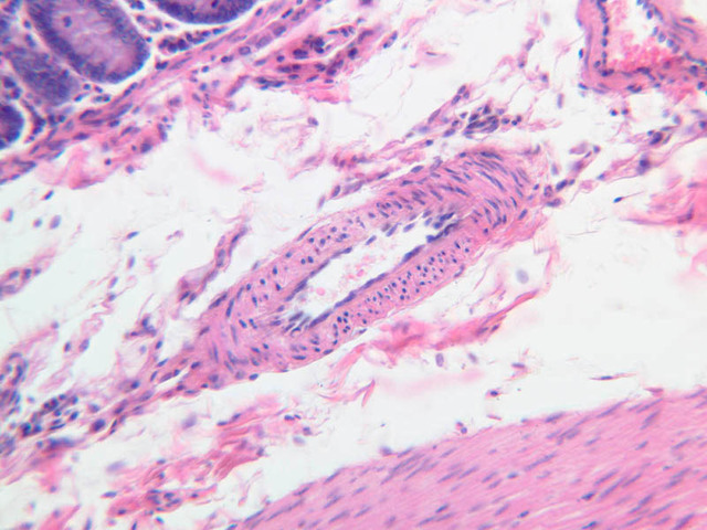
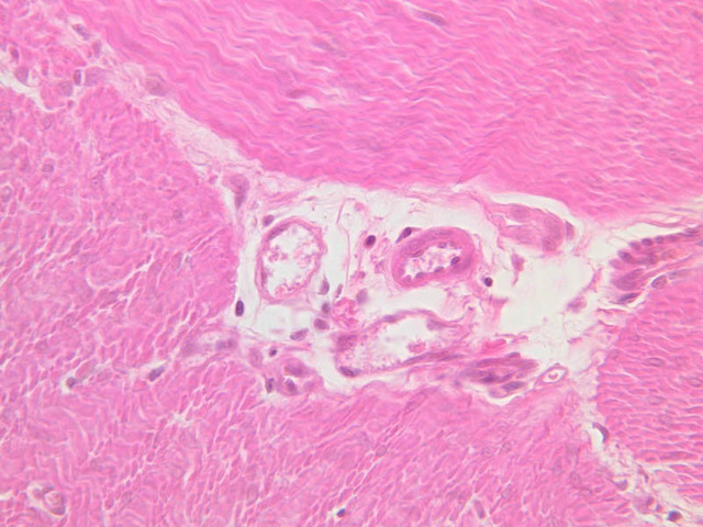
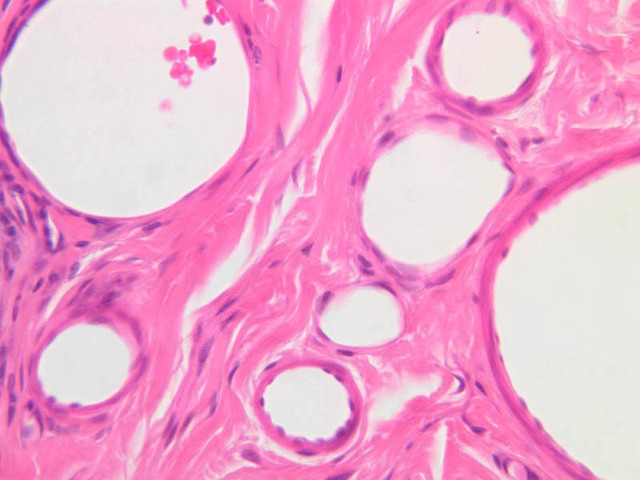
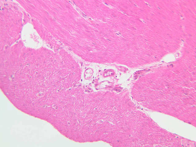
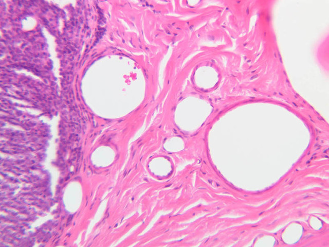
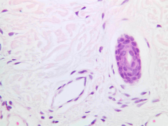
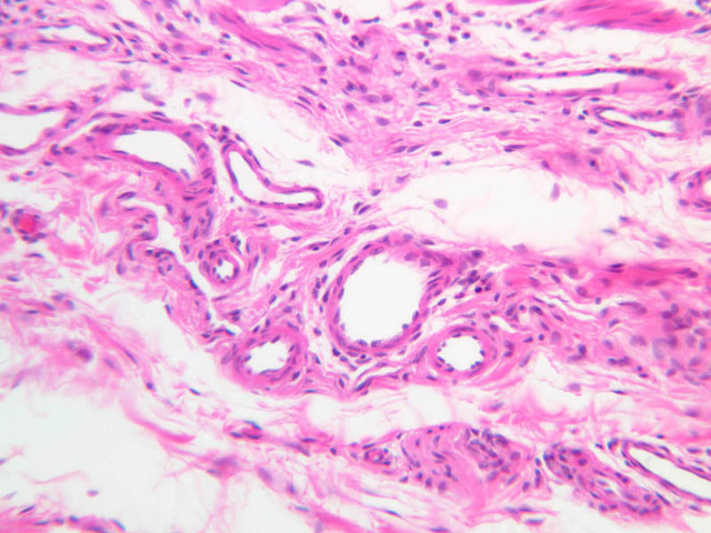
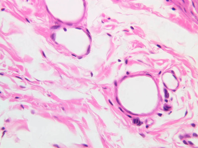
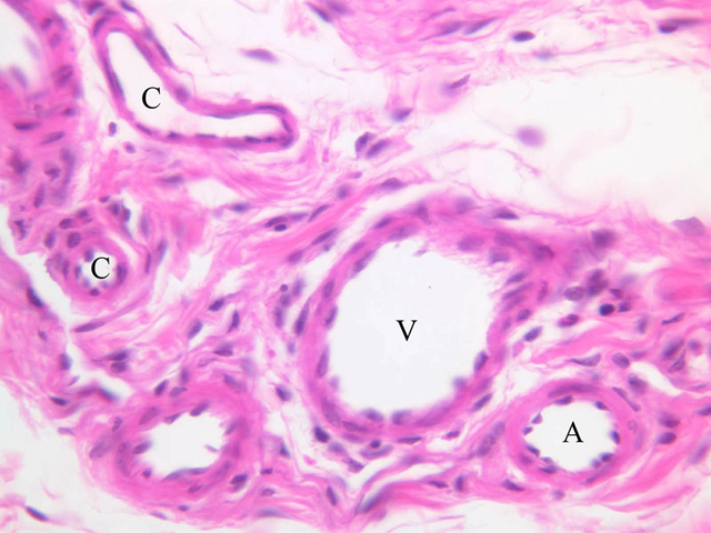
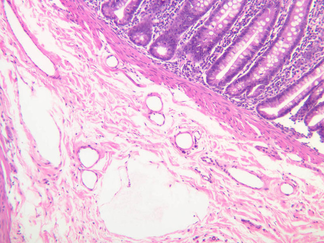
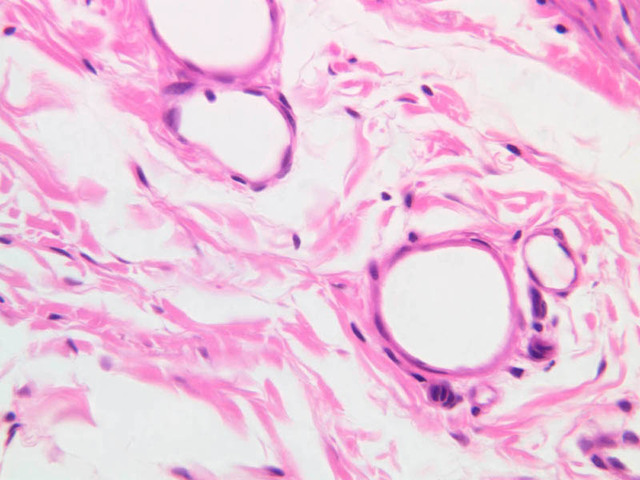
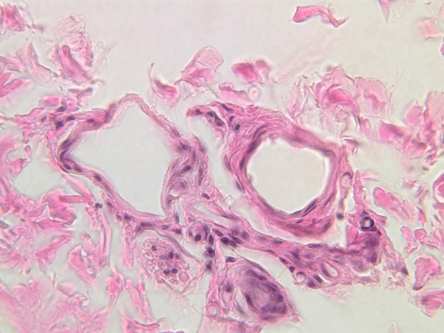
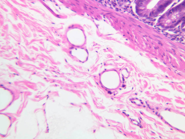
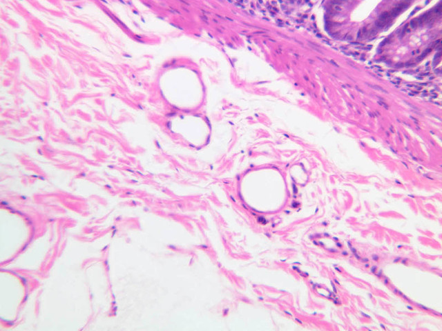
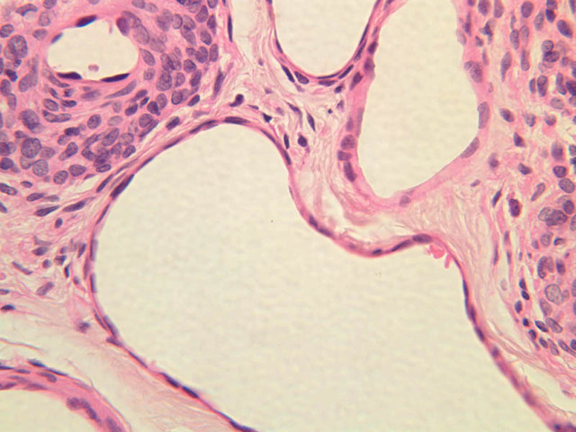
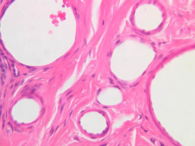
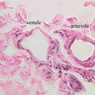
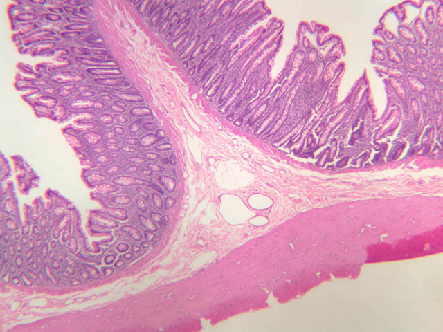
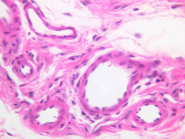
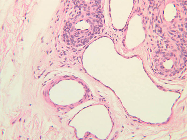
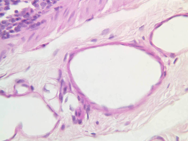
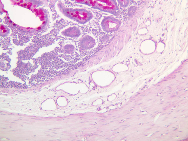
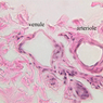
Arterioles, capillaries, sinusoids, and venules comprise the terminal vascular bed. The larger arterioles, having a diameter of 100 μm or less, consist of endothelium, an incomplete internal elastic membrane, one to three layers of smooth muscle cells, and some connective tissue. As the arterioles decrease in diameter, the amount of smooth muscle in the tunica media also decreases. The internal elastic membrane disappears and the tunica adventitia is reduced to a few collagen fibers and fibroblasts. Vessels of this type pass into true capillaries, which are merely endothelial tubes about 7-10 μm in diameter, surrounded by a few reticular fibers and variable numbers of pericytes. Two types of capillaries can be recognized by electron microscopy.

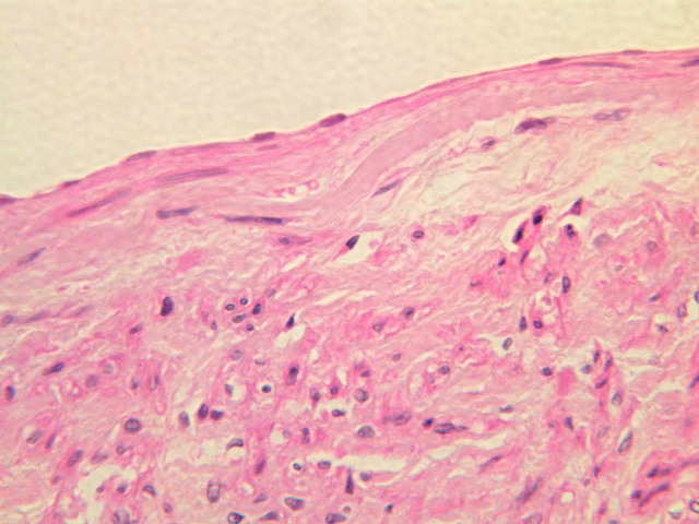
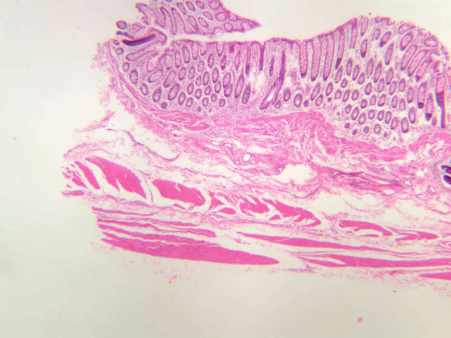
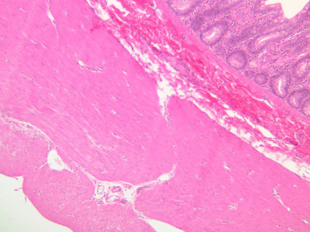
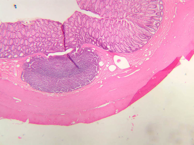
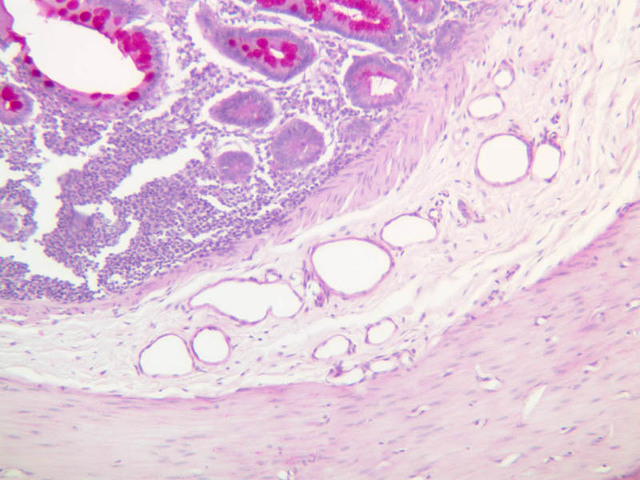
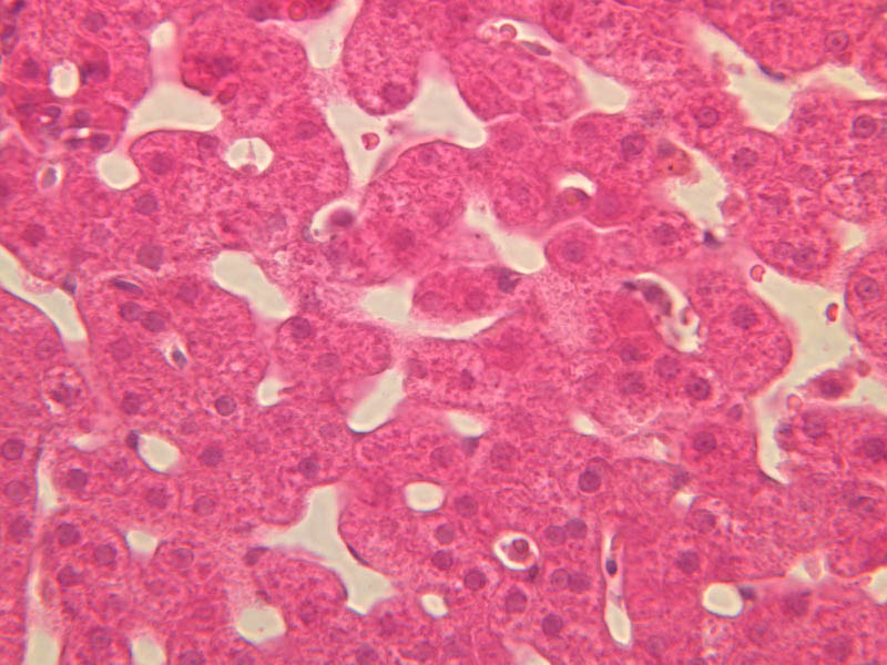
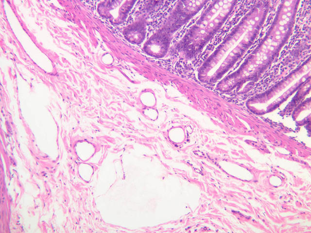
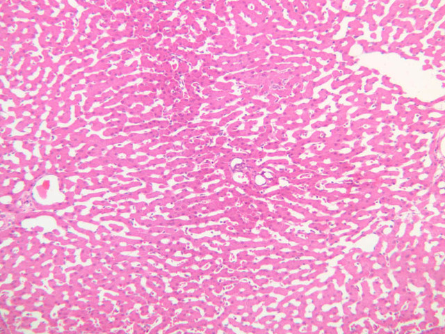
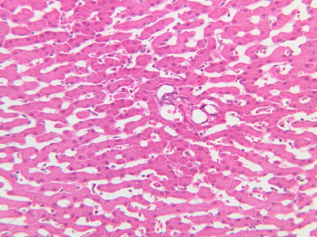
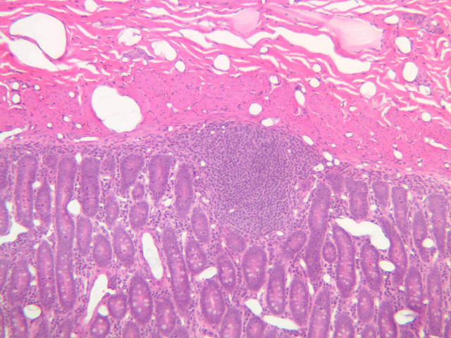
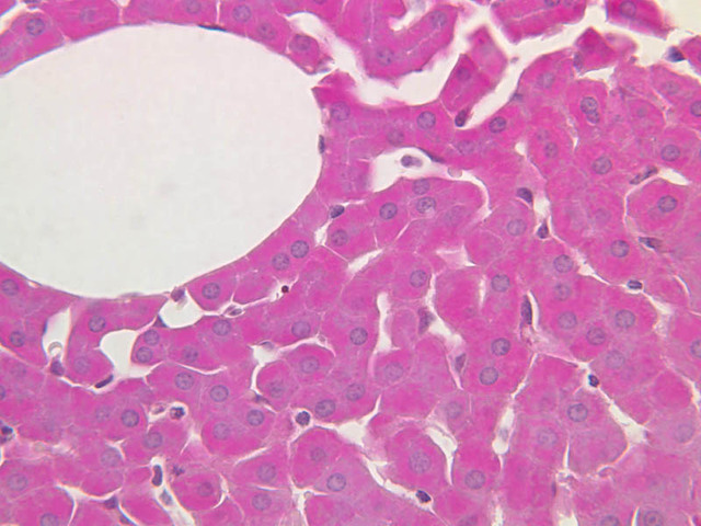
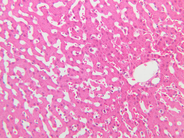
Continuous capillaries consist of a sheet of endothelial cells that, as the name implies, has no defects or discontinuities. Fenestrated capillaries have areas of fusion of plasmalemmae that are responsible for enhanced transport as in kidney and endocrine organs. Discontinuous capillaries, or sinusoids, have gaps between individual endothelial cells. Sinusoids of the liver and spleen are examples. Sinusoids, which occur in some organs as branches directly from arterioles (in place of capillaries) also consist of a single layer of endothelial cells, but are two to three times greater in diameter and more irregular in shape than capillaries. Many of the cells lining sinusoids have phagocytic capabilities (e.g. Kupffer cells of the liver). Venules, the vessels into which capillaries or sinusoids feed and the smallest vessels of the venous system are endothelial tubes, larger in diameter than capillaries, surrounded by a thin sheath of connective tissue cells and fibers. When venules reach a diameter of about 40 μmμ, smooth muscle cells appear, but do not form a distinct layer. Look for arterioles, capillaries, and venules in slides B-12 (jejunum, H&E [10x, 20x, 40x-labeled] [2.5x, 10x, 20x, 40x]), B-13 (jejunum, PAS [2.5x, 10x, 20x-labeled, 40x]), B-15 (jejunum, H&E [2.5x, 10x, 20x, 40x] [2.5x, 10x, 20x, 40x] [10x, 20x, 40x]), B-16 (ileum, H&E [10x, 20x, 40x-labeled] [2.5x, 10x, 20x, 40x]), B-23 (colon, H&E [2.5x, 10x, 20x-labeled, 40x]), B-24 (colon, H&E [2.5x, 10x, 20x, 40x-labeled]), B-26 (rectal-anal junction, H&E [2.5x, 10x, 20x, 40x] [2.5x, 10x, 20x, 40x-labeled]). Capillaries and venules may be distinguished from small lymph vessels, also present, by the fact that the blood vessels contain red blood cells while the lymph vessels do not. Study a number of examples of each kind of small vessel, looking for the changes that characterize arterioles as they get smaller and venules as they get larger. Be able to distinguish differences between capillaries and the smallest arterioles and venules. Look for additional examples of small vessels of the various kinds in the dense connective tissue of skin (A-48, abdominal [2.5x, 10x, 20x, 40x]; A-50, fingertip [2.5x, 10x, 20x, 40x] [2.5x, 10x, 20x, 40x] [2.5x, 10x, 20x, 40x]; A-58, axillary [2.5x, 10x, 20x, 40x-labeled]), using care not to confuse the cross-sections of glands (which consist almost entirely of epithelial cells) with blood vessels. Arterioles, especially, are cut in different planes and are not always easy to identify.

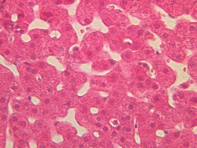
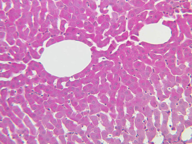
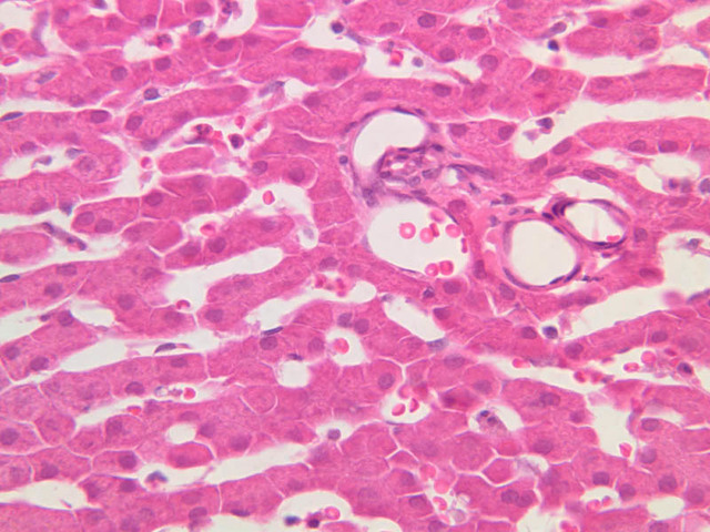
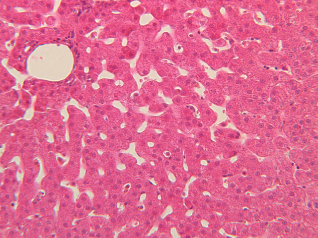
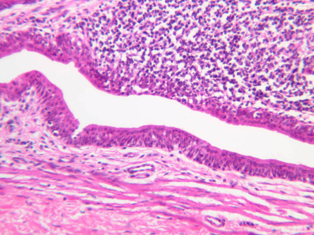
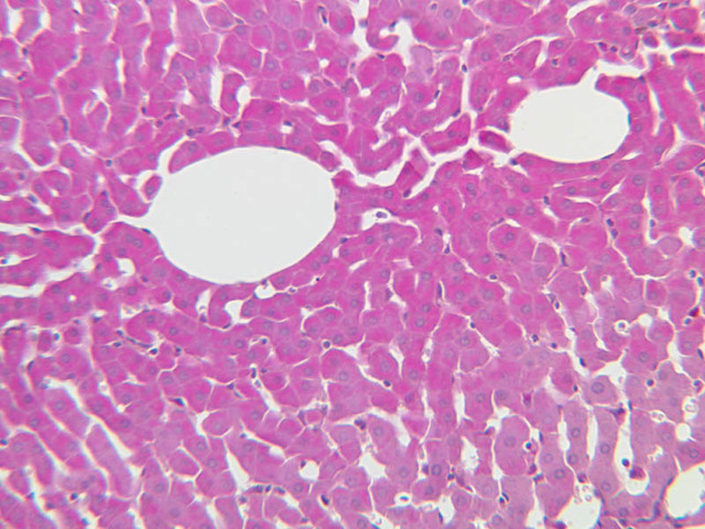
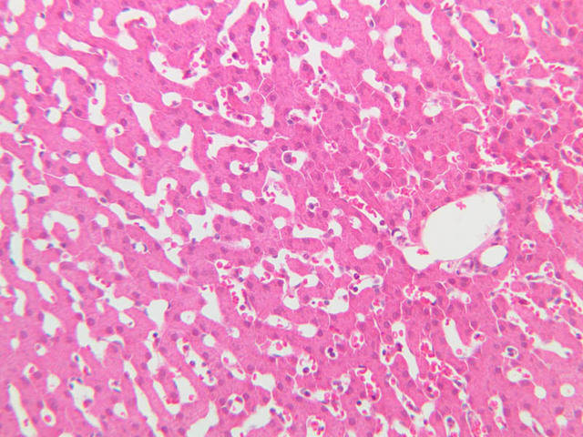
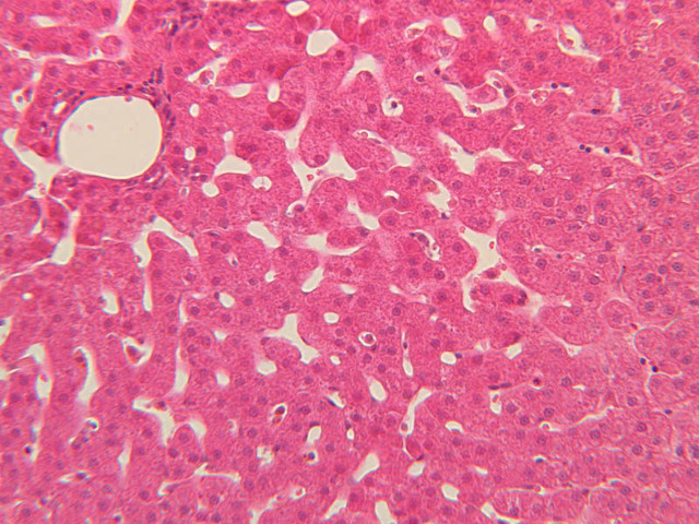
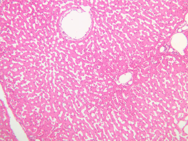
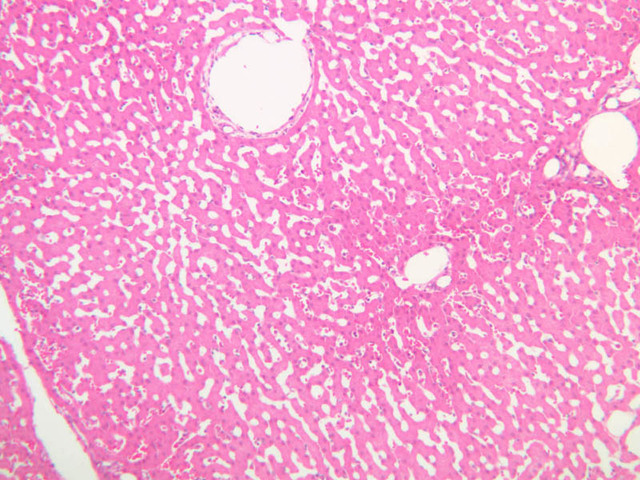
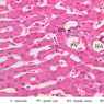
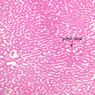
The structure of sinusoids can be studied in the liver (B-29, H&E [10x, 20x, 40x] [10x-labeled, 20x, 40x-labeled]; B-30, H&E [10x, 20x, 40x]; B-35, PAS [10x, 20x, 40x]) where they occur as endothelial tubes between plates of hepatocytes. In the liver, they are channels slightly larger in diameter than red blood cells and the individual lining cells have open spaces between them. The principal difference between sinusoids and capillaries is size, which presumably allows blood to flow more slowly in the larger sinusoids.

B12, Jejunum, 10x (H&E) B12, Jejunum, 20x (H&E) B12, Jejunum, 40x Labeled (H&E) B12, Jejunum, 2.5x (H&E) B12, Jejunum, 10x (H&E) B12, Jejunum, 20x (H&E) B12, Jejunum, 40x (H&E) B13, Jejunum, 2.5x (PAS) B13, Jejunum, 10x (PAS) B13, Jejunum, 20x Labeled (PAS) B13, Jejunum, 40x (PAS) B15, Jejunum, 2.5x (H&E) B15, Jejunum, 10x (H&E) B15, Jejunum, 20x (H&E) B15, Jejunum, 40x (H&E) B15, Jejunum, 2.5x (H&E) B15, Jejunum, 10x (H&E) B15, Jejunum, 20x (H&E) B15, Jejunum, 40x (H&E) B15, Jejunum, 10x (H&E) B15, Jejunum, 20x (H&E) B15, Jejunum, 40x (H&E) B16, Ileum, 10x (H&E) B16, Ileum, 20x (H&E) B16, Ileum, 40x Labeled (H&E) B16, Ileum, 2.5x (H&E) B16, Ileum, 10x (H&E) B16, Ileum, 20x (H&E) B16, Ileum, 40x (H&E) B23, Colon, 2.5x (H&E) B23, Colon, 10x (H&E) B23, Colon, 20x Labeled (H&E) B23, Colon, 40x (H&E) B24, Colon, 2.5x (H&E) B24, Colon, 10x (H&E) B24, Colon, 20x (H&E) B24, Colon, 40x Labeled (H&E) B26, Rectal-Anal Junction, 2.5x (H&E) B26, Rectal-Anal Junction, 10x (H&E) B26, Rectal-Anal Junction, 20x (H&E) B26, Rectal-Anal Junction, 40x (H&E) B26, Rectal-Anal Junction, 2.5x (H&E) B26, Rectal-Anal Junction, 10x (H&E) B26, Rectal-Anal Junction, 20x (H&E) B26, Rectal-Anal Junction, 40x Labeled (H&E) A48, Abdominal Skin, 2.5x (H&E) A48, Abdominal Skin, 10x (H&E) A48, Abdominal Skin, 20x (H&E) A48, Abdominal Skin, 40x (H&E) A50, Fingertip, 2.5x (H&E) A50, Fingertip, 10x (H&E) A50, Fingertip, 20x (H&E) A50, Fingertip, 40x (H&E) A50, Fingertip, 2.5x (H&E) A50, Fingertip, 10x (H&E) A50, Fingertip, 20x (H&E) A50, Fingertip, 40x (H&E) A50, Fingertip, 2.5x (H&E) A50, Fingertip, 10x (H&E) A50, Fingertip, 20x (H&E) A50, Fingertip, 40x (H&E) A58, Axillary Skin, 2.5x (H&E) A58, Axillary Skin, 10x (H&E) A58, Axillary Skin, 20x (H&E) A58, Axillary Skin, 40x Labeled (H&E) B29, Liver (Sinusoids), 10x (H&E) B29, Liver (Sinusoids), 20x (H&E) B29, Liver (Sinusoids), 40x (H&E) B29, Liver (Sinusoids), 10x Labeled (H&E) B29, Liver (Sinusoids), 20x (H&E) B29, Liver (Sinusoids), 40x Labeled (H&E) B30, Liver (Sinusoids), 10x (H&E) B30, Liver (Sinusoids), 20x (H&E) B30, Liver (Sinusoids), 40x (H&E) B35, Liver (Sinusoids), 10x (PAS) B35, Liver (Sinusoids), 20x (PAS) B35, Liver (Sinusoids), 40x (PAS)


Terminal Vascular Bed Table of Identifications

Row Structure Abbreviation Optimal Stain Representative Section Note
1 Central Vein (none) H&E b29b sinusoids liver 10x labeled.jpgB29, Liver, 10x  
2 Portal Canal (none) H&E b29b sinusoids liver 10x labeled.jpgB29, Liver, 10x  
3 Sinusoids S H&E b29b sinusoids liver 40x labeled.jpgB29, Liver, 40x  
4 Portal Vein PV H&E b29b sinusoids liver 40x labeled.jpgB29, Liver, 40x  
5 Hepatic Artery HA H&E b29b sinusoids liver 40x labeled.jpgB29, Liver, 40x  
6 Bile Duct BD H&E b29b sinusoids liver 40x labeled.jpgB29, Liver, 40x  
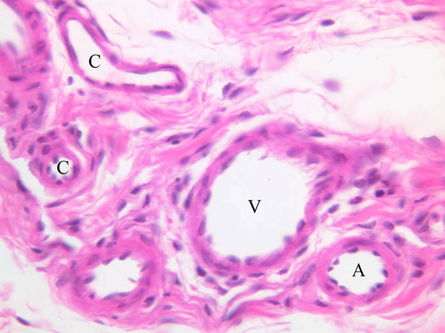
7 Arteriole A PAS, H&E b13 vascular bed jejunum 20x pas labeled.jpgB13, Jejunum, 20x; b23 vascular bed colon 20x labeled.jpgB23, Colon, 20x  
8 Capillary C PAS, H&E b13 vascular bed jejunum 20x pas labeled.jpgB13, Jejunum, 40x; b23 vascular bed colon 20x labeled.jpgB23, Colon, 20x  
9 Venule V PAS, H&E b13 vascular bed jejunum 20x pas labeled.jpgB13, Jejunum, 40x; b23 vascular bed colon 20x labeled.jpgB23, Colon, 20x  
10 Small Vein SV H&E b23 vascular bed colon 20x labeled.jpgB23, Colon, 20x  
11 Pericyte P H&E b12 vascular bed jejunum 40x labeled.jpgB12, Jejunum, 40x  
12 Endothelial Cell En H&E b24 vascular bed colon 40x labeled.jpgB24, Colon, 40x  
13 Smooth Muscle SM H&E b24 vascular bed colon 40x labeled.jpgB24, Colon, 40x  

Top of page

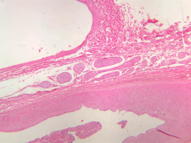
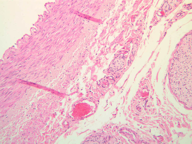
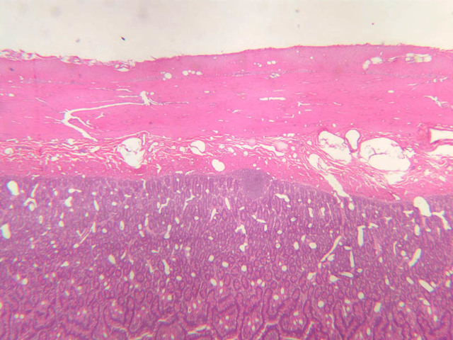
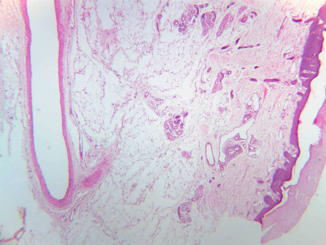
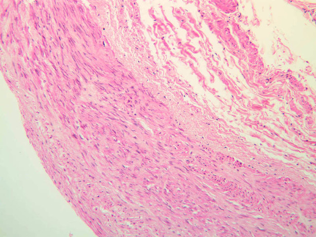
Veins

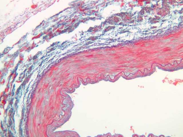
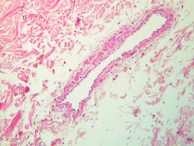
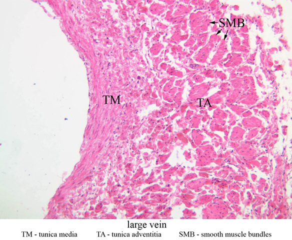
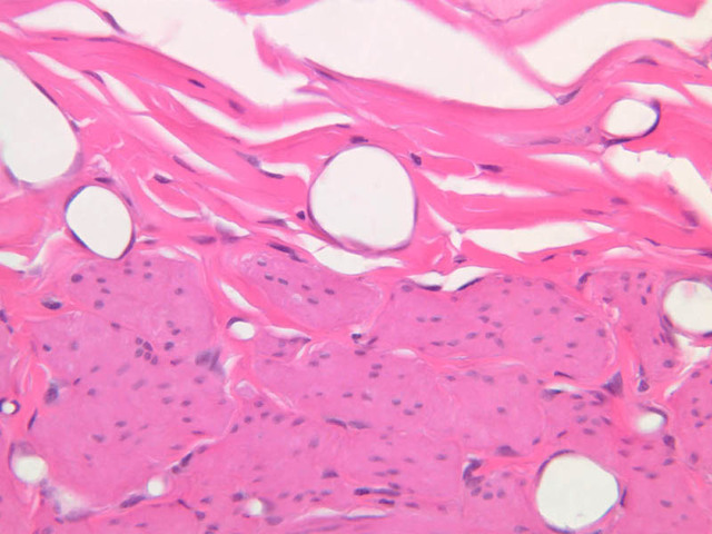
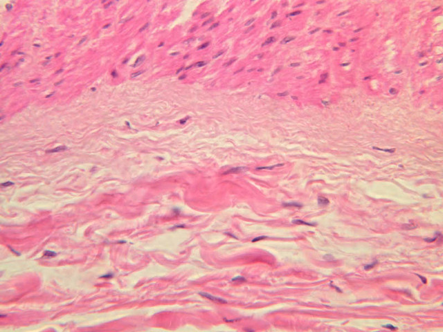
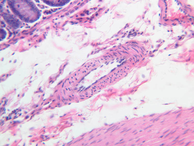
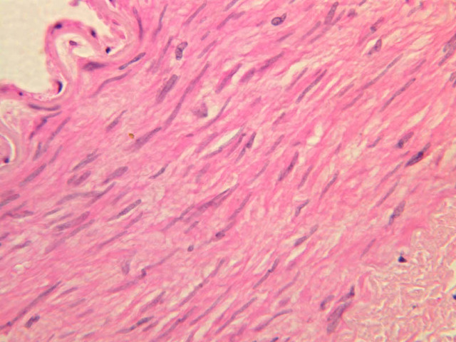
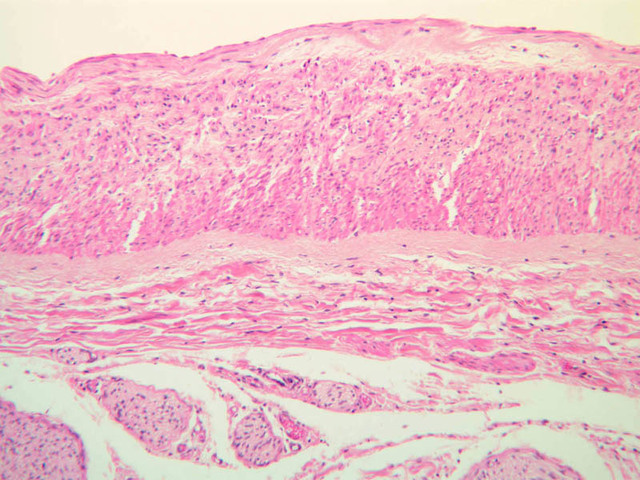
Veins are generally divided into small, medium, and large categories, though this division is not as readily based upon structural differences as among arteries. Examine a section of medium-sized vein (B-83, spermatic cord [2.5x, 10x, 20x-labeled, 40x] [10x, 20x, 40x] [2.5x, 10x, 20x, 40x]). The tunica adventitia, composed mainly of collagenous fibers cut obliquely or transversely, may be the thickest of the three coats. A thin internal elastic membrane can be seen in places around the vessel, but it is much less prominent than the membrane of the companion artery. No external elastic membrane is distinguishable in the vein. Compare the features of artery and vein: thickness of wall, size of lumen, amount of musculature, etc. The vein has a relatively wide lumen and a thin wall because it carries large volumes of blood at low pressures.

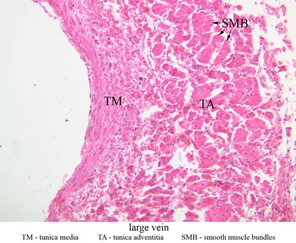
Large veins have a very narrow tunica intima and only a few layers of muscle and fibers in the tunica media (A-28, H&E [2.5x, 10x-labeled, 20x, 40x], AF [2.5x, 10x, 20x, 40x]). Its chief coat, as in smaller veins, is the tunica adventitia, but in this case, the coat is composed mostly of longitudinal muscle fibers. Some other large veins, particularly those of the cranial cavity, lack muscle and thus differ from the venae cavae. The structure of veins generally and large veins in particular is more variable than arterial structure.

B83, Spermatic Cord, 2.5x (H&E) B83, Spermatic Cord, 10x (H&E) B83, Spermatic Cord, 20x Labeled (H&E) B83, Spermatic Cord, 40x (H&E) B83, Spermatic Cord, 10x (H&E) B83, Spermatic Cord, 20x (H&E) B83, Spermatic Cord, 40x (H&E) B83, Spermatic Cord, 2.5x (H&E) B83, Spermatic Cord, 10x (H&E) B83, Spermatic Cord, 20x (H&E) B83, Spermatic Cord, 40x (H&E) A28, Renal Vein, 2.5x (H&E) A28, Renal Vein, 10x Labeled (H&E) A28, Renal Vein, 20x (H&E) A28, Renal Vein, 40x (H&E) A28, Renal Vein, 2.5x (AF) A28, Renal Vein, 10x (AF) A28, Renal Vein, 20x (AF) A28, Renal Vein, 40x (AF)


Veins Table of Identifications

Row Structure Abbreviation Optimal Stain Representative Section Note
1 Large Vein (none) H&E a28 renal vein 10x labeled.jpgA28, Renal Vein, 10x  
2 Tunica Media TM H&E a28 renal vein 10x labeled.jpgA28, Renal Vein, 10x; b83 medium sized vein spermatic cord 20x labeled.jpgB83, Spermatic Cord, 20x  
3 Tunica Adventitia TA H&E a28 renal vein 10x labeled.jpgA28, Renal Vein, 10x; b83 medium sized vein spermatic cord 20x labeled.jpgB83, Spermatic Cord, 20x  
4 Smooth Muscle Bundles SMB H&E a28 renal vein 10x labeled.jpgA28, Renal Vein, 10x  
5 Medium Vein (none) H&E b83 medium sized vein spermatic cord 20x labeled.jpgB83, Spermatic Cord, 20x  
6 Small Vein (none) H&E b83 medium sized vein spermatic cord 20x labeled.jpgB83, Spermatic Cord, 20x  
7 Muscular Artery (none) H&E b83 medium sized vein spermatic cord 20x labeled.jpgB83, Spermatic Cord, 20x  

Top of page

Chapter Five Review

Review of Slides

Cardiovascular Cardiovascular Cardiovascular Cardiovascular Cardiovascular Cardiovascular Cardiovascular Cardiovascular Cardiovascular Cardiovascular Cardiovascular Cardiovascular Cardiovascular Cardiovascular Cardiovascular Cardiovascular Cardiovascular Cardiovascular Cardiovascular Cardiovascular Cardiovascular Cardiovascular Cardiovascular Cardiovascular Cardiovascular Cardiovascular Cardiovascular Cardiovascular Cardiovascular Cardiovascular Cardiovascular Cardiovascular Cardiovascular Cardiovascular Cardiovascular Cardiovascular Cardiovascular Cardiovascular Cardiovascular Cardiovascular Cardiovascular Cardiovascular Cardiovascular Cardiovascular Cardiovascular Cardiovascular Cardiovascular Cardiovascular Cardiovascular Cardiovascular Cardiovascular Cardiovascular Cardiovascular Cardiovascular Cardiovascular Cardiovascular Cardiovascular Cardiovascular Cardiovascular Cardiovascular Cardiovascular Cardiovascular Cardiovascular Cardiovascular Cardiovascular Cardiovascular Cardiovascular Cardiovascular Cardiovascular Cardiovascular Cardiovascular Cardiovascular Cardiovascular Cardiovascular Cardiovascular Cardiovascular Cardiovascular Cardiovascular Cardiovascular Cardiovascular Cardiovascular Cardiovascular Cardiovascular Cardiovascular Cardiovascular Cardiovascular Cardiovascular Cardiovascular Cardiovascular Cardiovascular Cardiovascular Cardiovascular Cardiovascular Cardiovascular Cardiovascular Cardiovascular Cardiovascular Cardiovascular Cardiovascular Cardiovascular Cardiovascular Cardiovascular Cardiovascular Cardiovascular Cardiovascular Cardiovascular Cardiovascular Cardiovascular Cardiovascular Cardiovascular Cardiovascular Cardiovascular Cardiovascular Cardiovascular Cardiovascular Cardiovascular Cardiovascular Cardiovascular Cardiovascular Cardiovascular Cardiovascular Cardiovascular Cardiovascular Cardiovascular Cardiovascular Cardiovascular Cardiovascular Cardiovascular Cardiovascular Cardiovascular Cardiovascular Cardiovascular Cardiovascular Cardiovascular Cardiovascular Cardiovascular Cardiovascular Cardiovascular Cardiovascular Cardiovascular Cardiovascular Cardiovascular Cardiovascular Cardiovascular Cardiovascular Cardiovascular Cardiovascular Cardiovascular Cardiovascular Cardiovascular Cardiovascular Cardiovascular Cardiovascular Cardiovascular Cardiovascular Cardiovascular Cardiovascular Cardiovascular


Review of Identifications

Row Structure Abbreviation Optimal Stain Representative Section Note
1 Tunica Intima TI H&E, AF a26b elastic artery aorta 10x labeled.jpgA26, Aorta, 10x; a27 elastic artery aorta verhoeff 40x labeled.jpgA27, Aorta, 40x; a28 muscular artery renal artery 10x labeled.jpgA28, Renal Artery, 10x; a28 muscular artery renal artery 10x af labeled.jpgA28, Renal Artery, 10x; a28 muscular artery renal artery 40x labeled.jpgA28, Renal Artery, 40x  
2 Tunica Media TM H&E, AF a26b elastic artery aorta 10x labeled.jpgA26, Aorta, 10x; a27 elastic artery aorta verhoeff 40x labeled.jpgA27, Aorta, 40x; a28 muscular artery renal artery 10x labeled.jpgA28, Renal Artery, 10x; a28 muscular artery renal artery 10x af labeled.jpgA28, Renal Artery, 10x; a28 muscular artery renal artery 40x labeled.jpgA28, Renal Artery, 40x; a28 renal vein 10x labeled.jpgA28, Renal Vein, 10x; b83 medium sized vein spermatic cord 20x labeled.jpgB83, Spermatic Cord, 20x  
3 Tunica Adventitia TA H&E, AF a26b elastic artery aorta 10x labeled.jpgA26, Aorta, 10x; a28 muscular artery renal artery 10x labeled.jpgA28, Renal Artery, 10x; a28 muscular artery renal artery 10x af labeled.jpgA28, Renal Artery, 10x; a28 muscular artery renal artery 40x labeled.jpgA28, Renal Artery, 40x; a28 renal vein 10x labeled.jpgA28, Renal Vein, 10x; b83 medium sized vein spermatic cord 20x labeled.jpgB83, Spermatic Cord, 20x  
4 Vasa Vasora (Blood Vessel) V H&E a26b elastic artery aorta 10x labeled.jpgA26, Aorta, 10x  
5 Internal Elastic Lamina IEL H&E a26 elastic artery aorta 40x labeled.jpgA26, Aorta, 40x; a27 elastic artery aorta verhoeff 40x labeled.jpgA27, Aorta, 40x  
6 Smooth Muscle SM H&E a26 elastic artery aorta 40x labeled.jpgA26, Aorta, 40x  
7 Fibroblast F H&E a26 elastic artery aorta 40x labeled.jpgA26, Aorta, 40x  
8 Elastic Fiber EF H&E a26 elastic artery aorta 40x labeled.jpgA26, Aorta, 40x; a27 elastic artery aorta verhoeff 40x labeled.jpgA27, Aorta, 40x  
9 Endothelium En Verhoeff a27 elastic artery aorta verhoeff 40x labeled.jpgA27, Aorta, 40x  
10 Elastic Lamellae EL Verhoeff a27 elastic artery aorta verhoeff 40x labeled.jpgA27, Aorta, 40x; a28 muscular artery renal artery 40x labeled.jpgA28, Renal Artery, 40x  
11 Internal Elastic Membrane IEM AF a28 muscular artery renal artery 10x af labeled.jpgA28, Renal Artery, 10x  
12 External Elastic Membrane EEM AF a28 muscular artery renal artery 10x af labeled.jpgA28, Renal Artery, 10x  
13 Smooth Muscle SM H&E a28 muscular artery renal artery 40x labeled.jpgA28, Renal Artery, 40x; b24 vascular bed colon 40x labeled.jpgB24, Colon, 40x  
14 Nerve N H&E a28c muscular artery 10x he labeled.jpgA28, Renal Artery, 10x  
15 Endothelium En H&E a28 muscular artery renal artery 40x labeled.jpgA28, Renal Artery, 40x  
16 Internal Elastic Lamina IEL H&E a28 muscular artery renal artery 40x labeled.jpgA28, Renal Artery, 40x  
17 Central Vein (none) H&E b29b sinusoids liver 10x labeled.jpgB29, Liver, 10x  
18 Portal Canal (none) H&E b29b sinusoids liver 10x labeled.jpgB29, Liver, 10x  
19 Sinusoids S H&E b29b sinusoids liver 40x labeled.jpgB29, Liver, 40x  
20 Portal Vein PV H&E b29b sinusoids liver 40x labeled.jpgB29, Liver, 40x  
21 Hepatic Artery HA H&E b29b sinusoids liver 40x labeled.jpgB29, Liver, 40x  
22 Bile Duct BD H&E b29b sinusoids liver 40x labeled.jpgB29, Liver, 40x  
23 Arteriole A PAS, H&E b13 vascular bed jejunum 20x pas labeled.jpgB13, Jejunum, 20x; b23 vascular bed colon 20x labeled.jpgB23, Colon, 20x  
24 Capillary C PAS, H&E b13 vascular bed jejunum 20x pas labeled.jpgB13, Jejunum, 40x; b23 vascular bed colon 20x labeled.jpgB23, Colon, 20x  
25 Venule V PAS, H&E b13 vascular bed jejunum 20x pas labeled.jpgB13, Jejunum, 40x; b23 vascular bed colon 20x labeled.jpgB23, Colon, 20x  
26 Small Vein SV H&E b23 vascular bed colon 20x labeled.jpgB23, Colon, 20x; b83 medium sized vein spermatic cord 20x labeled.jpgB83, Spermatic Cord, 20x  
27 Pericyte P H&E b12 vascular bed jejunum 40x labeled.jpgB12, Jejunum, 40x  
28 Endothelial Cell En H&E b24 vascular bed colon 40x labeled.jpgB24, Colon, 40x  
29 Large Vein (none) H&E a28 renal vein 10x labeled.jpgA28, Renal Vein, 10x  
30 Smooth Muscle Bundles SMB H&E a28 renal vein 10x labeled.jpgA28, Renal Vein, 10x  
31 Medium Vein (none) H&E b83 medium sized vein spermatic cord 20x labeled.jpgB83, Spermatic Cord, 20x  
32 Muscular Artery (none) H&E b83 medium sized vein spermatic cord 20x labeled.jpgB83, Spermatic Cord, 20x  

Top of page

Comments

 
Top of page

-- AshleyLPistorio - 27 May 2007
Topic revision: r2 - 19 Jun 2015, LorenEvey
 
This site is powered by FoswikiCopyright © by the contributing authors. All material on this collaboration platform is the property of the contributing authors.
Ideas, requests, problems regarding Medical Histology? Send feedback