Chapter Sixteen: Female Reproductive System

Introduction

The female reproductive system consists of the paired gonads, the ovaries, as well as a system of auxiliary structures, the accessory sexual organs. The latter includes the uterine tubes, uterus, and vagina. Although not a genital organ, the mammary glands are an important adjunct to this system and are included herein.

It is important to note that virtually every part of this system is dependent, both structurally and functionally, on the levels of certain circulating hormones. Further, these levels change over the life of the female (menarche, pregnancy, and menopause) as well as during the reproductive years when they fluctuate with continuous regularity thereby defining the menstrual cycle. As the changing hormone levels elicit various functional activities, changes are seen in morphology.

Prior to learning the microarchitecture of the Female Reproductive Tract, use the table below to review some of the gross anatomy of these tissues:
Structure Image
Cross Section of the Ovary OvaryXSection.gif
Arrangement of the Uterus, Ovary, and Uterine Tubes UterusOvaryTubes.gif
Gross Anatomical Location of the Uterus in the Pelvic Cavity UterusInPelvicCav.gif
Arrangement of the Uterus, Cervix, and Vagina UterusCervixVagina.gif
The Mammary Gland Mammary.gif

This system is an elegant example of the precise interrelationship between endocrine activity, function, and structure. Therefore, when approaching its study from the standpoint of microscopic anatomy, bear this interrelationship in mind and question yourself as to what additional information of an endocrine and functional nature may be derived therein.

Top of page

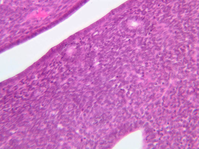
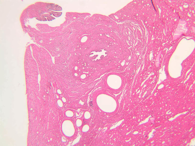
Ovary

The ovary is the site where ova develop and hormones are produced which in turn have direct action in maintaining the cycle. Its structure varies both with the age of the female as well as throughout the cycle.

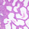
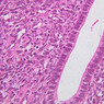
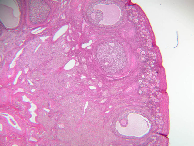
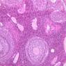
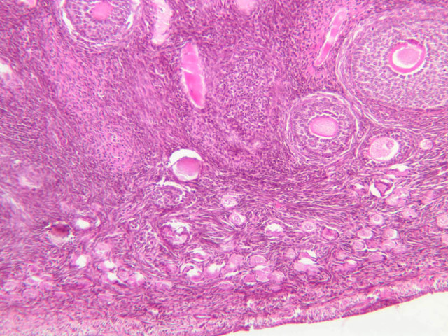
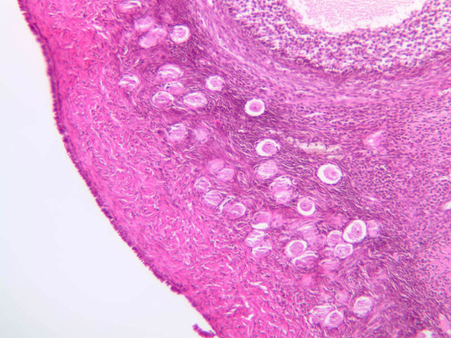
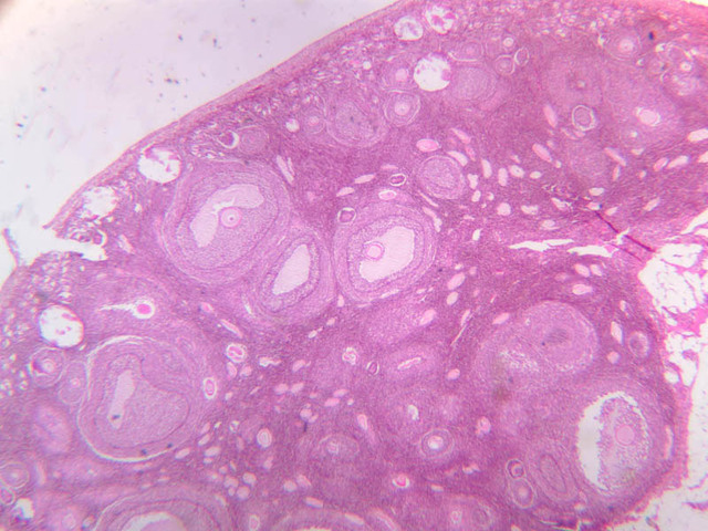
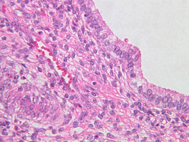
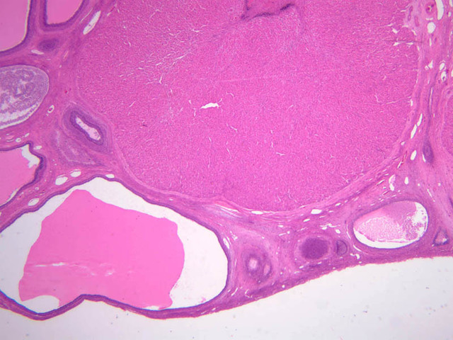
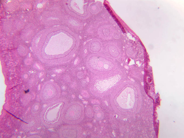
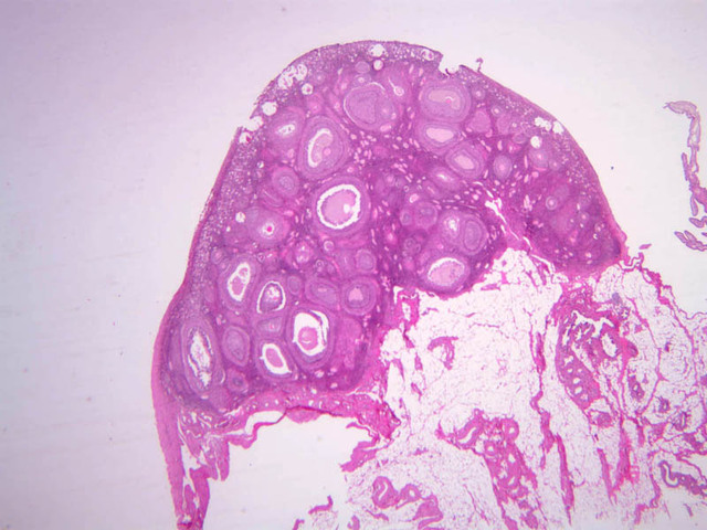
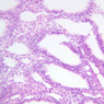
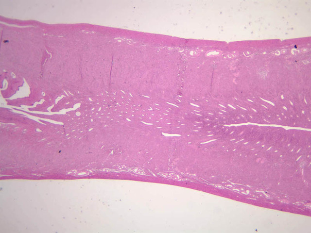
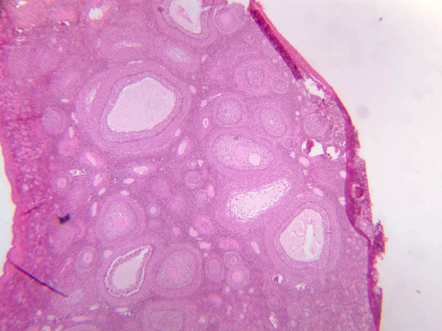
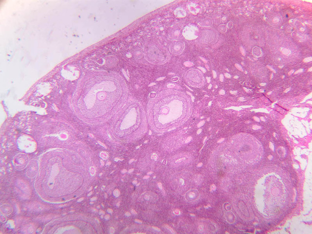
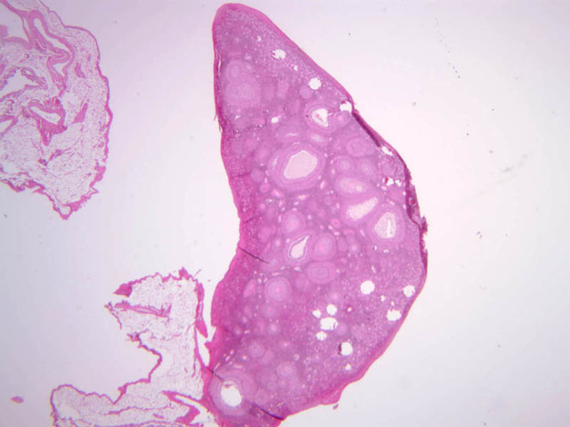
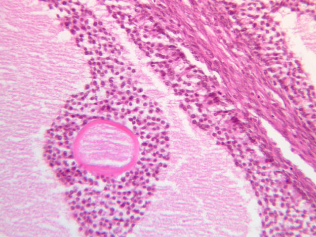
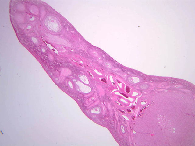
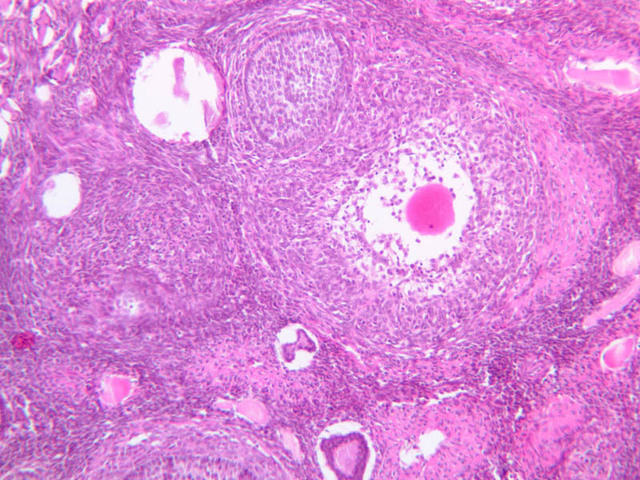
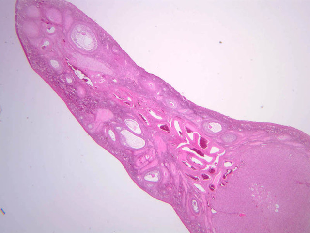
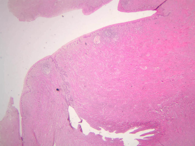
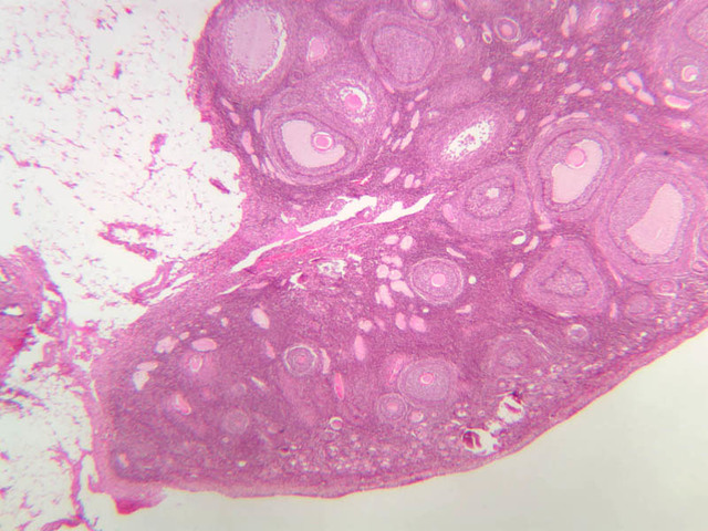
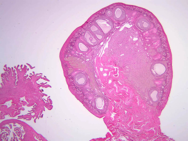
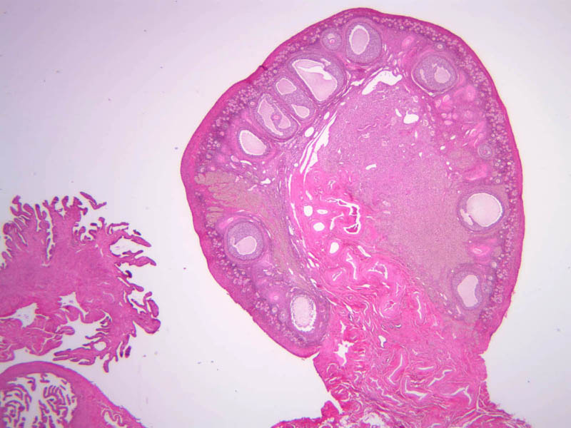
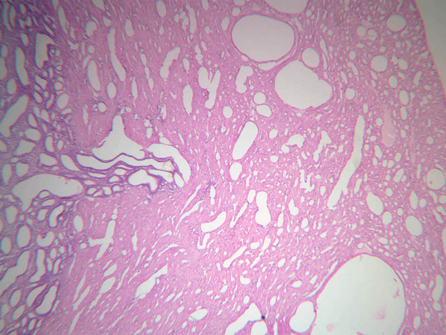
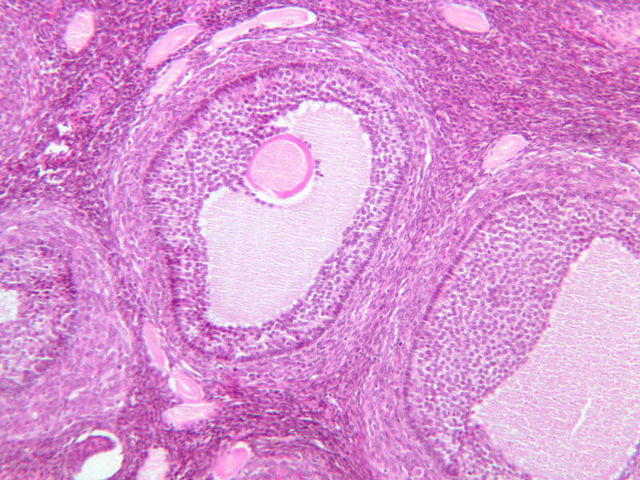
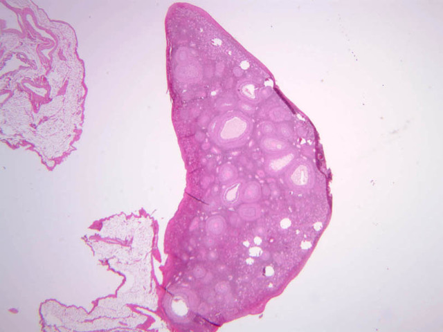
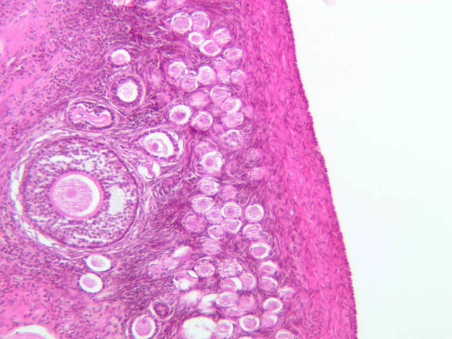
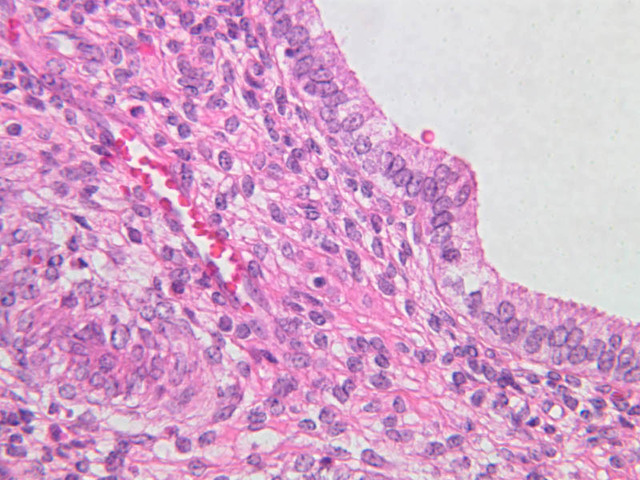
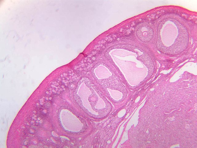
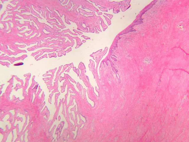
The ovary is a somewhat oval and slightly flattened organ situated near the fimbriated end of the uterine tube (B-94, monkey ovary, H&E [1x, 1x]; B-95, monkey ovary, H&E [1x-labeled, 1x]; B-96, monkey ovary and tube, H&E [1x]; B-54, H&E [1x, 1x]). Its exposed surface is covered by a mesothelial sheet of squamous or cuboidal epithelium. Just deep to this is an ill defined area of dense fibrous connective tissue referred to as the tunica albuginea (B-96 [2.5x-labeled, 10x-labeled, 20x, 40x]).

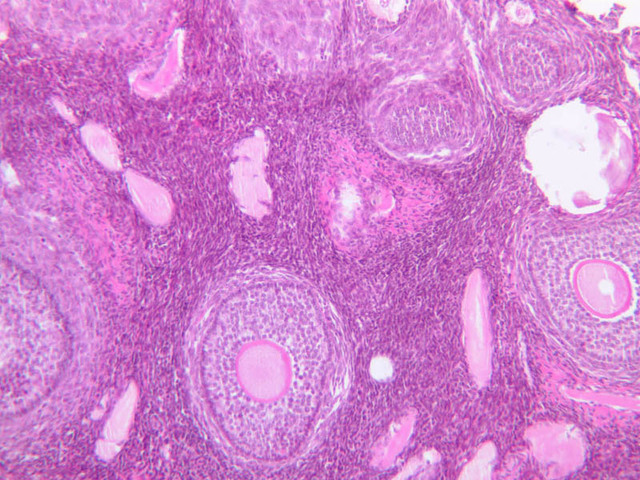
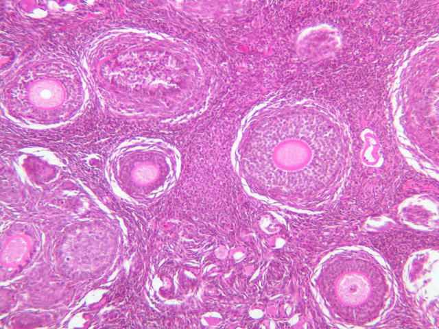
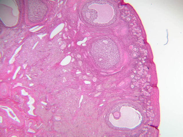
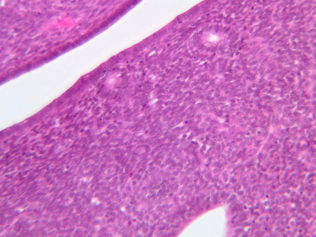
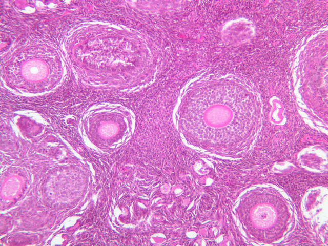
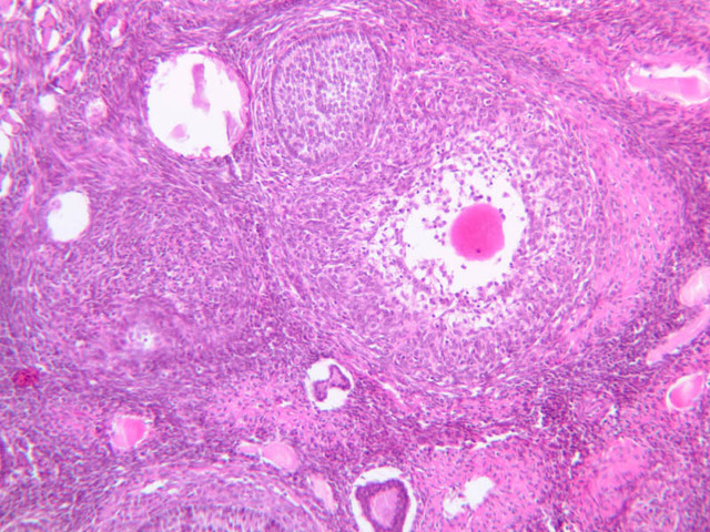
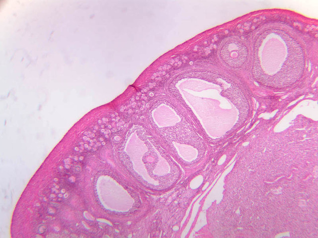
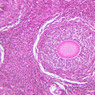
The ovary has two major regions – the cortex and the medulla. The cortex is the broad peripheral area containing follicles in various stages of development, whereas the medulla is the more central area displaying profiles of large blood vessels. These blood vessels gain entrance via the mesovarium. The division between the cortex and medulla is indistinct. In the cortex, stromal cells occupy the areas between the follicles. These cells are closely packed, fusiform (spindle shaped), and have the potential to differentiate into a specialized component of the maturing follicle (theca folliculi).

With each cycle several follicles begin the process of follicular growth and maturation. The initial morphological event in this process is the transformation of primordial follicles to primary follicles. Normally only one follicle achieves the mature state and ovulates per cycle. The remainder cease growing and degenerate at various points in the maturation process. After ovulation, at mid-cycle, the ruptured follicle persists for a short while as the functionally important corpus luteum.

B94, Ovary, 1x (H&E) B94, Ovary, 1x (H&E) B95, Ovary, 1x Labeled (H&E) B95, Ovary, 1x (H&E) B96, Ovary, 1x (H&E) B54, Ovary, 1x Labeled (H&E) B54, Ovary, 1x (H&E) B96, Ovary, 2.5x Labeled (H&E) B96, Ovary, 10x Labeled (H&E) B96, Ovary, 20x (H&E) Extracted from Ovary.zip

Ovary Table of Identifications

Row Structure Abbreviation Optimal Stain Representative Section Note
1 Fimbria (none) H&E b95 ovary 1x labeled.jpgB95, Ovary, 1x  
2 Mesovarium (none) H&E b95 ovary 1x labeled.jpgB95, Ovary, 1x  
3 Ovary (none) H&E b95 ovary 1x labeled.jpgB95, Ovary, 1x  
4 Corpus Luteum (none) H&E b54 ovary 1x labeled.jpgB54, Ovary, 1x  
5 Medulla (Ovarian) (none) H&E b54 ovary 1x labeled.jpgB54, Ovary, 1x  
6 Cortex (Ovarian) (none) H&E b54 ovary 1x labeled.jpgB54, Ovary, 1x  
7 Corpus Albicans (none) H&E b54 ovary 1x labeled.jpgB54, Ovary, 1x  
8 Follicles (none) H&E b96 tunica albuginea ovary 10x labeled.jpgB96, Ovary, 10x  
9 Tunica Albuginea (none) H&E b96 tunica albuginea ovary 10x labeled.jpgB96, Ovary, 10x  
10 Germinal Epithelium (none) H&E b96 tunica albuginea ovary 10x labeled.jpgB96, Ovary, 10x  


Top of page

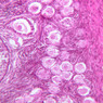
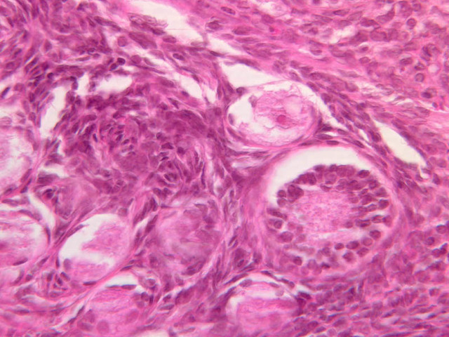
Primordial Follicle

Primordial follicles are located in periphery of cortex. They contain a large round oocyte surrounded by a single layer of flattened follicular cells. The follicles occupying this category are inactive. They are the population from which follicular growth begins. Primordial Follicles [Inactive] (slide B-94 [2.5x, 10x, 20x, 40x] [10x, 20x, 40x-labeled] [10x, 20x, 40x]; B-96 [2.5x, 10x, 20x, 40x, 40x, 40x, 40x]).

B94, Ovary, 2.5x (H&E) B94, Ovary, 10x (H&E) B94, Ovary, 20x (H&E) B94, Ovary, 40x (H&E) B94, Ovary, 10x (H&E) B94, Ovary, 20x (H&E) B94, Ovary, 40x Labeled (H&E) B94, Ovary, 10x (H&E) B94, Ovary, 20x (H&E) B94, Ovary, 40x (H&E) B96, Ovary, 2.5x (H&E) B96, Ovary, 10x (H&E) B96, Ovary, 20x (H&E) B96, Ovary, 40x (H&E) B96, Ovary, 40x (H&E) B96, Ovary, 40x (H&E) B96, Ovary, 40x (H&E)

Primordial Follicle Table of Identifications

Row Structure Abbreviation Optimal Stain Representative Section Note
1 Primordial Follicle (none) H&E b94b primordial follicle ovary 40x labeled.jpgB94, Ovary, 40x  
2 Follicle Cells FC H&E b94b primordial follicle ovary 40x labeled.jpgB94, Ovary, 40x  
3 Nucleus of Oocyte N H&E b94b primordial follicle ovary 40x labeled.jpgB94, Ovary, 40x  


Top of page

Primary Follicle

  • Early primary follicles are characterized by:
    • Oocyte becomes enlarged.
    • Oocyte nucleus is large, eccentrically placed and vesicular.
    • The follicular cells have increased in size and are cuboidal.
  • Later primary follicles are characterized by:
    • Follicular cells have proliferated so that the oocyte is surrounded by multiple layers of follicular cells, now referred to as granulosa cells.
    • Eosinophilic zona pellucida appears and separates oocyte from the granulosa cells.
    • Cortical stromal cells become arranged in a compressed layer at the outer periphery of the granulosa cells, thus forming the outer wall of the follicle. This layer is referred to as the theca folliculi.
Primary Follicles [Active] (B-94 [10x, 20x, 40x-labeled] [10x, 20x, 40x-labeled] [10x, 20x, 40x-labeled]; B-96 [40x, 40x, 40x])

B94, Ovary, 10x (H&E) B94, Ovary, 20x (H&E) B94, Ovary, 40x Labeled (H&E) B94, Ovary, 10x (H&E) B94, Ovary, 20x (H&E) B94, Ovary, 40x Labeled (H&E) B94, Ovary, 10x (H&E) B94, Ovary, 20x (H&E) B94, Ovary, 40x Labeled (H&E) B96, Ovary, 40x (H&E) B96, Ovary, 40x (H&E) B96, Ovary, 40x (H&E)

Primary Follicle Table of Identifications

Row Structure Abbreviation Optimal Stain Representative Section Note
1 Early Primary Follicle (none) H&E b94 early primary follicle 40x labeled.jpgB94, Ovary, 40x; b94b early primary follicle 40x labeled.jpgB94, Ovary, 40x  
2 Primordial Follicles (none) H&E b94 early primary follicle 40x labeled.jpgB94, Ovary, 40x  
3 Follicle Cell FC H&E b94 early primary follicle 40x labeled.jpgB94, Ovary, 40x  
4 Nucleus of Oocyte N H&E b94 early primary follicle 40x labeled.jpgB94, Ovary, 40x  
5 Granulosa Cells GC H&E b94b early primary follicle 40x labeled.jpgB94, Ovary, 40x; b94 late primary follicle 40x labeled.jpgB94, Ovary, 40x  
6 Zona Pellucida ZP H&E b94b early primary follicle 40x labeled.jpgB94, Ovary, 40x; b94 late primary follicle 40x labeled.jpgB94, Ovary, 40x  
7 Basal Lamina BL H&E b94b early primary follicle 40x labeled.jpgB94, Ovary, 40x; b94 late primary follicle 40x labeled.jpgB94, Ovary, 40x  
8 Theca Folliculi TF H&E b94b early primary follicle 40x labeled.jpgB94, Ovary, 40x  
9 Late Primary Follicle (none) H&E b94 late primary follicle 40x labeled.jpgB94, Ovary, 40x  
10 Stratum Granulosum GC H&E b94 late primary follicle 40x labeled.jpgB94, Ovary, 40x  
11 Theca Interna TI H&E b94 late primary follicle 40x labeled.jpgB94, Ovary, 40x  
12 Theca Externa TE H&E b94 late primary follicle 40x labeled.jpgB94, Ovary, 40x  


Top of page

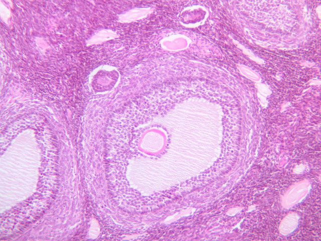
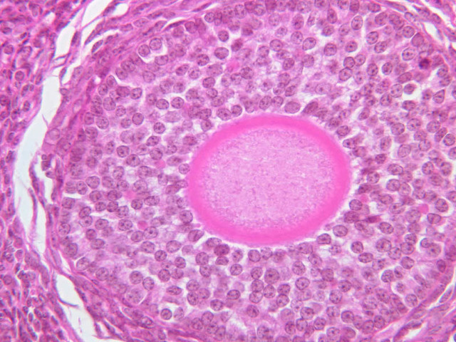
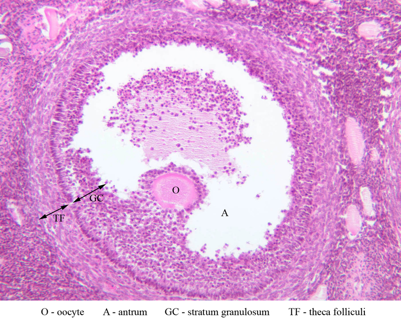
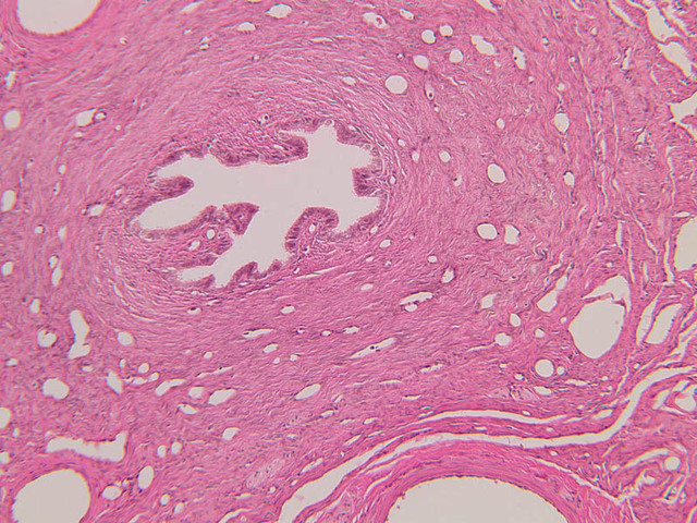
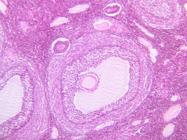
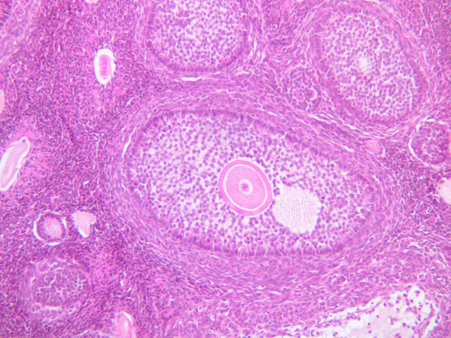
Secondary Follicle

  • Early (vesicular stage)
    • With continued granulosa cell proliferation, spaces filled with fluid (liquor folliculi) appear within this layer.
  • Later (antral stage)
    • Continued follicular enlargement occurs and the irregular spaces within the granulosa layer merge to form a single crescentric cavity, the antrum.
    • Those granulosa cells immediately surrounding the zona pellucida become columnar and are referred to as the corona radiata.
    • The theca folliculi begins to segregate itself into two distinct layers.
Secondary Follicles (B-94 [2.5x, 10x-labeled, 20x] [2.5x, 10x, 20x]; B-96 [2.5x, 10x-labeled, 20x, 40x] [2.5x, 10x, 20x])

B94, Ovary, 2.5x (H&E) B94, Ovary, 10x Labeled (H&E) B94, Ovary, 20x (H&E) B94, Ovary, 2.5x (H&E) B94, Ovary, 10x (H&E) B94, Ovary, 20x (H&E) B96, Ovary, 2.5x (H&E) B96, Ovary, 10x Labeled (H&E) B96, Ovary, 20x (H&E) B96, Ovary, 40x (H&E) B96, Ovary, 2.5x (H&E) B96, Ovary, 10x (H&E) B96, Ovary, 20x (H&E)

Secondary Follicle Table of Identifications

Row Structure Abbreviation Optimal Stain Representative Section Note
1 Oocyte O H&E b94 secondary antral follicle 10x labeled.jpgB94, Ovary, 10x  
2 Antrum A H&E b94 secondary antral follicle 10x labeled.jpgB94, Ovary, 10x  
3 Stratum Granulosum GC H&E b94 secondary antral follicle 10x labeled.jpgB94, Ovary, 10x  
4 Theca Folliculi TF H&E b94 secondary antral follicle 10x labeled.jpgB94, Ovary, 10x  
5 Germinal Epithelium GE H&E b96 secondary antral follicle 10x labeled.jpgB96, Ovary, 10x  
6 Tunica Albuginea TA H&E b96 secondary antral follicle 10x labeled.jpgB96, Ovary, 10x  
7 Primordial Follicle Prim H&E b96 secondary antral follicle 10x labeled.jpgB96, Ovary, 10x  
8 Primary Follicle PF H&E b96 secondary antral follicle 10x labeled.jpgB96, Ovary, 10x  
9 Secondary Follicle SF H&E b96 secondary antral follicle 10x labeled.jpgB96, Ovary, 10x  
10 Atretic Follicle AF H&E b96 secondary antral follicle 10x labeled.jpgB96, Ovary, 10x  


Top of page

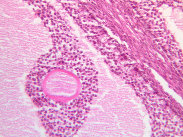
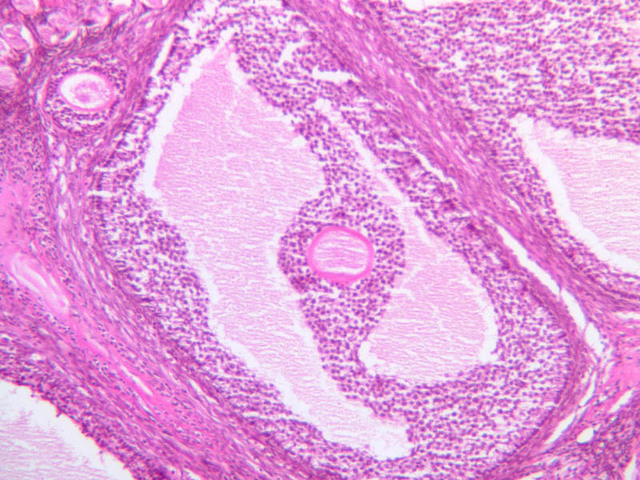
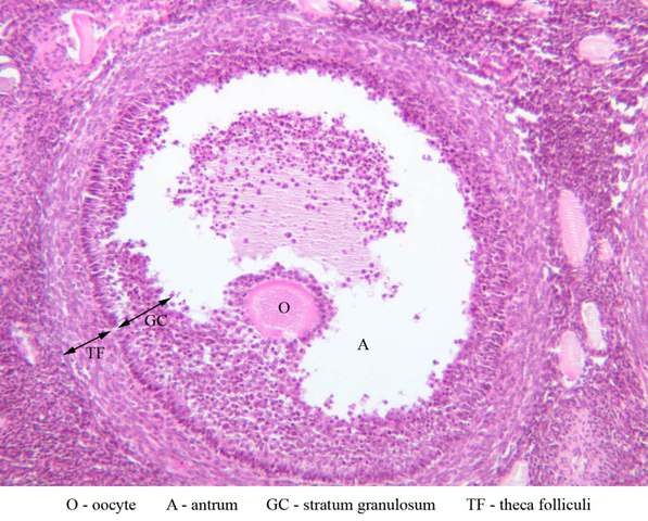
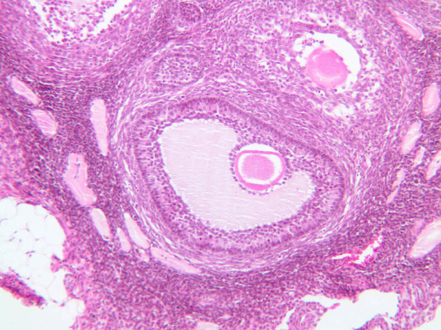
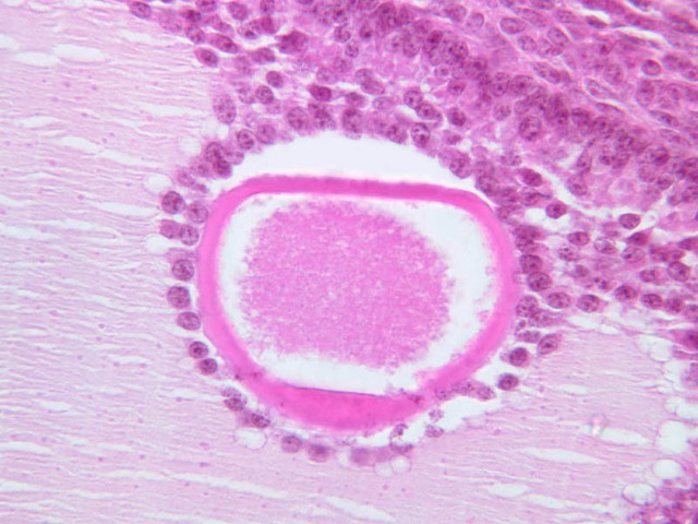
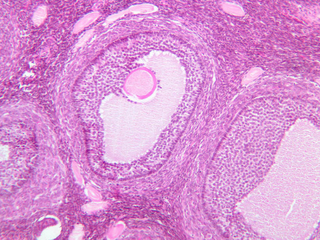
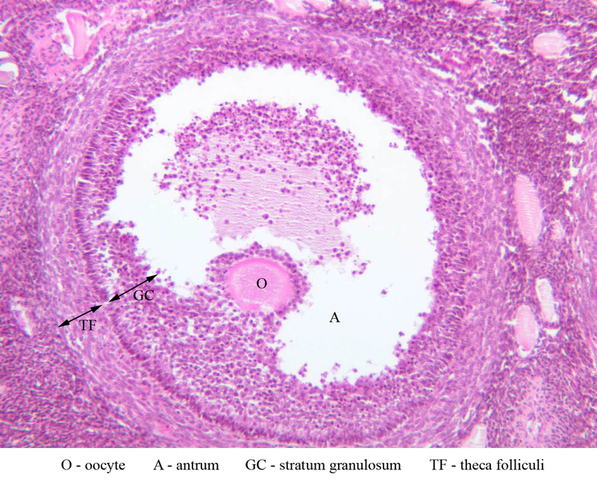
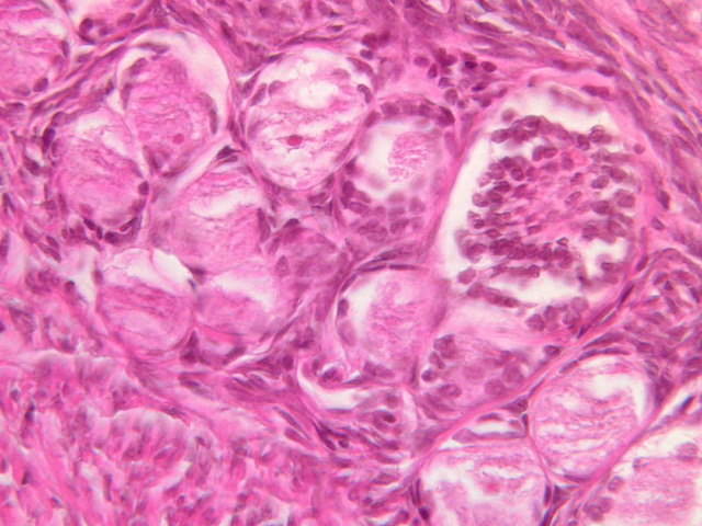
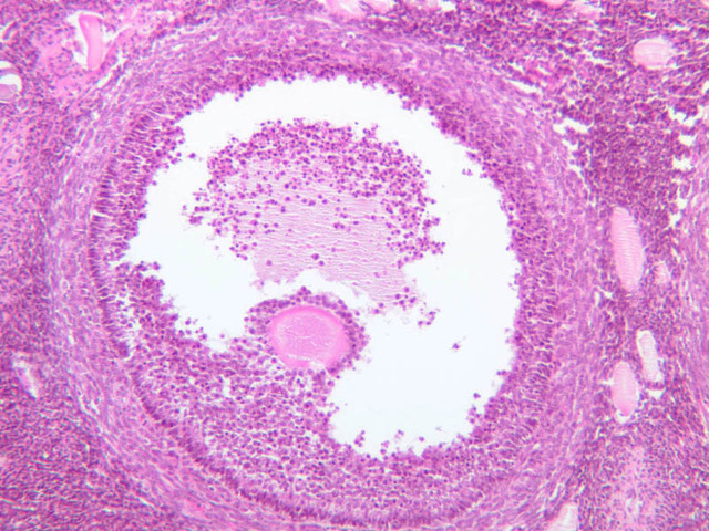
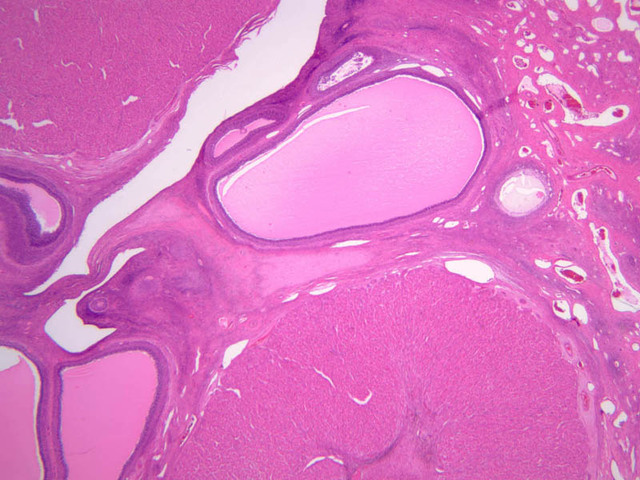
Mature (Graafian) Follicle

At maximum size, follicles will bulge from the ovarian surface and occupy the full thickness of the cortex. The oocyte is displaced to one side of the antrum where it is surrounded by a thickening of granulosa cells. This stalk-like thickening is referred to as the cumulus oophorus. A distinct basal lamina separates the granulosa cells from the theca. The theca has segregated itself into the theca interna and the theca externa. The theca interna is adjacent to the basal lamina, highly vascular and consists of secretory cells. The theca externa is connective tissue that merges with the adjacent stroma. Mature (Graafian) Follicle (slide B-94 [2.5x, 10x, 20x-labeled] [10x, 20x, 40x] [10x, 20x, 40x])

B94, Ovary, 2.5x (H&E) B94, Ovary, 10x (H&E) B94, Ovary, 20x Labeled (H&E) B94, Ovary, 10x (H&E) B94, Ovary, 20x (H&E) B94, Ovary, 40x (H&E) B94, Ovary, 10x (H&E) B94, Ovary, 20x (H&E) B94, Ovary, 40x (H&E)

Mature Follicle Table of Identifications

Row Structure Abbreviation Optimal Stain Representative Section Note
1 Antrum A H&E b94c graafian follicle 20x labeled.jpgB94, Ovary, 20x  
2 Granulosa Cells GC H&E b94c graafian follicle 20x labeled.jpgB94, Ovary, 20x  
3 Thecal Cells TF H&E b94c graafian follicle 20x labeled.jpgB94, Ovary, 20x  
4 Corona Radiata (future) CR H&E b94c graafian follicle 20x labeled.jpgB94, Ovary, 20x  
5 Cumulus Oophorus CO H&E b94c graafian follicle 20x labeled.jpgB94, Ovary, 20x  


Top of page

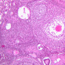
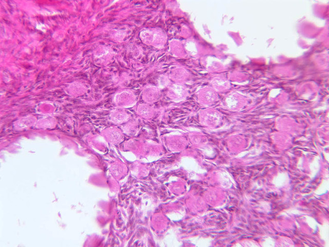
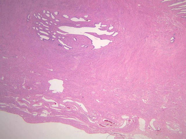
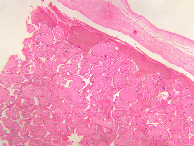
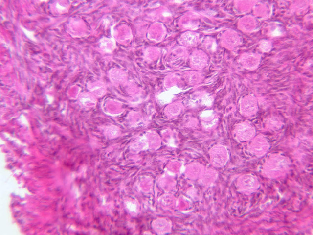
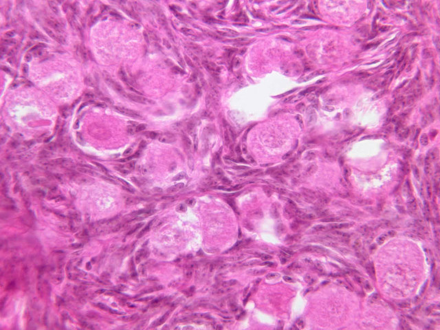
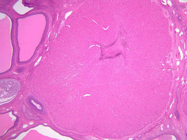
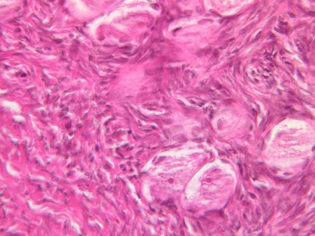
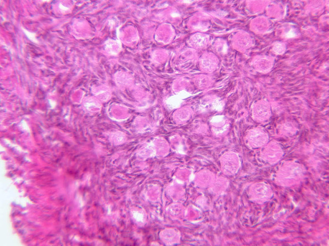
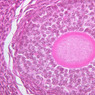
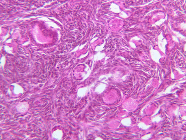
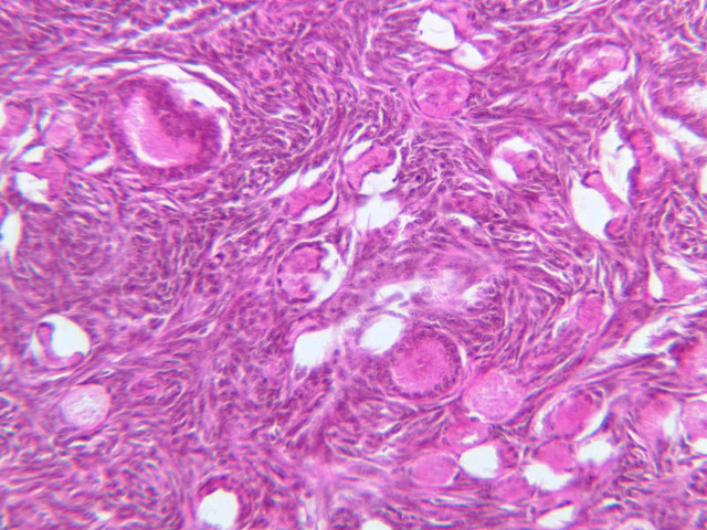
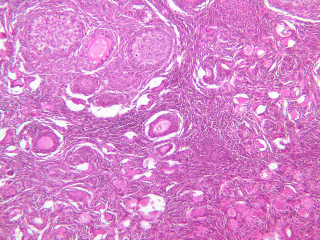
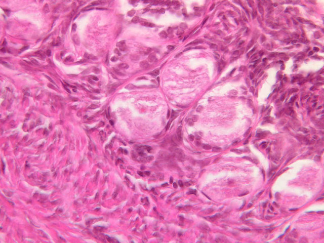
Corpus Luteum

After rupture of the Graafian follicle, the walls collapse and become folded. Thus, strands of tissue from the theca interna penetrate, to some extent, the mass of granulosa cells. Bleeding from the theca interna may form a blood clot in the antrum. The majority of the cells of the corpus luteum are derived from the granulosa cells. Both the granulosa cells and the cells of the theca interna enlarge and accumulate lipid, thus becoming lutein cells. There are two types of lutein cells - granulosa lutein cells that have a large, vesicular nucleus and vacuolate cytoplasm, and theca lutein cells that are distinguished by smaller darker nuclei. Corpus Luteum (slide B-54, human ovary, H&E [1x-labeled, 2.5x, 10x, 20x, 40x-labeled] [1x-labeled, 1x, 2.5x] [1x, 1x, 1x] 1x, 2.5x, 10x]; B-95, H&E [2.5x])

B54, Ovary, 1x Labeled (H&E) B54, Ovary, 2.5x (H&E) B54, Ovary, 10x (H&E) B54, Ovary, 20x (H&E) B54, Ovary, 40x Labeled (H&E) B54, Ovary, 1x Labeled (H&E) B54, Ovary, 1x (H&E) B54, Ovary, 2.5x (H&E) B54, Ovary, 1x (H&E) B54, Ovary, 1x (H&E) B54, Ovary, 1x (H&E) B54, Ovary, 1x (H&E) B54, Ovary, 2.5x (H&E) B54, Ovary, 10x (H&E) B95, Ovary, 2.5x (H&E)

Corpus Luteum Table of Identifications

Row Structure Abbreviation Optimal Stain Representative Section Note
1 Corpus Luteum (none) H&E b54 corpus luteum ovary 1x labeled.jpgB54, Ovary, 1x  
2 Former Follicular Cavity (none) H&E b54 corpus luteum ovary 1x labeled.jpgB54, Ovary, 1x  
3 Granulosa Lutein Cells GLC H&E b54 corpus luteum ovary 40x labeled.jpgB54, Ovary, 40x  
4 Theca Lutein Cells TLC H&E b54 corpus luteum ovary 40x labeled.jpgB54, Ovary, 40x  


Top of page

Corpus Albicans

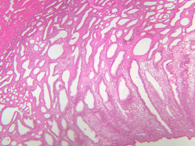
The corpus luteum persists for 12 to 14 days. If fertilized ovum does not implant, the corpus luteum degenerates, leaving a scar which is referred to as the corpus albicans. This will also disappear eventually. Some of the B-54 slides in our collection have corpus albicans – try to identify a corpus albicans on your slide or consult with your neighbors. Corpus Albicans (some B-54 [1x-labeled] [2.5x] [1x-labeled, 2.5x, 10x])

B54, Ovary, 1x Labeled (H&E) B54, Ovary, 2.5x (H&E) B54, Ovary, 1x Labeled (H&E) B54, Ovary, 2.5x (H&E) B54, Ovary, 10x (H&E)

Corpus Albicans Table of Identifications

Row Structure Abbreviation Optimal Stain Representative Section Note
1 Corpus Luteum (none) H&E b54 ovary 1x labeled.jpgB54, Ovary, 1x  
2 Corpus Albicans (none) H&E b54 ovary 1x labeled.jpgB54, Ovary, 1x  
3 Medulla (OVarian) (none) H&E b54 ovary 1x labeled.jpgB54, Ovary, 1x  
4 Cortex (Ovarian) (none) H&E b54 ovary 1x labeled.jpgB54, Ovary, 1x  


Top of page

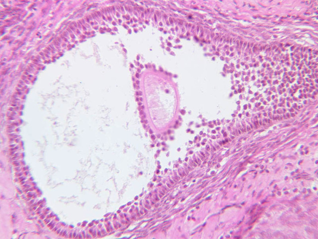
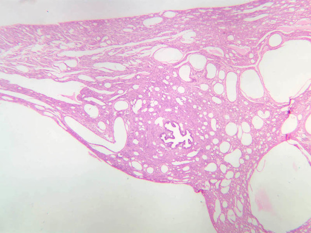
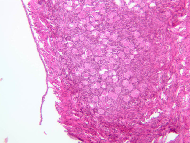
Atretic Follicle

At any point in their development, follicles may cease maturation and undergo a process of degeneration called atresia. The process of atresia occurs through apoptotic cell death. The appearance of such follicles will depend on the stage at which atresia began as well as the extent to which it has occurred. Atretic Follicles (slides B-94 [2.5x, 10x, 20x] [10x, 10x]; B-95 [10x, 20x])

B94, Ovary, 2.5x (H&E) B94, Ovary, 10x (H&E) B94, Ovary, 20x (H&E) B94, Ovary, 10x (H&E) B94, Ovary, 10x (H&E) B95, Ovary, 10x (H&E) B95, Ovary, 20x (H&E)


Top of page

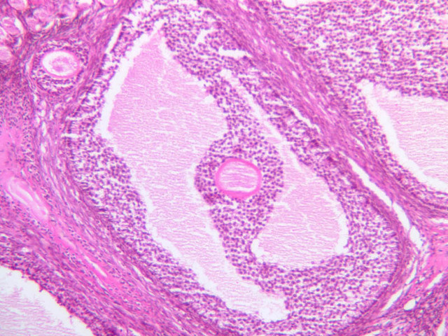
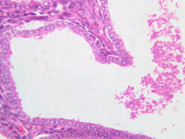
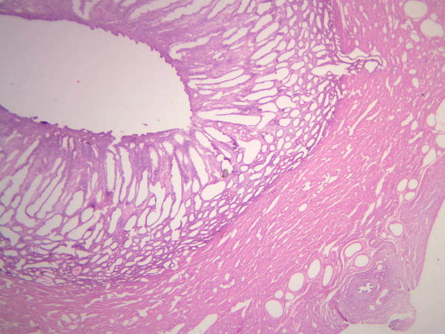
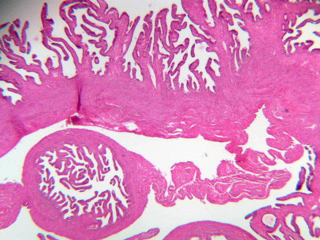
Female Duct System

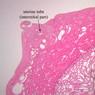
After ovulation, the oocyte passes into the uterine tube (i.e. oviduct, i.e. fallopian tube). Fertilization takes place here. This tube is subdivided into four regions:
  • uterine/intramural (that portion within the uterine wall) (slide B-93 [1x-labeled, 2.5x, 10x] [1x, 1x, 1x, 1x])
  • isthmus (short narrow portion next to uterus) (B-93 [2.5x-labeled])
  • ampulla (expanded, longest portion) (B-96 [1x-labeled, 2.5x])
  • infundibulum (funnel-shaped abdominal opening) (B-96 [1x-labeled]).

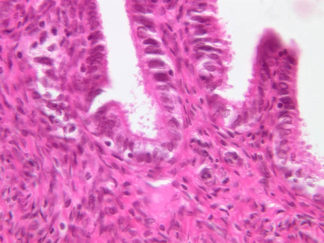
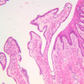
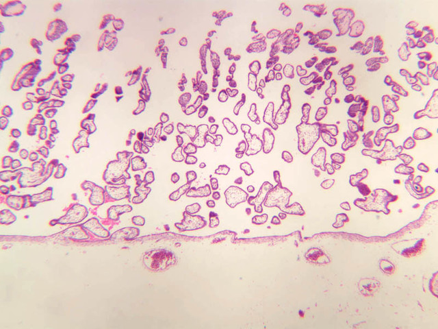
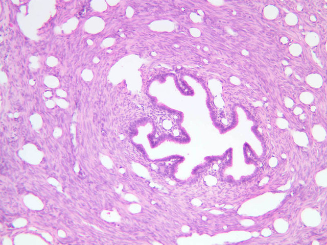
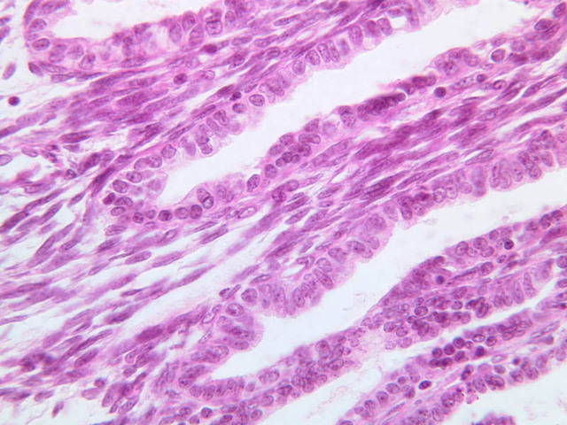
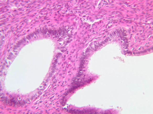
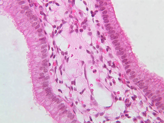
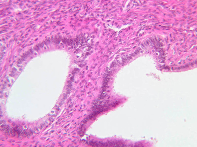
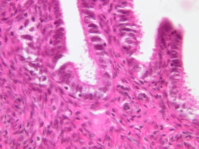
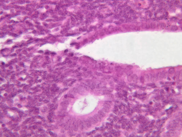
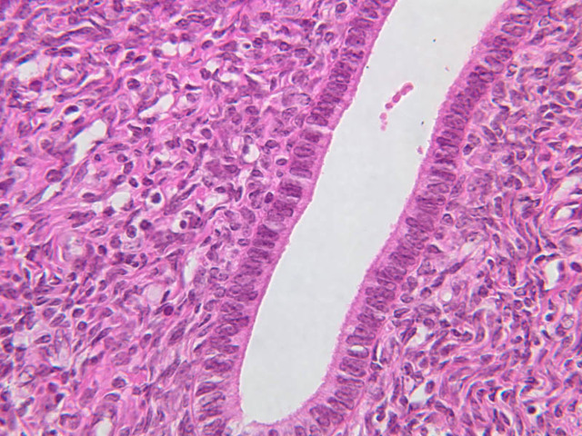
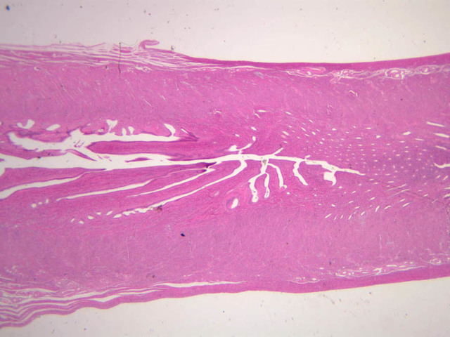
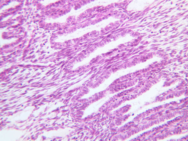
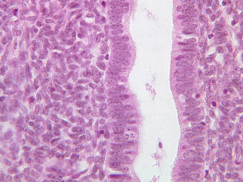
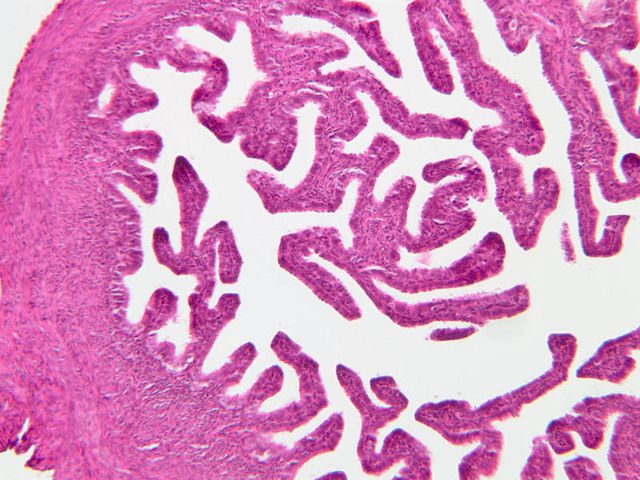
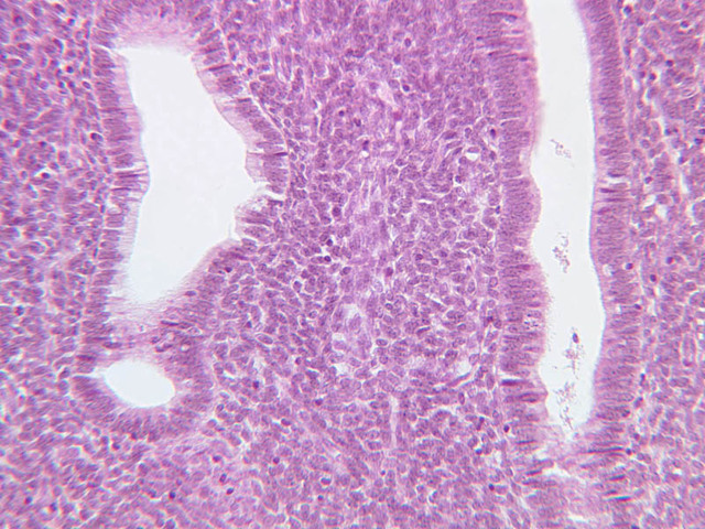
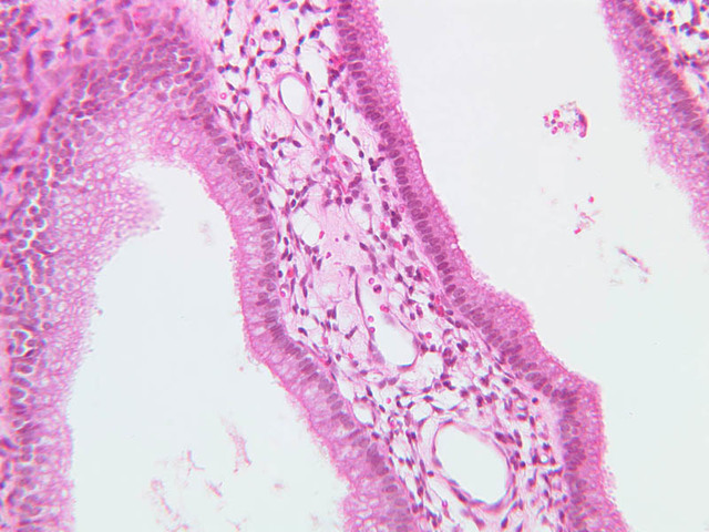
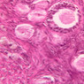
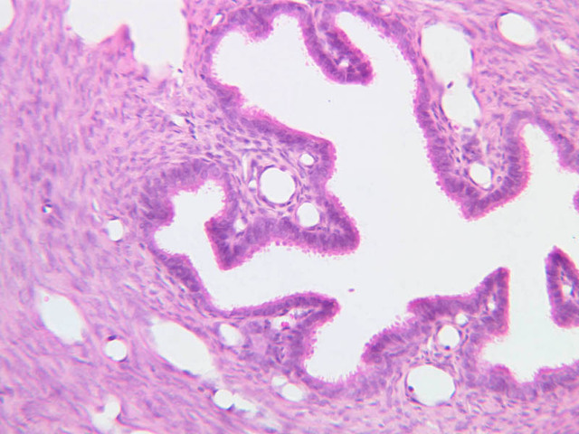
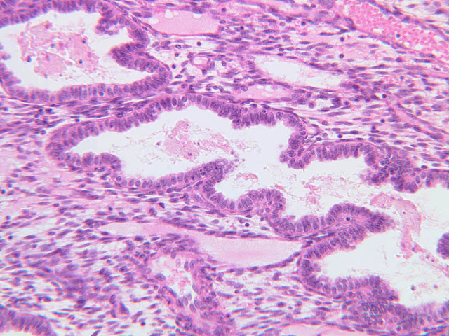
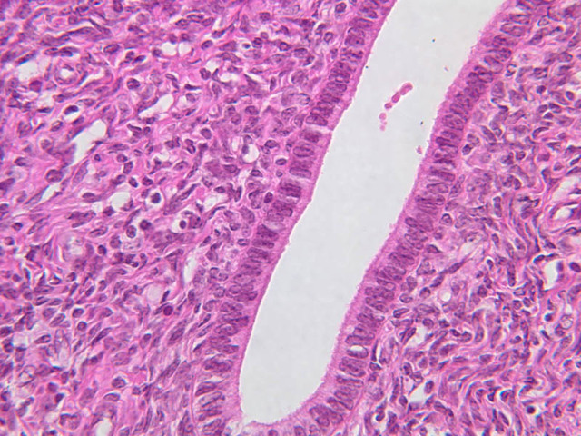
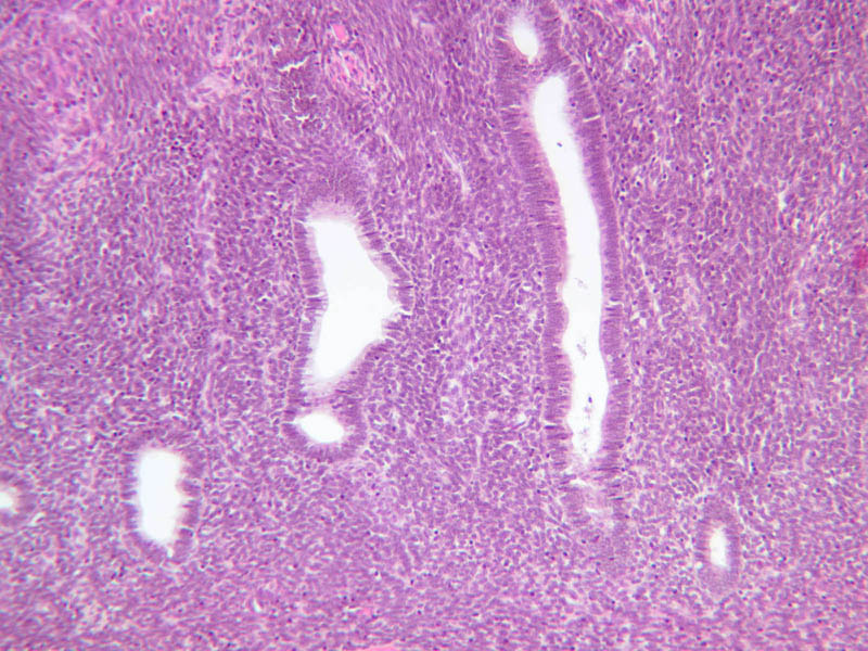
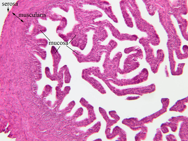
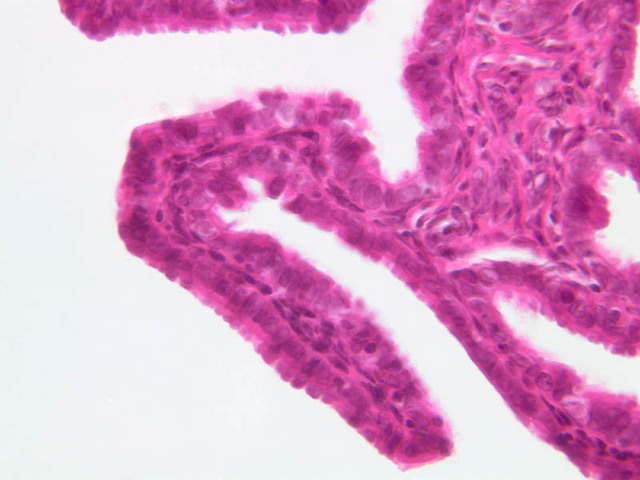
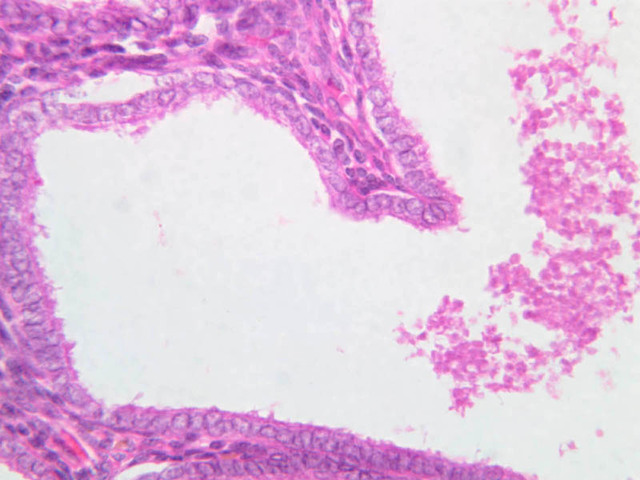
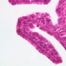
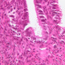
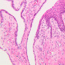
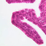
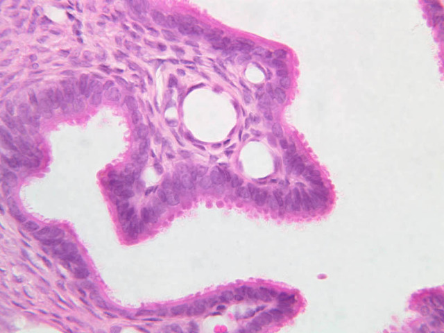
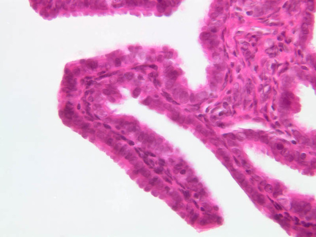
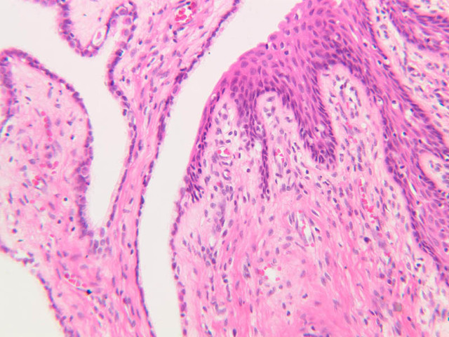
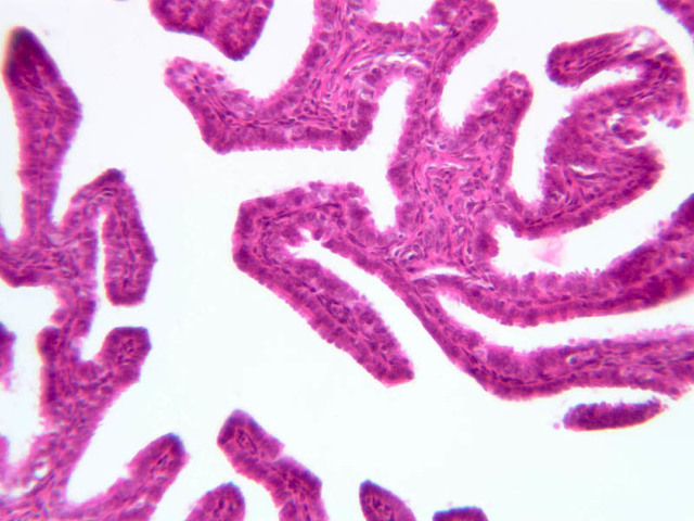
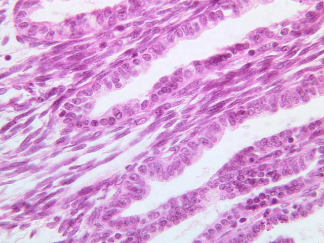
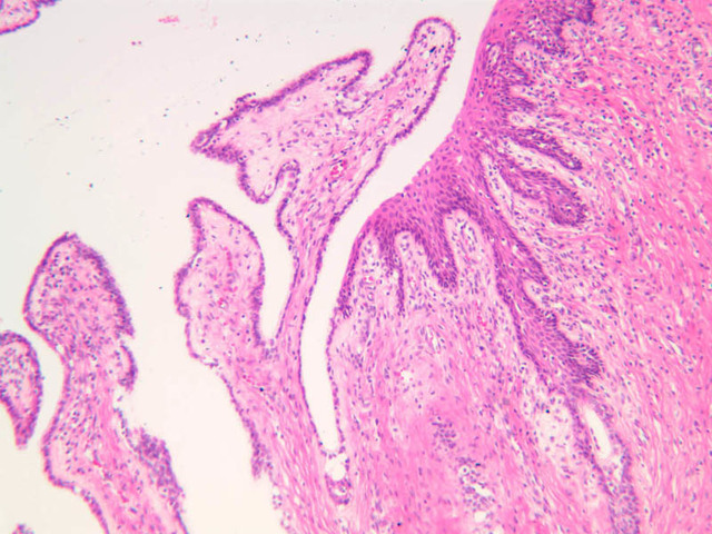
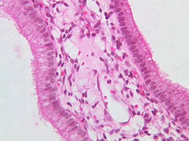
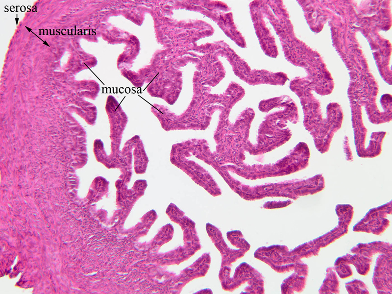
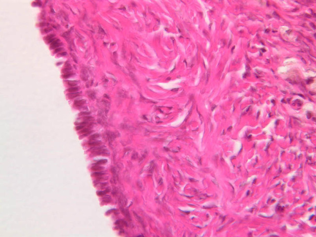
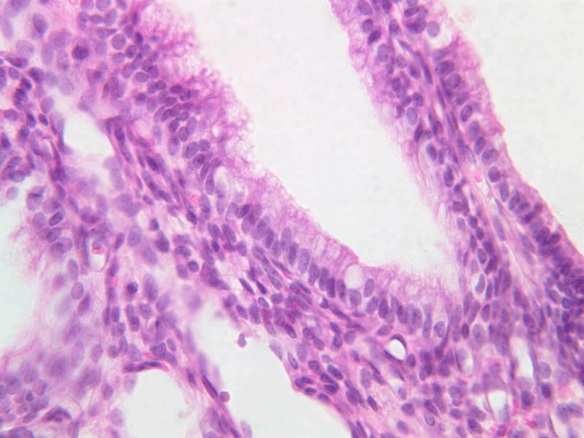
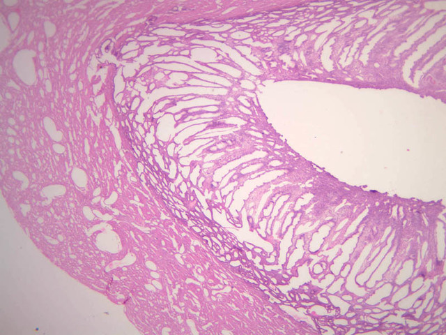
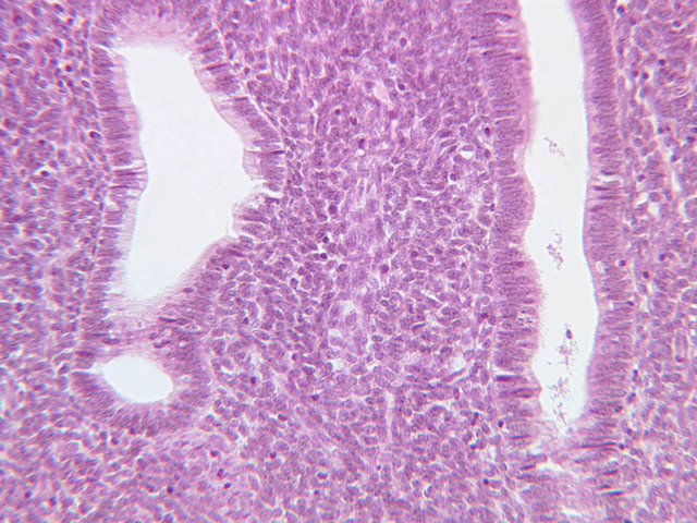
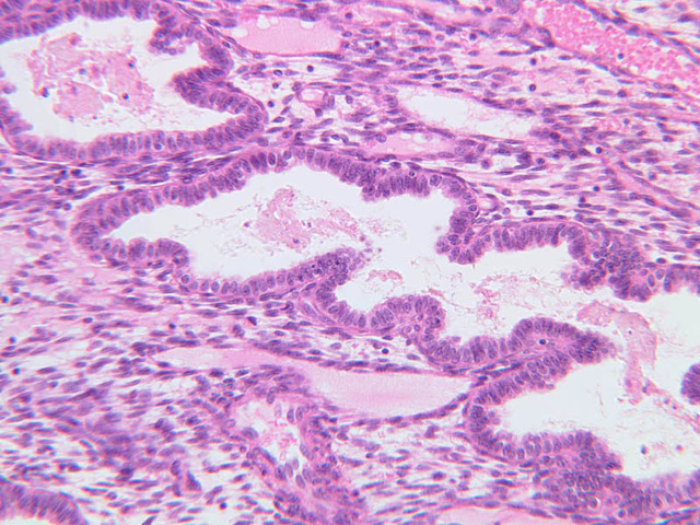
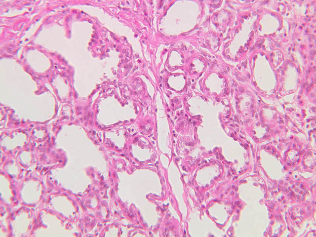
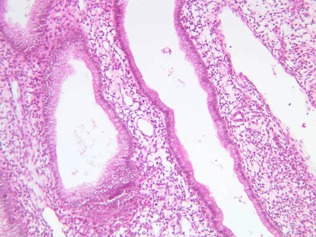
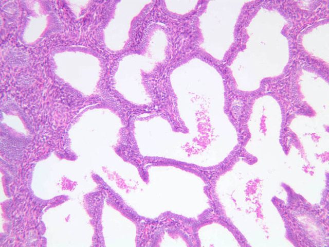
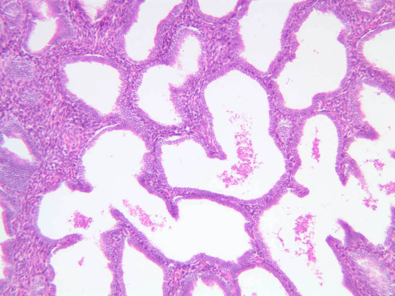
The wall of the uterine tube consists of three layers; a mucosa, a muscularis, and an adventitial/serous coat (B-96 [2.5x, 10x-labeled, 20x, 40x] [2.5x, 10x, 20x, 40x]; B-97, monkey uterus [2.5x, 10x, 20x, 40x]). The mucosa is organized into folds that vary in their degree of complexity with the tube regions. The mucosa is lined by a simple columnar epithelium consisting of two cell types, ciliated and non-ciliated, secretory (B-93 [10x, 20x, 40x-labeled]). The mucosal lamina propria consists of somewhat loose connective tissue and is highly vascular. No muscularis mucosae are present. The muscularis consists of two layers of smooth muscle, the inner being oriented in a circular fashion and the outer longitudinally.

The structure of the uterine tube is under the control of, and responds to, cyclic changes in the levels of steroid hormones. Structural alterations to provide favorable transport for the oocyte commence anew with the beginning of each cycle and peak at mid-cycle just before ovulation. These include increases in height and number of the ciliated cells as well as active secretion in the secretory cell. For the remainder of the cycle thereafter, dedifferentiation occurs. The cyclic changes occur to a greater extent in the upper ampulla and infundibulum. The margin of the infundibulum is drawn out into numerous finger-like processes called fimbrae. Microscopic examination of these will reveal that within the lamina propria are numerous large blood vessels, especially veins, as well as bundles of smooth muscle forming an intervening network. At the time of ovulation, the vessels become enlarged with blood, causing turgidity, which when combined with smooth muscle contraction brings the infundibular opening into close apposition with the ovarian surface.

B93, Uterine Tube, 1x Labeled (H&E) B93, Uterine Tube, 2.5x (H&E) B93, Uterine Tube, 10x (H&E) B93, Uterine Tube, 2.5x Labeled (H&E) B96, Uterine Tube, 1x Labeled (H&E) B96, Uterine Tube, 2.5x (H&E) B96, Uterine Tube, 2.5x (H&E) B96, Uterine Tube, 10x Labeled (H&E) B96, Uterine Tube, 20x (H&E) B96, Uterine Tube, 40x (H&E) B96, Uterine Tube, 2.5x (H&E) B96, Uterine Tube, 10x (H&E) B96, Uterine Tube, 20x (H&E) B96, Uterine Tube, 40x (H&E) B97, Uterine Tube, 2.5x (H&E) B97, Uterine Tube, 10x (H&E) B97, Uterine Tube, 20x (H&E) B97, Uterine Tube, 40x (H&E) B97, Uterine Tube, 1x (H&E) B97, Uterine Tube, 1x (H&E) B97, Uterine Tube, 1x (H&E) B97, Uterine Tube, 1x (H&E) B93, Uterine Tube, 10x (H&E) B93, Uterine Tube, 20x (H&E) B93, Uterine Tube, 40x Labeled (H&E)

Female Duct System Table of Identifications

Row Structure Abbreviation Optimal Stain Representative Section Note
1 Uterine Tube (Interstitial) (none) H&E b93 uterine tube 1x labeled.jpgB93, Uterine Tube, 1x  
2 Uterus (none) H&E b93 uterine tube 1x labeled.jpgB93, Uterine Tube, 1x  
3 Broad Ligament (none) H&E b93 interstitial uterine tube 2x labeled.jpgB93, Uterine Tube, 2.5x  
4 Uterine Tube (Isthmus) (none) H&E b93 interstitial uterine tube 2x labeled.jpgB93, Uterine Tube, 2.5x  
5 Uterine Tube (Infundibulum) (none) H&E b96 uterine tube 1x labeled.jpgB96, Uterine Tube, 1x  
6 Uterine Tube (Ampulla) (none) H&E b96 uterine tube 1x labeled.jpgB96, Uterine Tube, 1x  
7 Ovary (none) H&E b96 uterine tube 1x labeled.jpgB96, Uterine Tube, 1x  
8 Serosa (none) H&E b96 ampulla uterine tube 10x labeled.jpgB96, Uterine Tube, 10x  
9 Muscularis (none) H&E b96 ampulla uterine tube 10x labeled.jpgB96, Uterine Tube, 10x  
10 Mucosa (none) H&E b96 ampulla uterine tube 10x labeled.jpgB96, Uterine Tube, 10x  
11 Nonciliated Peg Cells (none) H&E b93 interstitial uterine tube 40x labeled.jpgB93, Uterine Tube, 40x  
12 Ciliated Cells (none) H&E b93 interstitial uterine tube 40x labeled.jpgB93, Uterine Tube, 40x  


Top of page

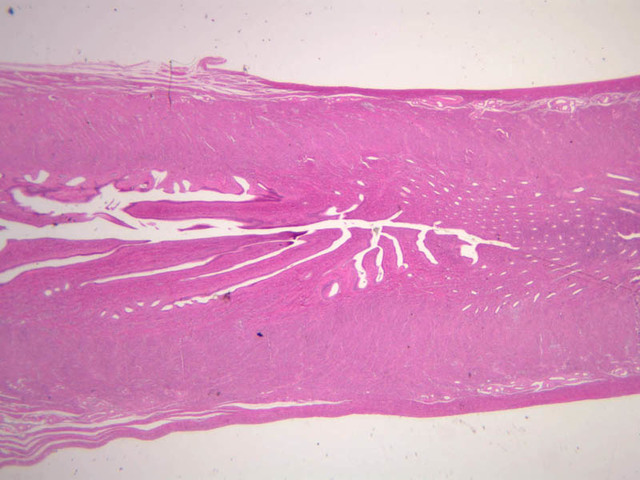
Uterus

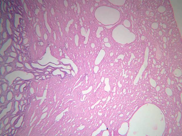
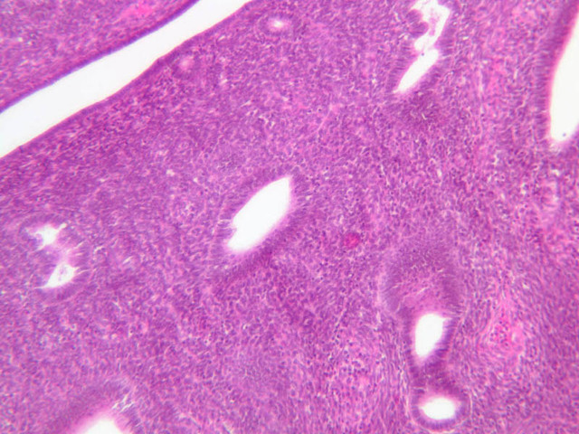
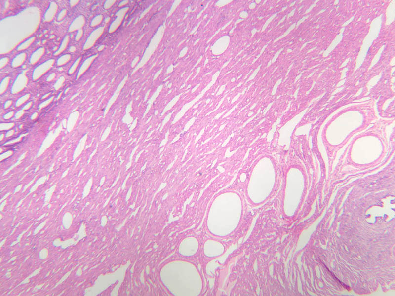
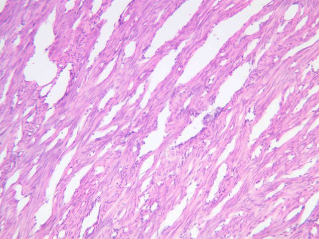
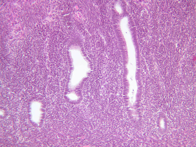
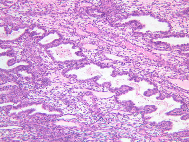
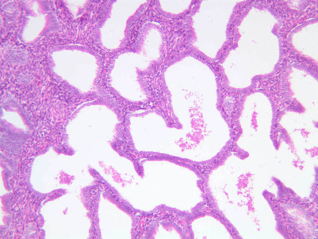
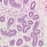
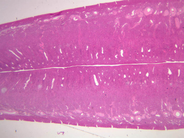
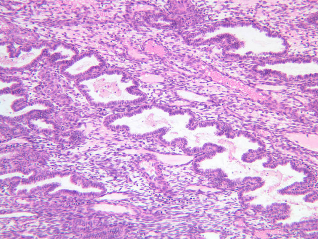
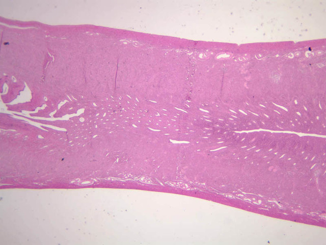
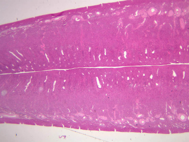
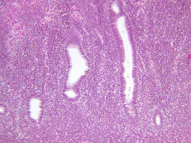
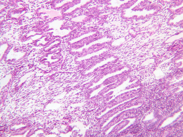
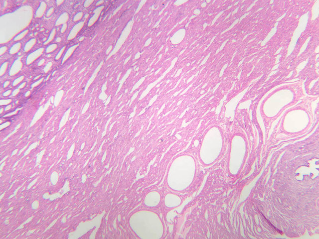
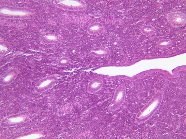
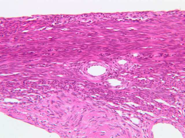
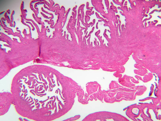
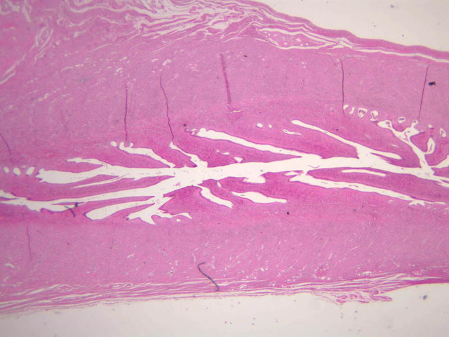
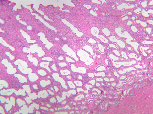
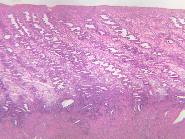
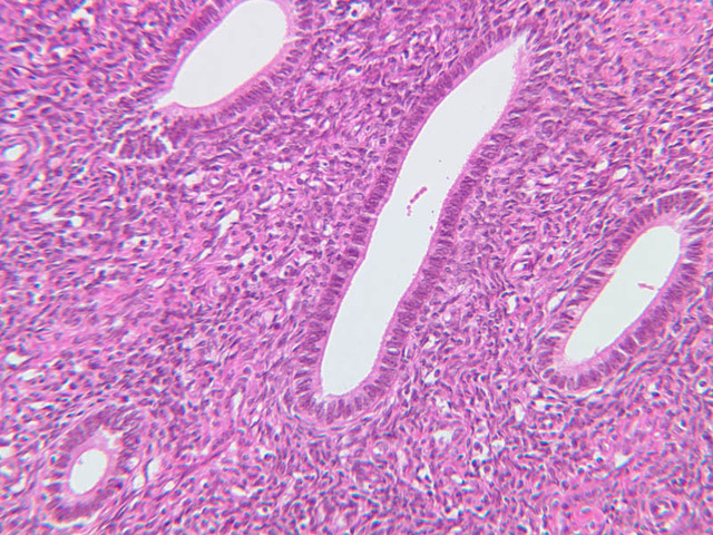
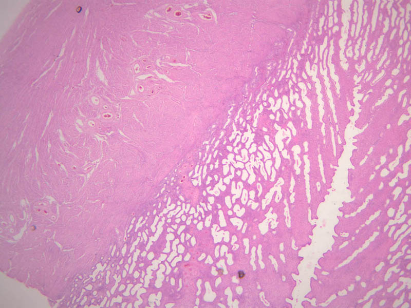
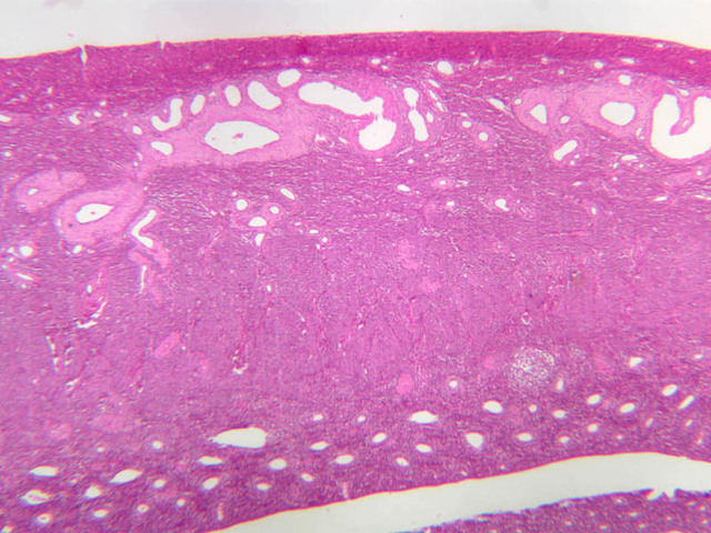
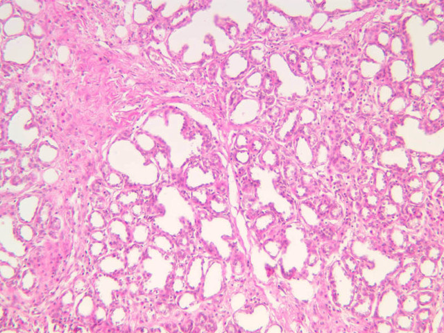
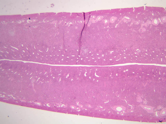
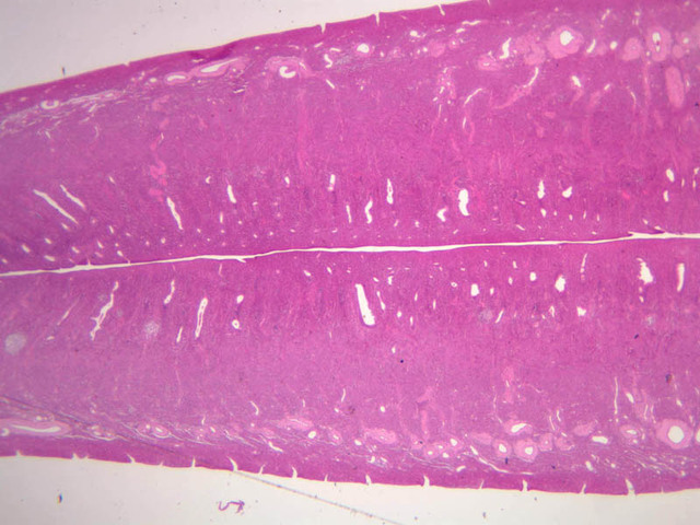
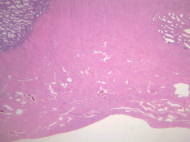
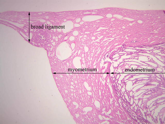
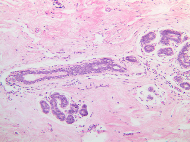
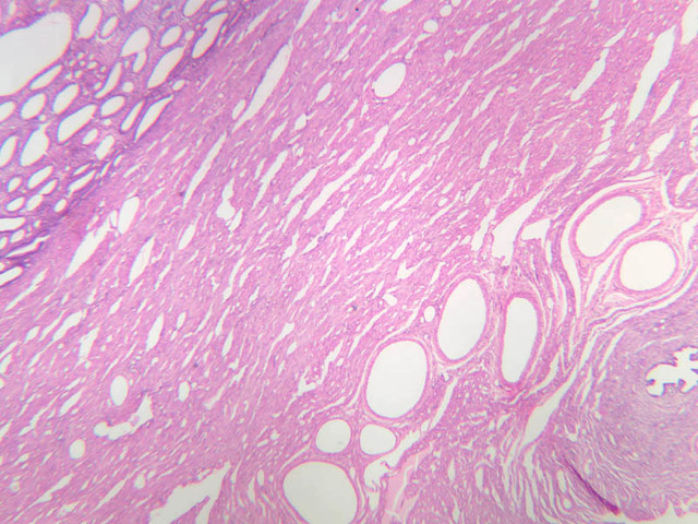
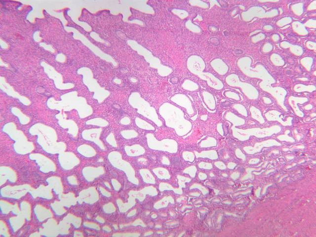
The uterus is a pear-shaped muscular organ, somewhat flattened from front to back. The expanded upper portion is referred to as the fundus, while its lower part, which protrudes into the vagina, is called the cervix. The lumen of the uterus is slit-like and is in communication with that of the uterine tubes (B-97, monkey uterus [1x, 1x, 1x, 1x]). The wall of the uterus consists of three layers: perimetrium, myometrium, and endometrium (B-97 [1x, 1x-labeled] [1x, 1x, 1x]; B-100 [1x, 1x]). The perimetrium is peritoneum which covers the uterus, but is lacking in the posterocaudal third below the peritoneal reflection (B-97 [2.5x, 10x, 20x, 40x]). The myometrium is the very thick middle layer consisting of bundles of smooth muscle cells arranged into several interwoven layers (slide B-93 [1x-labeled, 2.5x] [1x, 2.5x] [1x, 2.5x] [2.5x, 10x, 20x, 40x]). The endometrium is the innermost layer and is a glandular mucosa (B-97 [2.5x, 10x, 20x] [2.5x, 10x, 20x] [2.5x, 10x, 20x, 40x]). It consists of a surface epithelium which is invaginated into tubes called uterine glands. The glands penetrate into a very thick lamina propria referred to as the endometrial stroma. The surface epithelium is a mixture of ciliated and non-ciliated simple columnar cells, whereas the glandular epithelium consists mainly of non-ciliated secretory cells. The endometrial stroma has the appearance of a loose, rather cellular mesenchyme with numerous blood vessels.

The endometrium is subdivided into two main parts; the basalis and the functionalis (slide B-97). The basalis is deep, lying adjacent to the myometrium, it consists of stroma and the closed ends of the uterine glands and is not sloughed during menstruation. The functionalis is upper zone consisting of the remainder of the uterine glands with intervening stroma. It is lost during menstruation, but is replaced again with each menstrual cycle, by proliferation of the persisting elements in the basalis.

The menstrual cycle is a continuous series of events, dominated by the endocrine activity of the ovary, which repeats itself with a 28 day period. The endometrium participates by undergoing a series of structural changes which are roughly divided into three categories, the proliferative, secretory, and menstrual phases. These phases are listed below, examine each of the uterine slides and determine to which phase it belongs.

B97, Uterus, 1x (H&E) B97, Uterus, 1x (H&E) B97, Uterus, 1x (H&E) B97, Uterus, 1x (H&E) B97, Uterus, 1x (H&E) B97, Uterus, 1x Labeled (H&E) B97, Uterus, 1x (H&E) B97, Uterus, 1x (H&E) B97, Uterus, 1x (H&E) B100, Uterus, 1x (H&E) B100, Uterus, 1x (H&E) B97, Uterus, 2.5x (H&E) B97, Uterus, 10x (H&E) B97, Uterus, 20x (H&E) B97, Uterus, 40x (H&E) B93, Uterus, 1x Labeled (H&E) B93, Uterus, 2.5x (H&E) B93, Uterus, 1x (H&E) B93, Uterus, 2.5x (H&E) B93, Uterus, 1x (H&E) B93, Uterus, 2.5x (H&E) B93, Uterus, 2.5x (H&E) B93, Uterus, 10x (H&E) B93, Uterus, 20x (H&E) B93, Uterus, 40x (H&E) B97, Uterus, 2.5x (H&E) B97, Uterus, 10x (H&E) B97, Uterus, 20x (H&E) B97, Uterus, 2.5x (H&E) B97, Uterus, 10x (H&E) B97, Uterus, 20x (H&E) B97, Uterus, 2.5x (H&E) B97, Uterus, 10x (H&E) B97, Uterus, 20x (H&E) B97, Uterus, 40x (H&E)

Uterus Table of Identifications

Row Structure Abbreviation Optimal Stain Representative Section Note
1 Perimetrium (none) H&E b93 uterine tube 1x labeled.jpgB97, Uterus, 1x  
2 Myometrium (none) H&E b93 uterine tube 1x labeled.jpgB97, Uterus, 1x; b93a uterus 1x labeled.jpgB93, Uterus, 1x  
3 Endometrium (none) H&E b93 uterine tube 1x labeled.jpgB97, Uterus, 1x; b93a uterus 1x labeled.jpgB93, Uterus, 1x  
4 Uterine Lumen (none) H&E b93 uterine tube 1x labeled.jpgB97, Uterus, 1x  
5 Blood Vessels (none) H&E b93 uterine tube 1x labeled.jpgB97, Uterus, 1x  
6 Broad Ligament (none) H&E b93a uterus 1x labeled.jpgB93, Uterus, 1x  


Top of page

Menstrual Phase

The menstrual phase lasts 1 -5 days, and corresponds to ovarian menstrual phase; i.e., degeneration of corpus luteum with consequent decrease in estrogen and progesterone levels. During this phase the functionalis sloughs off leaving the basalis. Just prior to sloughing, the glands are extremely dilated and tortuous.

Proliferative Phase

This phase occurs during days 7 to 14 and corresponds to the ovarian follicular phase with rising levels of estrogens. The functionalis layer is replaced by growth of the endometrial elements in the basalis. The glands are usually straight tubes extending from the surface. Epithelial cells become taller and accumulate glycogen basal to their nuclei. (slide B-93 [2.5x, 10x, 20x, 40x]; B-97 [2.5x, 10x, 20x, 40x])

B93, Uterus (Proliferative Phase), 2.5x (H&E) B93, Uterus (Proliferative Phase), 10x (H&E) B93, Uterus (Proliferative Phase), 20x (H&E) B93, Uterus (Proliferative Phase), 40x (H&E) B97, Uterus (Proliferative Phase), 2.5x (H&E) B97, Uterus (Proliferative Phase), 10x (H&E) B97, Uterus (Proliferative Phase), 20x (H&E) B97, Uterus (Proliferative Phase), 40x (H&E)


Top of page

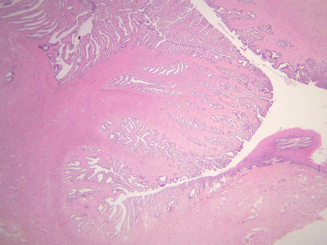
Secretory Phase

This phase occurs on days 15 to 27 and corresponds to the ovarian luteal phase characterized by rising levels of progesterone. The epithelial cells begin to secrete a mucoid fluid rich in nutrients, especially glycogen. The glands become highly coiled and folded and toward the end, very distended. The density of the stroma lessens as it becomes edematous. (slides B-99 [2.5x, 10x, 20x, 40x] [2.5x, 10x, 20x, 40x]; B-100 [1x, 2.5x] [2.5x, 10x, 20x, 40x] [2.5x, 10x, 20x, 40x])

B100, Uterus (Secretory Phase), 1x (H&E) B100, Uterus (Secretory Phase), 2.5x (H&E) B99, Uterus (Secretory Phase), 2.5x (H&E) B99, Uterus (Secretory Phase), 10x (H&E) B99, Uterus (Secretory Phase), 20x (H&E) B99, Uterus (Secretory Phase), 40x (H&E) B99, Uterus (Secretory Phase), 2.5x (H&E) B99, Uterus (Secretory Phase), 10x (H&E) B99, Uterus (Secretory Phase), 20x (H&E) B99, Uterus (Secretory Phase), 40x (H&E) B100, Uterus (Secretory Phase), 2.5x (H&E) B100, Uterus (Secretory Phase), 10x (H&E) B100, Uterus (Secretory Phase), 20x (H&E) B100, Uterus (Secretory Phase), 40x (H&E) B100, Uterus (Secretory Phase), 2.5x (H&E) B100, Uterus (Secretory Phase), 10x (H&E) B100, Uterus (Secretory Phase), 20x (H&E) B100, Uterus (Secretory Phase), 40x (H&E)


Top of page

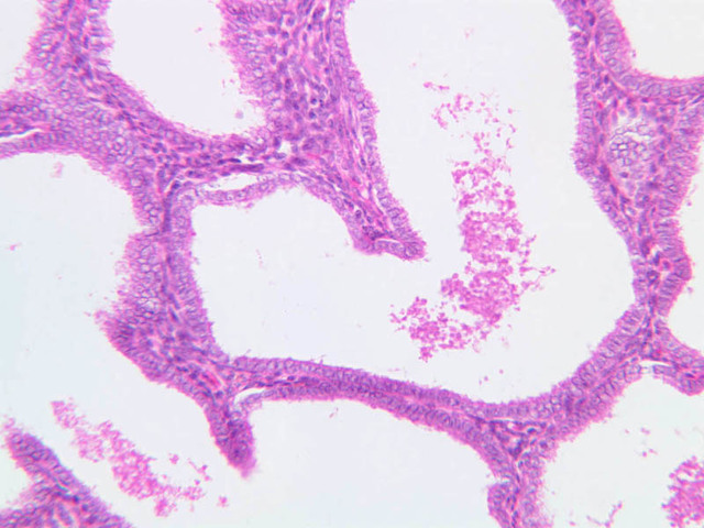
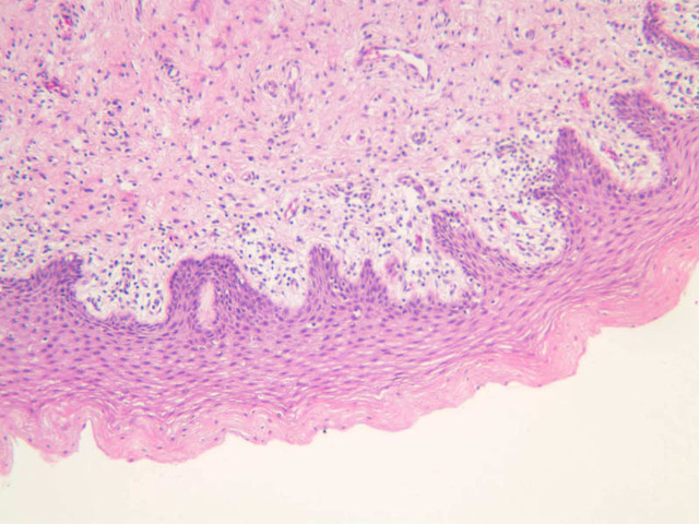
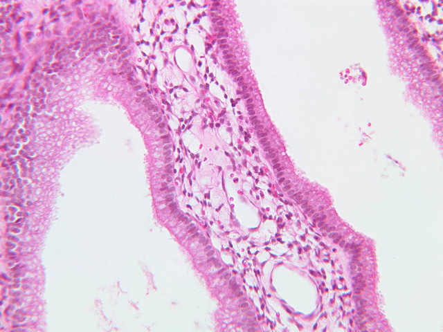
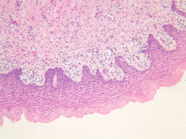
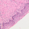
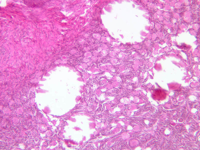
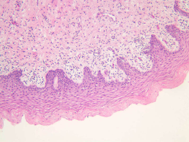
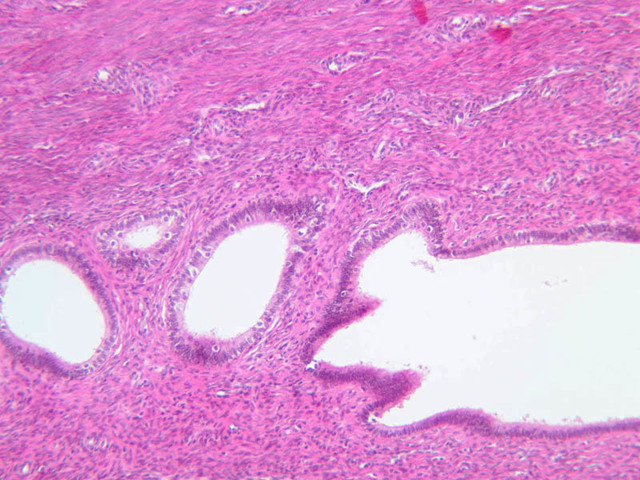
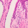
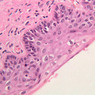
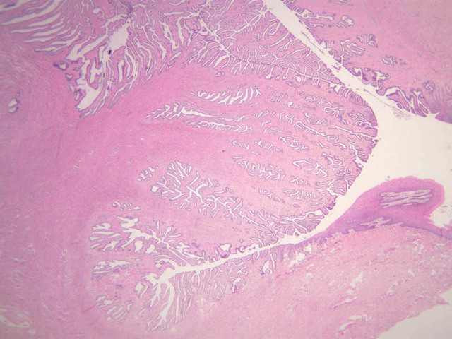
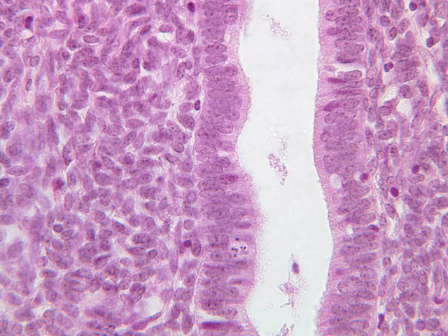
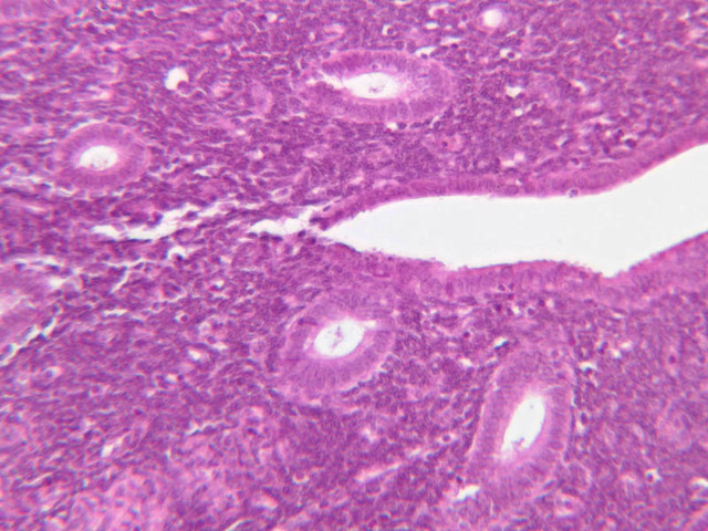
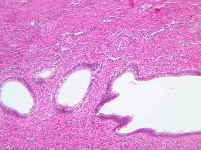
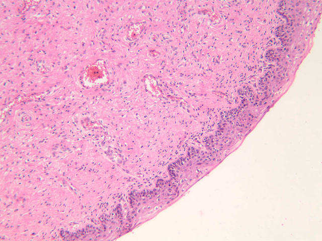
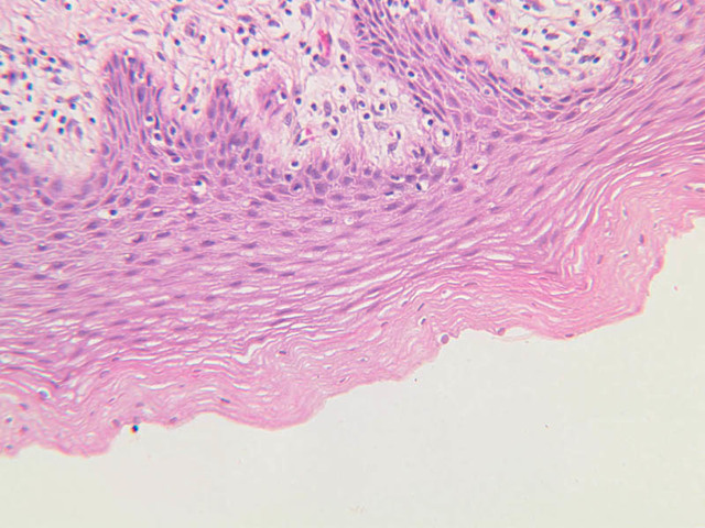
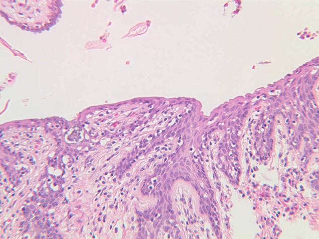
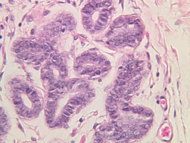
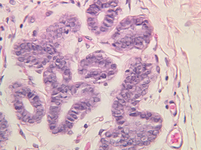
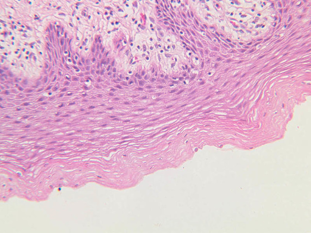
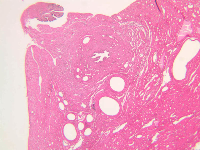
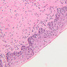
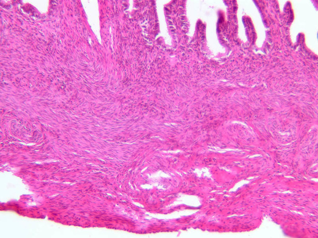
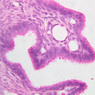
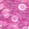
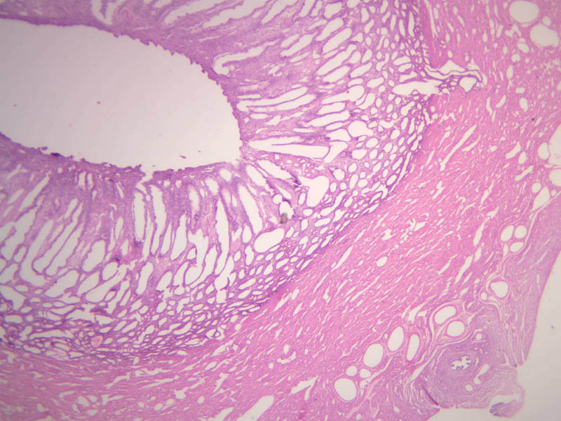
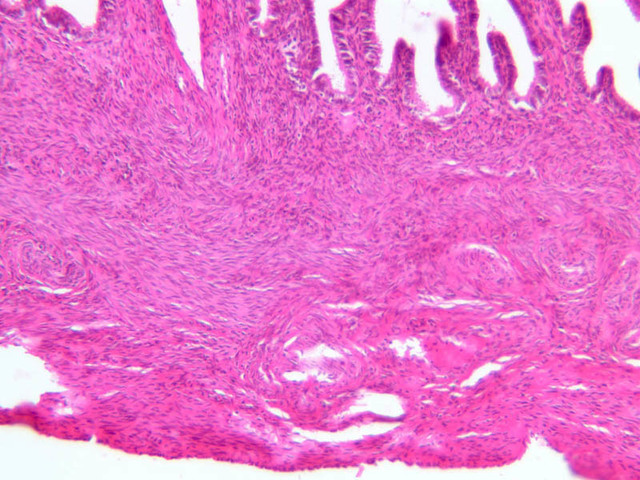
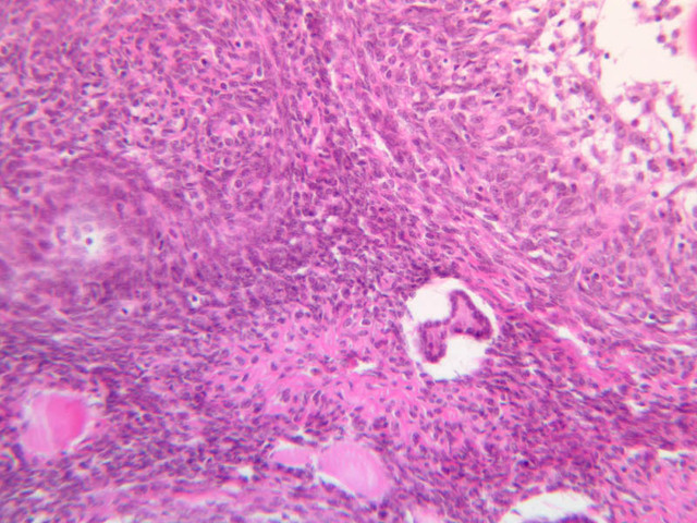
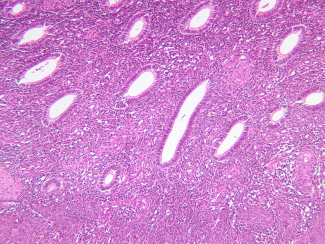
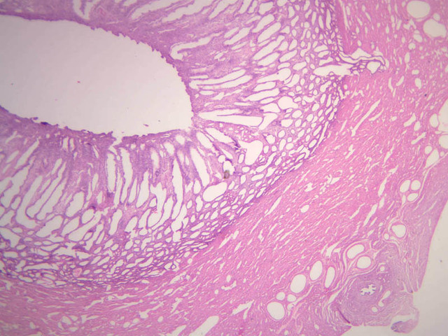
Uterine Cervix

The endometrium of the cervical canal does not slough during the menstrual phase. The glands in this region are relatively large and extensively branched. They are lined by a tall simple columnar epithelium very active in the secretion of mucus. Occasionally these glands become blocked forming Nabothian cysts. The transition of the epithelium of the cervix to that of the vagina is abrupt and is in the region of the external os. At this point, the cervical simple columnar is replaced by the vaginal stratified squamous epithelium (slide B-98 [2.5x-labeled, 10x, 20x, 40x] [2.5x, 10x, 20x, 40x]). This is an area which is commonly inflamed as well as a primary location of cervical cancer.

B98, Uterine Cervix, 2.5x Labeled (H&E) B98, Uterine Cervix, 10x (H&E) B98, Uterine Cervix, 20x (H&E) B98, Uterine Cervix, 40x (H&E) B98, Uterine Cervix, 2.5x (H&E) B98, Uterine Cervix, 10x (H&E) B98, Uterine Cervix, 20x (H&E) B98, Uterine Cervix, 40x (H&E)

Uterine Cervix Table of Identifications

Row Structure Abbreviation Optimal Stain Representative Section Note
1 Cervical Glands (none) H&E b98 cervix vagina junction 2x labeled.jpgB98, Uterine Cervix, 2x  
2 Cervix (none) H&E b98 cervix vagina junction 2x labeled.jpgB98, Uterine Cervix, 2x  
3 Vagina (none) H&E b98 cervix vagina junction 2x labeled.jpgB98, Uterine Cervix, 2x  
4 Stratified Squamous Epithelium (none) H&E b98 cervix vagina junction 2x labeled.jpgB98, Uterine Cervix, 2x  


Top of page

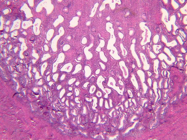
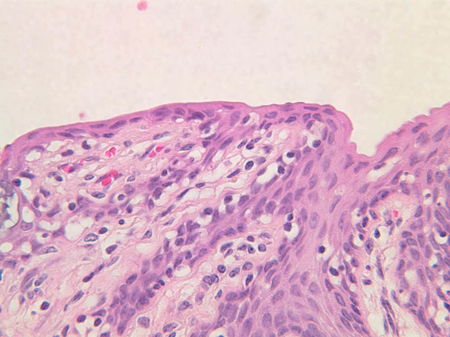
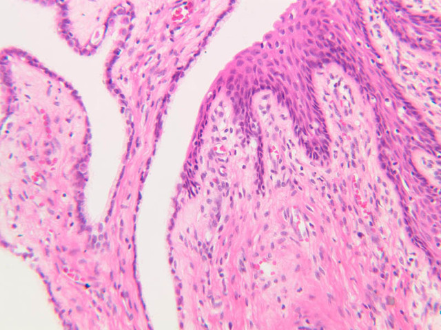
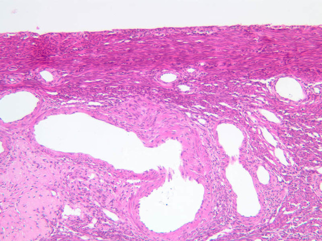
Vagina

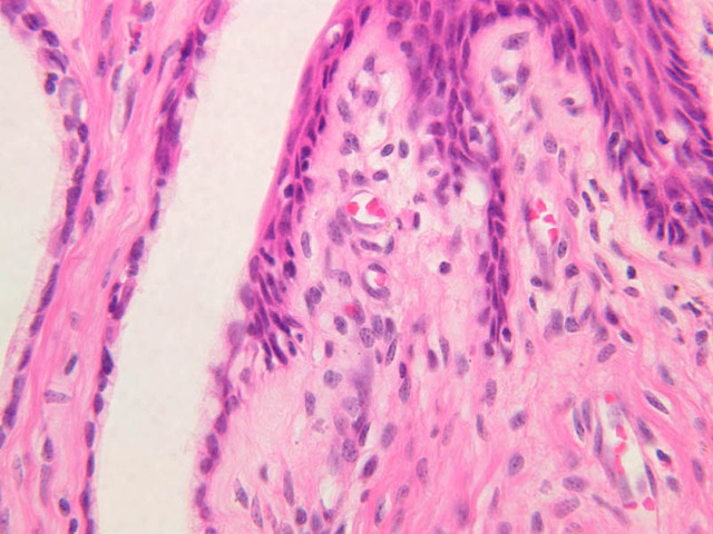
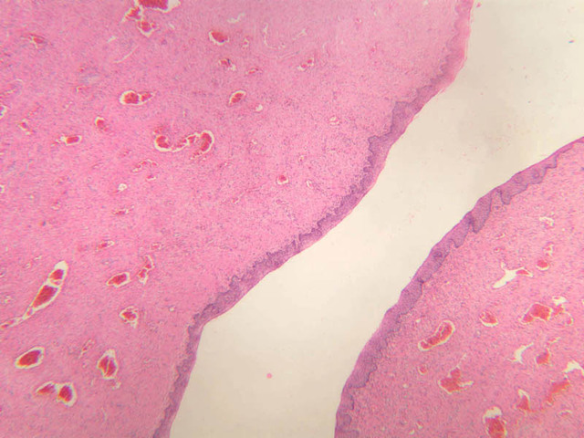
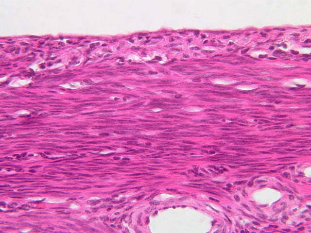
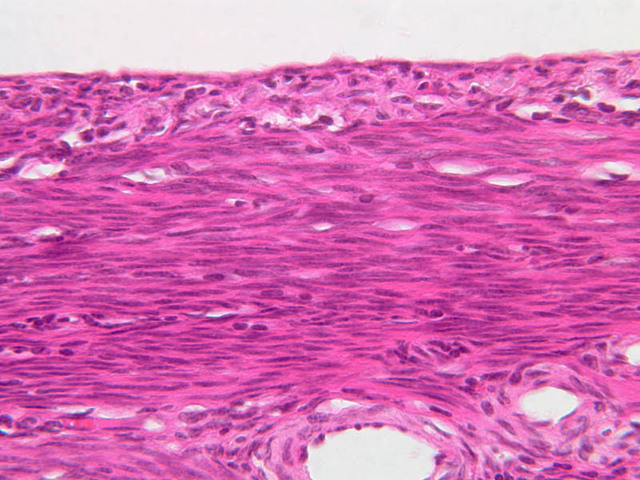
The mucosa of the vaginal wall is lined by non-keratinized stratified squamous epithelium which rests on a lamina propria. The epithelium is indented from beneath by connective tissue papillae. Occasionally aggregations of lymphocytes may be seen within the lamina propria (slide B-98 [2.5x-labeled, 10x, 20x, 40x] [2.5x, 10x, 20x, 40x] [1x, 1x, 1x, 1x, 1x]). The muscularis is said to consist of a poorly defined inner circular and outer longitudinal layer of smooth muscle. An adventitia of fibrous tissue forms the outer most layer of the vaginal wall. Although there is a rather rich vascular plexus in the lamina propria, no glands are present at any location in the vaginal wall.

B98, Vagina, 2.5x Labeled (H&E) B98, Vagina, 10x (H&E) B98, Vagina, 20x (H&E) B98, Vagina, 40x (H&E) B98, Vagina, 2.5x (H&E) B98, Vagina, 10x (H&E) B98, Vagina, 20x (H&E) B98, Vagina, 40x (H&E) B98, Vagina, 1x (H&E) B98, Vagina, 1x (H&E) B98, Vagina, 1x (H&E) B98, Vagina, 1x (H&E) B98, Vagina, 1x (H&E)

Vagina Table of Identifications

Row Structure Abbreviation Optimal Stain Representative Section Note
1 Cervix (none) H&E b98 vagina 2x labeled.jpgB98, Vagina, 2x  
2 Vagina (none) H&E b98 vagina 2x labeled.jpgB98, Vagina, 2x  
3 Lymphatic Tissue (none) H&E b98 vagina 2x labeled.jpgB98, Vagina, 2x  


Top of page

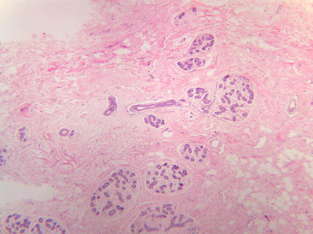
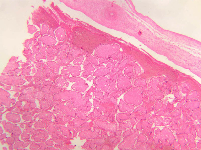
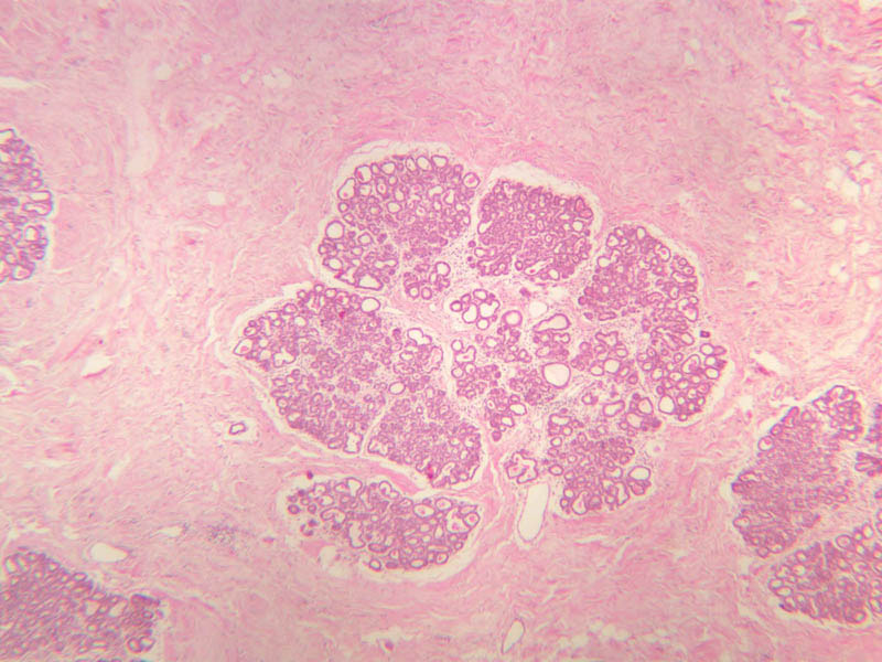
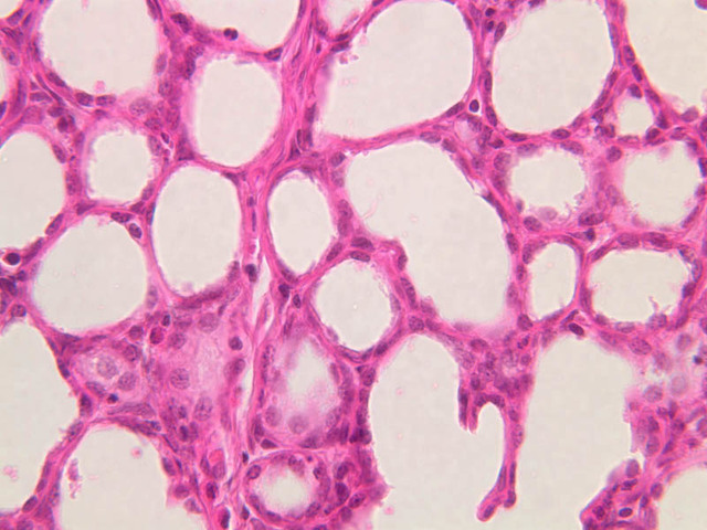
Mammary Gland

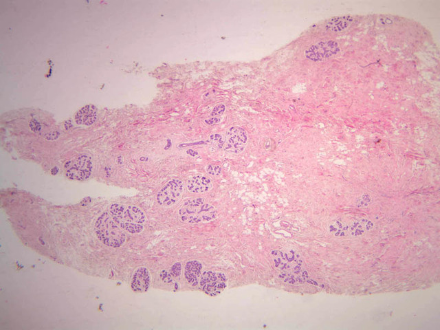
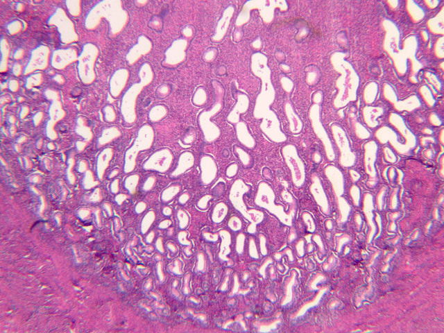
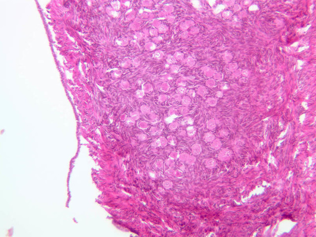
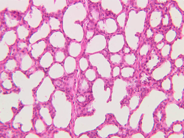
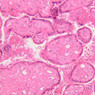
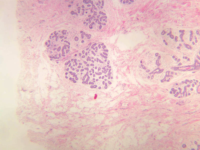
The resting or inactive mammary gland consists of predominantly dense connective tissue with small clusters of ducts and a few glandular elements (slide A-93 [2.5x-labeled, 10x, 20x, 40x] [1x, 2.5x, 10x, 20x]). It is difficult to differentiate between small ducts and alveoli as each is lined by simple low cuboidal cells. Lobes and lobules are not well defined. During puberty, predominantly under the influence of the ovarian hormone estrogen, the glandular or epithelial ducts proliferate and begin to differentiate into clusters of ductal and alveolar units termed terminal ductal lobule units (TDLUs). The non-pregnant gland will form multiple TDLUs that will not fully differentiate until pregnancy-induced growth. TDLUs are classified into Type I, Type II and Type III based on density of the ductules within each lobular unit. Type I and Type II lobules are typical of inactive glands that have not undergone a pregnancy cycle. Type III lobules are seen only in active glands or in inactive glands that have been through a pregnancy. Intralobular connective tissue is loose connective tissue that surrounds the alveoli and ducts within a lobule. The interlobular connective tissue is dense and contains considerable adipose tissue.

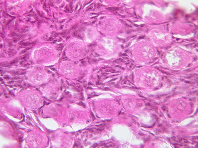
During pregnancy, predominantly under the influence of the ovarian hormone progesterone and the pituitary hormone prolactin, the glandular elements proliferate and differentiate to form milk-secreting units. In later stages of pregnancy, alveolar development becomes prominent and the amount of connective tissue and adipose tissue decreases. The secretory cells hypertrophy and accumulate secretory product.

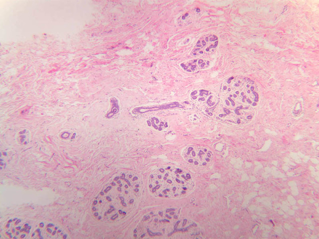
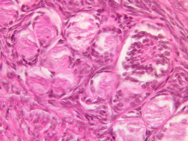
The mammary gland in its active state is a compound tubuloalveolar gland (slide A-92 [10x, 20x, 40x-labeled] [2.5x, 10x, 20x, 40x]; A-94 [2.5x, 10x, 20x, 40x]). At this time, the gland is predominantly glandular tissue. Each alveolus is lined by a simple cuboidal epithelium. At the base of these cells, and within the alveolar basal lamina, are the stellate-shaped myoepithelial cells that are highly contractile and function to facilitate milk ejection.

A93, Mammary Gland (Inactive), 2.5x Labeled (H&E) A93, Mammary Gland (Inactive), 10x (H&E) A93, Mammary Gland (Inactive), 20x (H&E) A93, Mammary Gland (Inactive), 40x (H&E) A93, Mammary Gland (Inactive), 1x (H&E) A93, Mammary Gland (Inactive), 2.5x (H&E) A93, Mammary Gland (Inactive), 10x (H&E) A93, Mammary Gland (Inactive), 20x (H&E) A92, Mammary Gland (Lactating), 10x (H&E) A92, Mammary Gland (Lactating), 20x (H&E) A92, Mammary Gland (Lactating), 40x Labeled (H&E) A92, Mammary Gland (Lactating), 2.5x (H&E) A92, Mammary Gland (Lactating), 10x (H&E) A92, Mammary Gland (Lactating), 20x (H&E) A92, Mammary Gland (Lactating), 40x (H&E) A94, Mammary Gland (Lactating), 2.5x (H&E) A94, Mammary Gland (Lactating), 10x (H&E) A94, Mammary Gland (Lactating), 20x (H&E) A94, Mammary Gland (Lactating), 40x (H&E)

Mammary Gland Table of Identifications

Row Structure Abbreviation Optimal Stain Representative Section Note
1 Dense Connective Tissue DCT H&E a93 mammary gland inactive 2x labeled.jpgB93, Mammary Gland (Inactive), 2x  
2 Duct D H&E a93 mammary gland inactive 2x labeled.jpgB93, Mammary Gland (Inactive), 2x  
3 Lobule L H&E a93 mammary gland inactive 2x labeled.jpgB93, Mammary Gland (Inactive), 2x  
4 Adipocytes Adip H&E a93 mammary gland inactive 2x labeled.jpgB93, Mammary Gland (Inactive), 2x  
5 Myoepithelial Cells mEp H&E a92b mammary gland lactating breast 40x labeled.jpgB92, Mammary Gland (Lactating), 40x  
6 Simple Cuboidal Epithelium Ep H&E a92b mammary gland lactating breast 40x labeled.jpgB92, Mammary Gland (Lactating), 40x  
7 Alveolar Lumen L H&E a92b mammary gland lactating breast 40x labeled.jpgB92, Mammary Gland (Lactating), 40x  


Top of page

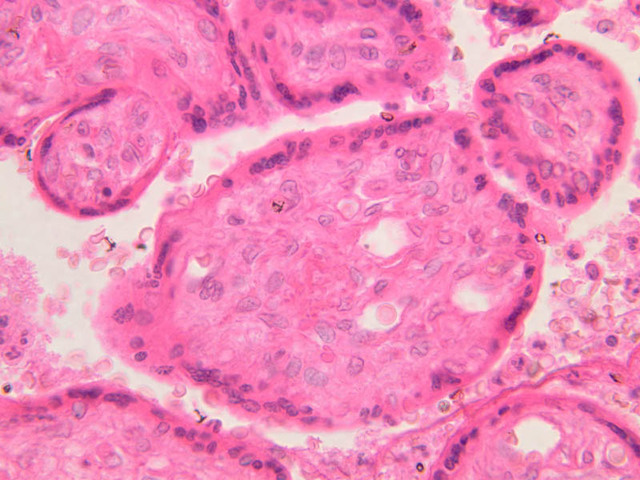
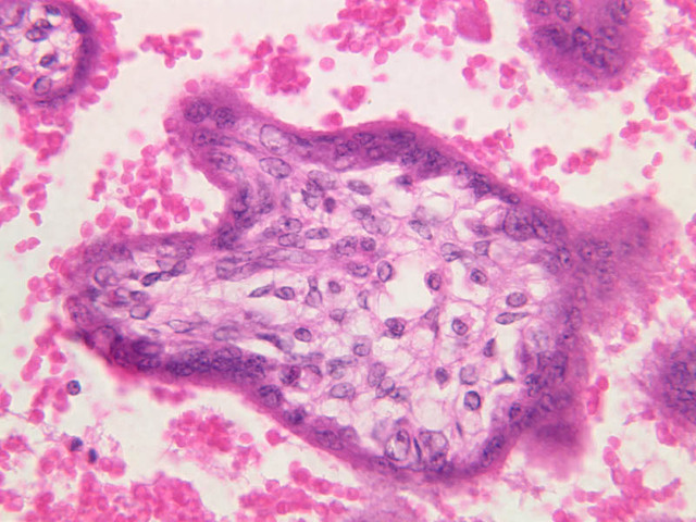
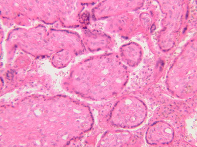
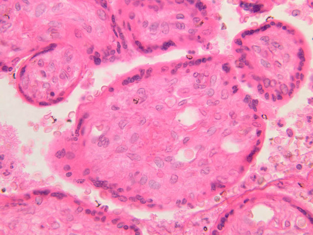
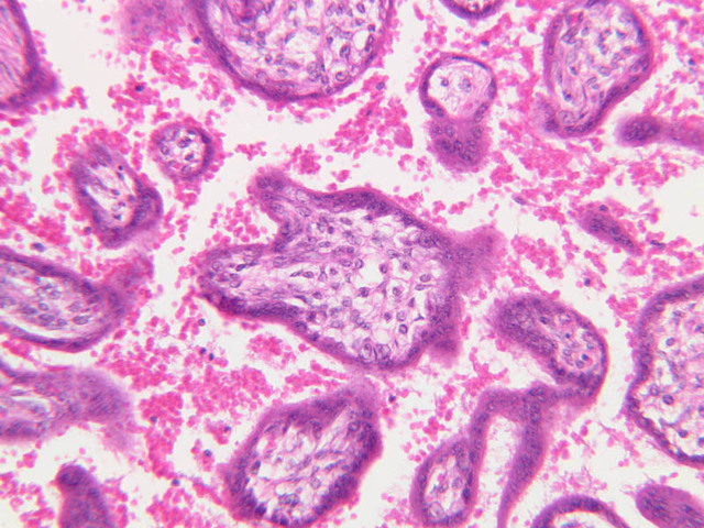
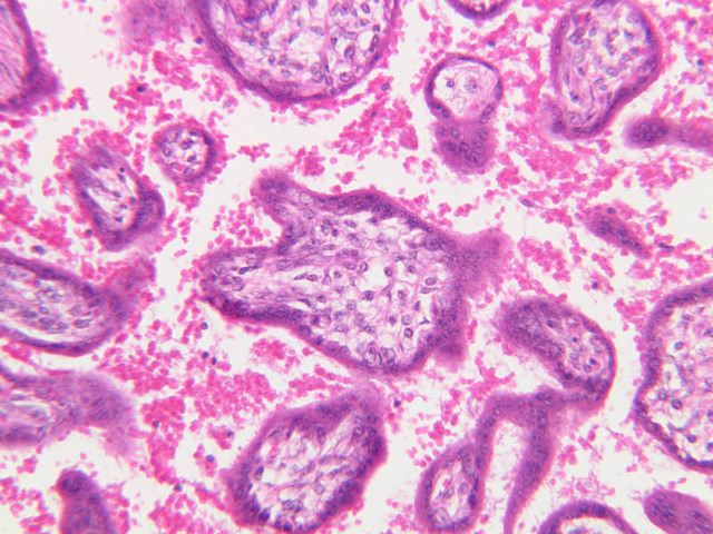
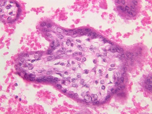
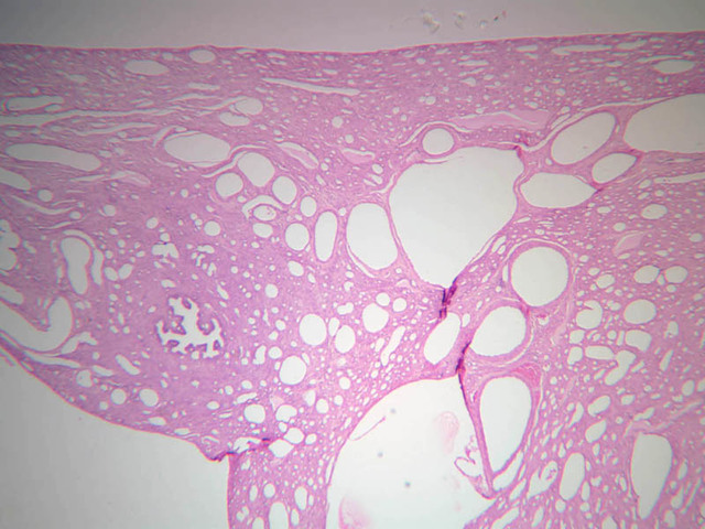
Placenta

Slide A-98 (monkey placenta [2.5x, 10x, 20x, 40x]) is a first trimester placenta and A-97 (monkey placenta [2.5x, 10x, 20x, 40x]) is from a third trimester pregnancy. What are the differences? Compare to the term human placenta, A-96 ([2.5x, 10x, 20x, 40x]).

A98, Placenta (1st Trimester), 2.5x (H&E) A98, Placenta (1st Trimester), 10x (H&E) A98, Placenta (1st Trimester), 20x (H&E) A98, Placenta (1st Trimester), 40x (H&E) A97, Placenta (3rd Trimester), 2.5x (H&E) A97, Placenta (3rd Trimester), 10x (H&E) A97, Placenta (3rd Trimester), 20x (H&E) A97, Placenta (3rd Trimester), 40x (H&E) A96, Placenta (Term), 2.5x (H&E) A96, Placenta (Term), 10x (H&E) A96, Placenta (Term), 20x (H&E) A96, Placenta (Term), 40x (H&E)


Top of page

Chapter Sixteen Review

Review of Slides

Female Female Female Female Female Female Female Female Female Female Female Female Female Female Female Female Female Female Female Female Female Female Female Female Female Female Female Female Female Female Female Female Female Female Female Female Female Female Female Female Female Female Female Female Female Female Female Female Female Female Female Female Female Female Female Female Female Female Female Female Female Female Female Female Female Female Female Female Female Female Female Female Female Female Female Female Female Female Female Female Female Female Female Female Female Female Female Female Female Female Female Female Female Female Female Female Female Female Female Female Female Female Female Female Female Female Female Female Female Female Female Female Female Female Female Female Female Female Female Female Female Female Female Female Female Female Female Female Female Female Female Female Female Female Female Female Female Female Female Female Female Female Female Female Female Female Female Female Female Female Female Female Female Female Female Female Female Female Female Female Female Female Female Female Female Female Female Female Female Female Female Female Female Female Female Female Female Female Female Female Female Female Female Female Female Female Female Female Female Female Female Female Female Female Female Female Female Female Female Female Female Female Female Female Female Female Female Female Female Female Female Female Female Female Female Female Female Female Female Female Female Female Female Female Female Female Female Female Female Female Female Female Female Female Female Female Female Female Female Female Female Female Female Female Female Female Female Female Female Female Female Female Female Female Female GrossAnatomy_FemaleReproduction GrossAnatomy_FemaleReproduction GrossAnatomy_FemaleReproduction GrossAnatomy_FemaleReproduction GrossAnatomy_FemaleReproduction

Review of Identifications

Row Structure Abbreviation Optimal Stain Representative Section Note
1 Fimbria (none) H&E b95 ovary 1x labeled.jpgB95, Ovary, 1x  
2 Mesovarium (none) H&E b95 ovary 1x labeled.jpgB95, Ovary, 1x  
3 Ovary (none) H&E b95 ovary 1x labeled.jpgB95, Ovary, 1x; b96 uterine tube 1x labeled.jpgB96, Uterine Tube, 1x  
4 Corpus Luteum (none) H&E b54 ovary 1x labeled.jpgB54, Ovary, 1x; b54 corpus luteum ovary 1x labeled.jpgB54, Ovary, 1x  
5 Medulla (Ovarian) (none) H&E b54 ovary 1x labeled.jpgB54, Ovary, 1x  
6 Cortex (Ovarian) (none) H&E b54 ovary 1x labeled.jpgB54, Ovary, 1x  
7 Corpus Albicans (none) H&E b54 ovary 1x labeled.jpgB54, Ovary, 1x; b54 ovary 1x labeled.jpgB54, Ovary, 1x  
8 Follicles (none) H&E b96 tunica albuginea ovary 10x labeled.jpgB96, Ovary, 10x  
9 Tunica Albuginea (none) H&E b96 tunica albuginea ovary 10x labeled.jpgB96, Ovary, 10x; b96 secondary antral follicle 10x labeled.jpgB96, Ovary, 10x  
10 Germinal Epithelium (none), GE H&E b96 tunica albuginea ovary 10x labeled.jpgB96, Ovary, 10x; b96 secondary antral follicle 10x labeled.jpgB96, Ovary, 10x  
11 Primordial Follicle (none), Prim H&E b94b primordial follicle ovary 40x labeled.jpgB94, Ovary, 40x; b94 early primary follicle 40x labeled.jpgB94, Ovary, 40x; b96 secondary antral follicle 10x labeled.jpgB96, Ovary, 10x  
12 Follicle Cells FC H&E b94b primordial follicle ovary 40x labeled.jpgB94, Ovary, 40x; b94 early primary follicle 40x labeled.jpgB94, Ovary, 40x  
13 Nucleus of Oocyte N H&E b94b primordial follicle ovary 40x labeled.jpgB94, Ovary, 40x; b94 early primary follicle 40x labeled.jpgB94, Ovary, 40x  
14 Early Primary Follicle (none) H&E b94 early primary follicle 40x labeled.jpgB94, Ovary, 40x; b94b early primary follicle 40x labeled.jpgB94, Ovary, 40x  
15 Granulosa Cells GC H&E b94b early primary follicle 40x labeled.jpgB94, Ovary, 40x; b94 late primary follicle 40x labeled.jpgB94, Ovary, 40x; b94c graafian follicle 20x labeled.jpgB94, Ovary, 20x  
16 Zona Pellucida ZP H&E b94b early primary follicle 40x labeled.jpgB94, Ovary, 40x; b94 late primary follicle 40x labeled.jpgB94, Ovary, 40x  
17 Basal Lamina BL H&E b94b early primary follicle 40x labeled.jpgB94, Ovary, 40x; b94 late primary follicle 40x labeled.jpgB94, Ovary, 40x  
18 Theca Folliculi TF H&E b94b early primary follicle 40x labeled.jpgB94, Ovary, 40x; b94 secondary antral follicle 10x labeled.jpgB94, Ovary, 10x  
19 Late Primary Follicle (none) H&E b94 late primary follicle 40x labeled.jpgB94, Ovary, 40x  
20 Stratum Granulosum GC H&E b94 late primary follicle 40x labeled.jpgB94, Ovary, 40x; b94 secondary antral follicle 10x labeled.jpgB94, Ovary, 10x  
21 Theca Interna TI H&E b94 late primary follicle 40x labeled.jpgB94, Ovary, 40x  
22 Theca Externa TE H&E b94 late primary follicle 40x labeled.jpgB94, Ovary, 40x  
23 Oocyte O H&E b94 secondary antral follicle 10x labeled.jpgB94, Ovary, 10x  
24 Antrum A H&E b94 secondary antral follicle 10x labeled.jpgB94, Ovary, 10x; b96 secondary antral follicle 10x labeled.jpgB96, Ovary, 10x  
25 Primary Follicle PF H&E b96 secondary antral follicle 10x labeled.jpgB96, Ovary, 10x  
26 Secondary Follicle SF H&E b96 secondary antral follicle 10x labeled.jpgB96, Ovary, 10x  
27 Atretic Follicle AF H&E b96 secondary antral follicle 10x labeled.jpgB96, Ovary, 10x  
28 Thecal Cells TF H&E b94c graafian follicle 20x labeled.jpgB94, Ovary, 20x  
29 Corona Radiata (future) CR H&E b94c graafian follicle 20x labeled.jpgB94, Ovary, 20x  
30 Cumulus Oophorus CO H&E b94c graafian follicle 20x labeled.jpgB94, Ovary, 20x  
31 Former Follicular Cavity (none) H&E b54 corpus luteum ovary 1x labeled.jpgB54, Ovary, 1x  
32 Granulosa Lutein Cells GLC H&E b54 corpus luteum ovary 40x labeled.jpgB54, Ovary, 40x  
33 Theca Lutein Cells TLC H&E b54 corpus luteum ovary 40x labeled.jpgB54, Ovary, 40x  
34 Uterine Tube (Interstitial) (none) H&E b93 uterine tube 1x labeled.jpgB93, Uterine Tube, 1x  
35 Uterus (none) H&E b93 uterine tube 1x labeled.jpgB93, Uterine Tube, 1x  
36 Broad Ligament (none) H&E b93 interstitial uterine tube 2x labeled.jpgB93, Uterine Tube, 2.5x; b93a uterus 1x labeled.jpgB93, Uterus, 1x  
37 Uterine Tube (Isthmus) (none) H&E b93 interstitial uterine tube 2x labeled.jpgB93, Uterine Tube, 2.5x  
38 Uterine Tube (Infundibulum) (none) H&E b96 uterine tube 1x labeled.jpgB96, Uterine Tube, 1x  
39 Uterine Tube (Ampulla) (none) H&E b96 uterine tube 1x labeled.jpgB96, Uterine Tube, 1x  
40 Serosa (none) H&E b96 ampulla uterine tube 10x labeled.jpgB96, Uterine Tube, 10x  
41 Muscularis (none) H&E b96 ampulla uterine tube 10x labeled.jpgB96, Uterine Tube, 10x  
42 Mucosa (none) H&E b96 ampulla uterine tube 10x labeled.jpgB96, Uterine Tube, 10x  
43 Nonciliated Peg Cells (none) H&E b93 interstitial uterine tube 40x labeled.jpgB93, Uterine Tube, 40x  
44 Ciliated Cells (none) H&E b93 interstitial uterine tube 40x labeled.jpgB93, Uterine Tube, 40x  
45 Perimetrium (none) H&E b93 uterine tube 1x labeled.jpgB97, Uterus, 1x  
46 Myometrium (none) H&E b93 uterine tube 1x labeled.jpgB97, Uterus, 1x; b93a uterus 1x labeled.jpgB93, Uterus, 1x  
47 Endometrium (none) H&E b93 uterine tube 1x labeled.jpgB97, Uterus, 1x; b93a uterus 1x labeled.jpgB93, Uterus, 1x  
48 Uterine Lumen (none) H&E b93 uterine tube 1x labeled.jpgB97, Uterus, 1x  
49 Blood Vessels (none) H&E b93 uterine tube 1x labeled.jpgB97, Uterus, 1x  
50 Cervical Glands (none) H&E b98 cervix vagina junction 2x labeled.jpgB98, Uterus, 2x  
51 Cervix (none) H&E b98 cervix vagina junction 2x labeled.jpgB98, Uterus, 2x; b98 vagina 2x labeled.jpgB98, Uterus, 2x  
52 Vagina (none) H&E b98 cervix vagina junction 2x labeled.jpgB98, Uterus, 2x; b98 vagina 2x labeled.jpgB98, Uterus, 2x  
53 Stratified Squamous Epithelium (none) H&E b98 cervix vagina junction 2x labeled.jpgB98, Uterus, 2x  
54 Lymphatic Tissue (none) H&E b98 vagina 2x labeled.jpgB98, Uterus, 2x  
55 Dense Connective Tissue DCT H&E a93 mammary gland inactive 2x labeled.jpgB93, Mammary Gland (Inactive), 2x  
56 Duct D H&E a93 mammary gland inactive 2x labeled.jpgB93, Mammary Gland (Inactive), 2x  
57 Lobule L H&E a93 mammary gland inactive 2x labeled.jpgB93, Mammary Gland (Inactive), 2x  
58 Adipocytes Adip H&E a93 mammary gland inactive 2x labeled.jpgB93, Mammary Gland (Inactive), 2x  
59 Myoepithelial Cells mEp H&E a92b mammary gland lactating breast 40x labeled.jpgB92, Mammary Gland (Lactating), 40x  
60 Simple Cuboidal Epithelium Ep H&E a92b mammary gland lactating breast 40x labeled.jpgB92, Mammary Gland (Lactating), 40x  
61 Alveolar Lumen L H&E a92b mammary gland lactating breast 40x labeled.jpgB92, Mammary Gland (Lactating), 40x  


Top of page


Comments

 
  • That's funny. The comments just happen that way when I upload from a batch file (or I can specify a name that will be applied universally to all extracted images). I meant the file names... they were incorrectly labeled based on the text, and the text has references to slides that don't exist (image-wise). I'm just having to read through the text and glance at the slides and figure out which images need to go where. I'll be doing a lot of editing when I link the text to the images in a few minutes. -- AshleyLPistorio - 10 Jul 2007
  • Yea, I noticed the redundancy "extracted from zip." I don't think so. I have not heated the oven in 10 years. Refuse to clean it. -- LorenEvey - 10 Jul 2007
  • Wow. Ever wonder if you spend too much time in your kitchen? I'll be attacking the uterus now. I still have to figure out which pictures go in what order... they're all named rather redundantly. frown, sad smile -- AshleyLPistorio - 10 Jul 2007
  • Let's get going with this uterus. I want to see the uterovaginal autonomic plexus receiving fibers from the hypogastric nn. and the pelvic splanchnics. At last! -- LorenEvey - 10 Jul 2007
Top of page

-- AshleyLPistorio - 27 May 2007
Topic revision: r2 - 20 Jun 2015, LorenEvey
 
This site is powered by FoswikiCopyright © by the contributing authors. All material on this collaboration platform is the property of the contributing authors.
Ideas, requests, problems regarding Medical Histology? Send feedback