Chapter Seven: Lymphatic System

Introduction

Lymphatic tissue is found in five principal locations: 1) the mucosal lamina propria (i.e., upper respiratory tract, alimentary canal, urinary system); 2) lymph nodes; 3) spleen; 4) thymus; and 5) bone marrow. In general, lymphoid tissue consists of stroma and parenchyma. The stroma consists of a network of reticular cells that support the parenchymal cells and the walls of the sinuses. The parenchymal cells include lymphocytes (mature as well as immature cells), plasma cells, and macrophages.

Prior to learning the microarchitecture of Lymphatic Tissue, use the table below to review some of the gross anatomy of the lymphatic system:
Structure Image
Lymph Nodes of the Head and Neck SomeHeadNodes.gif
Gastric Lymph Nodes and Spleen GastricNodesandSpleen.gif
The Spleen Spleen.gif
The Thoracic Duct ThoracicDuctRightLynphaticDuct.gif
The Thymus Thymus.gif
Image Source: Grays Online

Lymph Vessels

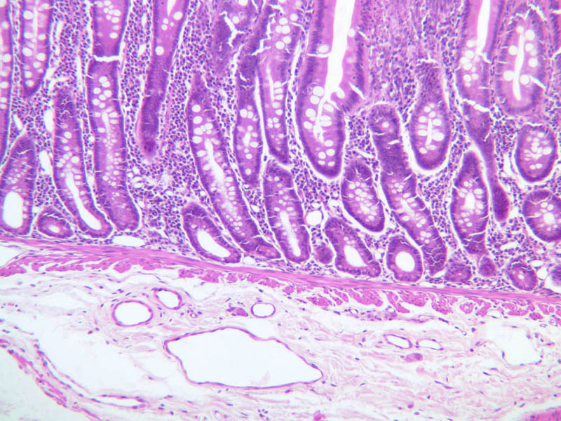
Delicate lymphatic channels consisting of capillaries and larger vessels are spread throughout the body. Periodically along these channels are small collections or complex aggregations of lymphocytes associated with delicate meshworks of reticular tissue. Approximately 50% of the plasma volume is lost each day to the tissues so a major function of the lymphatic channels is to collect fluid from tissue spaces and return it to the blood; but in transit, the plasma-like fluid is filtered through lymphoid tissue. Lymphatic vessels and tissue constitute a very widespread and extremely important filtering system between the body tissues and the bloodstream, and they prevent the spread of infectious agents by the vascular system. Lymphatic capillaries and vessels also transport proteins and other substances that leak from blood capillaries back to the blood via the thoracic and right lymphatic ducts, and in the intestines they are a principal pathway for carrying fats from the absorptive cells of intestinal villi to the bloodstream. Lymph capillaries are readily seen, but often go unnoticed in sections of tissue where they may be mistaken for fixation shrinkage artifacts. Examine intestinalthe villi in section B-12 and find the blind-ending capilliform vessel that lies in the axis of the villus (B-12, H&E [10x-labeled, 20x, 40x-labeled] [10x, 20x-labeled, 40x] [10x, 20x, 40x-labeled]; B-15, H&E [2.5x, 10x, 20x, 40x] [2.5x, 10x. 20x, 40x]). This is a lymph capillary known as a lacteal (because of its milky appearance after a fatty meal). Note its thin endothelial wall and its irregular lumen, common features of lymphatic vessels. Lacteals, in their passage to deeper-lying lymphatic vessels, usually pass through diffuse collections of lymphoid tissue. Lymphatic vessels larger than capillaries are similar in structure to comparable-sized veins, but have thinner walls. Thus, try to find vessels in the intestinal submucosa that seem to be venules, but have no cellular content. These are likely lymphatic vessels. Periodically along the lymphatics (and the venules also) valves occur, which are infoldings of the intimal layer of the vascular wall. These structures prevent backflow of lymph (or blood) ensuring a uni-directional flow. Lymphatic vessels are difficult to find and valves are rarely observed (i.e., don't spend too much time trying to identify these structures).

B12, Jejunum, 10x Labeled (H&E) B12, Jejunum, 20x (H&E) B12, Jejunum, 40x Labeled (H&E) B12, Jejunum, 10x (H&E) B12, Jejunum, 20x Labeled (H&E) B12, Jejunum, 40x (H&E) B12, Jejunum, 10x (H&E) B12, Jejunum, 20x (H&E) B12, Jejunum, 40x Labeled (H&E) B15, Jejunum, 2.5x (H&E) B15, Jejunum, 10x (H&E) B15, Jejunum, 20x (H&E) B15, Jejunum, 40x (H&E) B15, Jejunum, 2.5x (H&E) B15, Jejunum, 10x (H&E) B15, Jejunum, 20x (H&E) B15, Jejunum, 40x (H&E)

Lymph Vessel Table of Identifications

Row Structure Abbreviation Optimal Stain Representative Section Note
1 Endothelial Cell EC H&E b12 lacteal jejunum 40x labeled.jpgB12, Jejunum, 40x  
2 Lacteal L H&E b12b lacteal jejunum 20x labeled.jpgB12, Jejunum, 20x  
3 Lamina Propria LP H&E b12b lacteal jejunum 20x labeled.jpgB12, Jejunum, 20x  
4 Villus V H&E b12b lacteal jejunum 20x labeled.jpgB12, Jejunum, 20x  
5 Intestinal Gland (Crypt) Gl H&E b12 lymphatic vessel jejunum 40x labeled.jpgB12, Jejunum, 40x  
6 Lymphatic Vessel LV H&E b12 lymphatic vessel jejunum 40x labeled.jpgB12, Jejunum, 40x  
7 Lymphatic Tissue (Lamina Propria) LP/LT H&E b12 lymphatic vessel jejunum 40x labeled.jpgB12, Jejunum, 40x  


Top of page

Diffuse Lymphatic Tissue and Nodules

The visceral walls have concentrations of lymphoid tissues that comprise the body's filters against foreign organisms that attempt to enter by way of the alimentary, urinary, or respiratory tracts. The lamina propria is a layer of connective tissue underlying the epithelium of mucous membranes; lymphatic tissue is often found in the lamina propria. This lymphatic tissue can assume three forms; 1) diffuse lymphatic tissue, 2) solitary lymphatic nodules, and 3) aggregated lymphatic nodules. The simplest arrangement of lymphoid tissue occurs as diffuse patches of lymphocytes scattered in the lamina propria of the walls of visceral organs. When a patch becomes activated by antigens or foreign organisms, it takes on the appearance similar to a nodule in the cortex of a lymph node (see below). These nodules are not encapsulated and simply occur in the visceral wall as an accumulation of lymphocytes, macrophages, and plasma cells embedded in reticular tissue. Eosinophilic leukocytes are frequently seen.

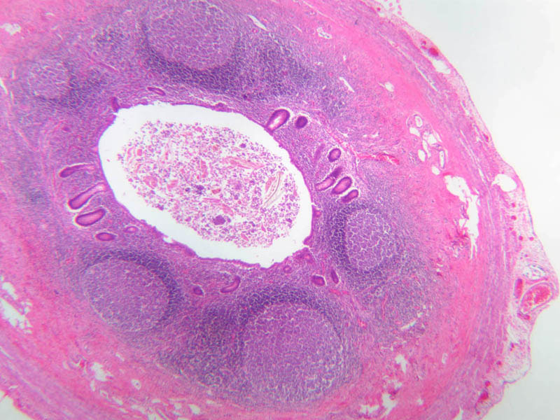
Examine sections B-12 (jejunum, H&E [2.5x, 10x-labeled, 20x, 40x]); B-16, ileum, H&E [2.5x-labeled, 10x, 20x]; B-18, ileum, H&E [2.5x, 10x-labeled, 20x, 40x]; B-20, appendix, H&E [2.5x, 10x-labeled, 20x, 40x-labeled]) and find examples of diffuse lymphatic tissue. Solitary nodules of lymphoid tissue as well as diffuse lymphoid tissue can be found almost anywhere along the gastrointestinal system (this is sometimes called GALT, gut associated lymphoid tissue). The most noted areas with aggregated nodules are found in ileum—Peyer’s Patches (slide B-18, H&E [2.5x-labeled, 10x-labeled, 20x, 40x] [2.5x, 10x, 20x, 40x]), and appendix (slide B-20, H&E [2.5x, 10x, 20x, 40x] [2.5x, 10x,20x, 40x] [2.5x-labeled, 10x, 20x-labeled, 40x]). Peyer's Patch consists of aggregated nodules of lymphoid tissue. Compare the appearance of Peyer's patches to the lymphoid tissue in the appendix. In the appendix, the lymphoid tissue of the appendix appears as a continuous ring of lymphatic tissue in the lamina propria. What features differentiate the appendix from the Ileum?

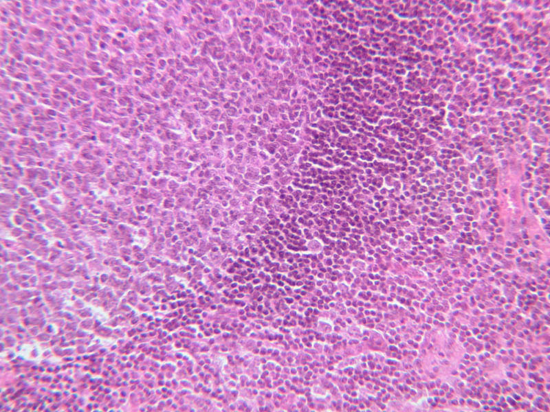
In lymphatic nodules and nodes the term primary nodule refers to a nodule of homogeneously, tightly packed small lymphocytes. When lymphatic nodules have germinal centers they are called secondary nodules. A germinal center contains lighter staining, "B" lymphocyte precursors. Mitotic figures should be easily spotted in the core of the nodule. Compare these cells with the mass of small more differentiated lymphocytes that surround the germinal center. Some of these lymphocytes are cytokine producing T-Helper cells that are stimulating the proliferation of the lymphoblasts.

B12, Jejunum, 2.5x (H&E) B12, Jejunum, 10x Labeled (H&E) B12, Jejunum, 20x (H&E) B12, Jejunum, 40x (H&E) B16, Ileum, 2.5x Labeled (H&E) B16, Ileum, 10x (H&E) B16, Ileum, 20x (H&E) B18, Ileum, 2.5x (H&E) B18, Ileum, 10x Labeled (H&E) B18, Ileum, 20x (H&E) B18, Ileum, 40x (H&E) B20, Appendix, 2.5x (H&E) B20, Appendix, 10x Labeled (H&E) B20, Appendix, 20x (H&E) B20, Appendix, 40x Labeled (H&E) B18, Ileum, 2.5x Labeled (H&E) B18, Ileum, 10x Labeled (H&E) B18, Ileum, 20x (H&E) B18, Ileum, 40x (H&E) B18, Ileum, 2.5x (H&E) B18, Ileum, 10x (H&E) B18, Ileum, 20x (H&E) B18, Ileum, 40x (H&E) B20, Appendix, 2.5x (H&E) B20, Appendix, 10x (H&E) B20, Appendix, 20x (H&E) B20, Appendix, 40x (H&E) B20, Appendix, 2.5x (H&E) 29 -B20, Appendix, 10x (H&E) B20, Appendix, 20x (H&E) B20, Appendix, 40x (H&E) B20, Appendix, 2.5x Labeled (H&E) B20, Appendix, 10x (H&E) B20, Appendix, 20x Labeled (H&E) B20, Appendix, 40x (H&E)

Diffuse Lymphatic Tissue and Nodule Table of Identifications

Row Structure Abbreviation Optimal Stain Representative Section Note
1 Diffuse Lymphatic Tissue (none) H&E b12 diffuse lymphatic tissue galt jejunum 10x labeled.jpgB12, Jejunum, 10x  
2 Peyer's Patches (Aggregated Lymphoid Nodules) LN H&E b16 peyers patch ileum 2x labeled.jpgB16, Ileum, 2.5x  
3 Submucosa SubM H&E b16 peyers patch ileum 2x labeled.jpgB16, Ileum, 2.5x  
4 Lamina Propria LP H&E b18 peyers patch ileum 10x labeled.jpgB18, Ileum, 10x  
5 Intestinal Glands IG H&E b18 peyers patch ileum 10x labeled.jpgB18, Ileum, 10x  
6 Secondary Lymphoid Nodule (none) H&E b20 lymphoid nodule appendix 10x labeled.jpgB20, Appendix, 10x  
7 Germinal Center GC H&E b20 lymphoid nodule appendix 10x labeled.jpgB20, Appendix, 10x  
8 Corona C H&E b20 lymphoid nodule appendix 10x labeled.jpgB20, Appendix, 10x  
9 B Lymphocyte Precursor Bp H&E b20 lymphoid nodule appendix 40x labeled.jpgB20, Appendix, 40x  
10 Mitotic Figures MF H&E b20 lymphoid nodule appendix 40x labeled.jpgB20, Appendix, 40x  
11 Differentiated Lymphocyte DL H&E b20 lymphoid nodule appendix 40x labeled.jpgB20, Appendix, 40x  
12 Primary Nodule (none) H&E b20c appendix 2x labeled.jpgB20, Appendix, 2.5x  
13 Secondary Nodule (none) H&E b20c appendix 2x labeled.jpgB20, Appendix, 2.5x  


Top of page

Partially Encapsulated Lymphoid Tissue

The first site of defense against foreign agents entering the body through the mouth and nose is the ring of tonsils around the posterior oro- and nasopharynx. The tonsil is a mass of confluent lymphoid nodules beneath the pharyngeal epithelium. Examine slide A-41 (retic-H&E [2.5x, 2.5x-labeled] [2.5x, 10x-labeled, 20x, 40x] [2.5xlabeled, 10x, 20x, 40x]). Tonsillar tissue is not separable into cortical and medullary regions, and it does not contain lymphatic vessels. The lymphoid masses, as in the nodules of the stomach and intestine, lie just beneath the epithelium where they can intercept bacteria and viruses that either invade or are phagocytosed by the overlying epithelium. The tonsil is invested by a fibrous tissue and is incompletely subdivided by inward-projecting trabeculae. Blood vessels in the tonsillar substance leave randomly through the fibrous tissue. What features differentiate the tonsil from the ileum?

A41, Tonsil, 2.5x (Reticulin-H&E) A41, Tonsil, 2.5x Labeled (Reticulin-H&E) A41, Tonsil, 2.5x (Reticulin-H&E) A41, Tonsil, 10x Labeled (Reticulin-H&E) A41, Tonsil, 20x (Reticulin-H&E) A41, Tonsil, 40x (Reticulin-H&E) A41, Tonsil, 2.5x Labeled (Reticulin-H&E) A41, Tonsil, 10x (Reticulin-H&E) A41, Tonsil, 20x (Reticulin-H&E) A41, Tonsil, 40x (Reticulin-H&E)

Partially Encapsulated Lymphoid Tissue Table of Identifications

Row Structure Abbreviation Optimal Stain Representative Section Note
1 Epithelium Ep H&E a41b lymphoid nodules tonsils 2x labeled.jpgA41, Tonsil, 2.5x  
2 Tonsillar Crypt TC H&E a41b lymphoid nodules tonsils 2x labeled.jpgA41, Tonsil, 2.5x  
3 Lymphatic Nodule LN H&E a41b lymphoid nodules tonsils 2x labeled.jpgA41, Tonsil, 2.5x  
4 Stratified Squamous Epithelium SSE H&E a41 tonsils 10x labeled.jpgA41, Tonsil, 10x  
5 Trabecula (none) H&E a41b tonsils 2x labeled.jpgA41, Tonsil, 2.5x  


Top of page

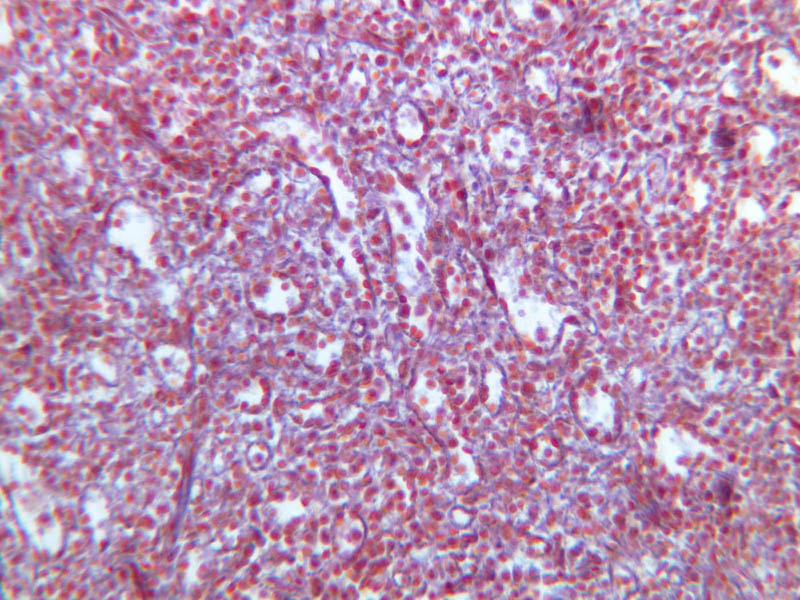
Encapsulated Lymphoid Tissue

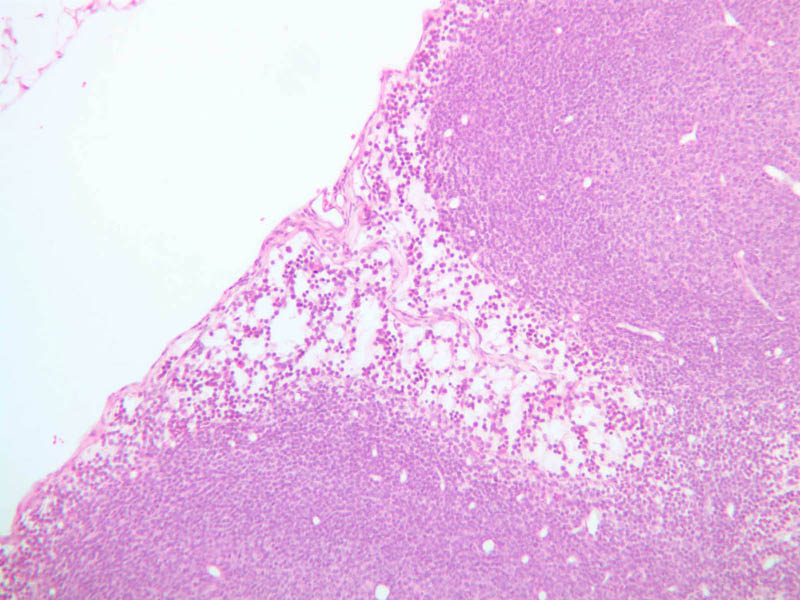
The most specialized lymphoid tissues are the encapsulated organs; 1) lymph nodes (which filter extracellular fluids); 2) the spleen (which filters blood); and 3) the thymus (which produces T lymphocytes).

Lymph Nodes

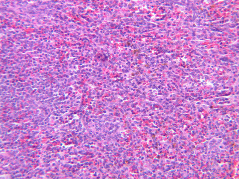
When foreign substances or antigens get into body tissues, such materials are usually taken into the lymph and transported to aggregations of lymphoid tissue called lymph nodes (slide A-32, H&E [2.5x-labeled, 10x, 20x, 40x] [2.5x-labeled, 10x, 20x] [2.5x, 10x, 20x-labeled, 40x]; A-33, H&E [2.5x, 10x, 20x, 40x]; A-34, retic [2.5x, 10x, 20x, 40x-labeled]; A-35, H&E [2.5x, 10x, 20x, 40x]), which are composed of lymph nodules invested by a distinct connective tissue capsule. The node is visibly separable into a cortex, where the densely stained nodules are concentrated, and a light staining medulla (A-32 [2.5x, 10x-labeled, 20x, 40x]). Strands, or trabeculae, of connective tissue separate the node into cortical compartments and join centrally in the node to emerge at the indented side known as the hilus. Small arteries and veins enter and leave the node at the hilus, being distributed in the node through the trabeculae. Capillary branches from the arteries are spread throughout the lymphoid node. Multiple afferent lymphatic vessels penetrate the capsule of the node, emptying into a subcapsular sinus which is a relatively cell-free zone (A-32 [2.5x, 10x, 20x, 40x-labeled]). Unidirectional flow of lymph from the afferent lymphatics into the sinus is assured by the valves in the vessels. From the subcapsular sinuses, lymph percolates through the relatively unobstructed cortical sinuses to the medulla. During this flow the lymph is filtered by phagocytes and foreign antigens are presented to lymphocytes by dendritic cells, the resident antigenpresenting cells. Nodules are formed as needed and subsequently disappear. Lymph finally reaches the medullary sinuses bounded by wide cords of tissue and passes out of the node at the hilus through the sole efferent lymphatic vessel.

The lymphoid tissue of a node is thus divisible into the nodules in the cortex and looser cords in the medulla. In the cortex, carefully examine a secondary nodule, composed of a dense outer rim of cells and a more loosely organized core (germinal center). In between the nodules find larger cells with pale, oval nuclei. These are reticular cells and will be most easily identified in the reticular-stained preparation (A-34 [2.5x, 10x, 20x, 40x] [10x, 20x, 40x]). The reticular fibers cells make up the CT scaffolding of the lymph node. Note that there are fewer reticular fibers in the germinal centers. Medium-sized cells with pale nuclei, particularly cells with a prominent nucleolus, may be progenitor cells of new lymphocytes. Macrophages present in the nodule are hard to distinguish unless they contain phagocytosed material. In the medulla, cell types in the cords are easier to distinguish because cytoplasmic size and extent can be seen. For example, the differences between large lymphocytes and reticular cells can be seen. Several types of granular leukocytes are frequently found in the cords in addition to the expected population of lymphocytes and plasma cells.

Another important structure to identify is the high-endothelial or post-capillary venule (A-32, [2.5x, 10x, 20x, 40x-labeled] [10x, 20x, 40x] [2.5x, 10x, 20x, 40x-labeled]; A-33 [2.5x, 10x, 20x, 40x-labeled]). Lymphocytes from the blood enter and leave the lymph nodes through post-capillary venules. These structures are characterized by high columnar or cuboidal endothelial cells. They are most often located in the paracortical zone, which is at the junction of the cortex and medulla. Locate a postcapillary venule on slide A-32. What advantage is gained by having lymphocytes entering and leaving the lymph node?

A32, Lymph Node, 2.5x Labeled (H&E) A32, Lymph Node, 10x (H&E) A32, Lymph Node, 20x (H&E) A32, Lymph Node, 40x (H&E) A32, Lymph Node, 2.5x Labeled (H&E) A32, Lymph Node, 10x (H&E) A32, Lymph Node, 20x (H&E) A32, Lymph Node, 2.5x (H&E) A32, Lymph Node, 10x (H&E) A32, Lymph Node, 20x Labeled (H&E) A32, Lymph Node, 40x (H&E) A33, Lymph Node, 2.5x (H&E) A33, Lymph Node, 10x (H&E) A33, Lymph Node, 20x (H&E) A33, Lymph Node, 40x (H&E) A34, Lymph Node, 2.5x (Reticulin) A34, Lymph Node, 10x (Reticulin) A34, Lymph Node, 20x (Reticulin) A34, Lymph Node, 40x Labeled (Reticulin) A35, Lymph Node, 2.5x (H&E) A35, Lymph Node, 10x (H&E) A35, Lymph Node, 20x (H&E) A35, Lymph Node, 40x (H&E) A32, Lymph Node, 2.5x (H&E) A32, Lymph Node, 10x Labeled (H&E) A32, Lymph Node, 20x (H&E) A32, Lymph Node, 40x (H&E) A32, Lymph Node, 2.5x (H&E) A32, Lymph Node, 10x (H&E) A32, Lymph Node, 20x (H&E) A32, Lymph Node, 40x Labeled (H&E) A34, Lymph Node, 2.5x (Reticulin) A34, Lymph Node, 10x (Reticulin) A34, Lymph Node, 20x (Reticulin) A34, Lymph Node, 40x (Reticulin) A34, Lymph Node, 10x (Reticulin) A34, Lymph Node, 20x (Reticulin) A34, Lymph Node, 40x (Reticulin) A32, Lymph Node, 2.5x (H&E) A32, Lymph Node, 10x (H&E) A32, Lymph Node, 20x (H&E) A32, Lymph Node, 40x Labeled (H&E) A32, Lymph Node, 10x (H&E) A32, Lymph Node, 20x (H&E) A32, Lymph Node, 40x (H&E) A32, Lymph Node, 2.5x (H&E) A32, Lymph Node, 10x (H&E) A32, Lymph Node, 20x (H&E) A32, Lymph Node, 40x Labeled (H&E) A33, Lymph Node, 2.5x (H&E) A33, Lymph Node, 10x (H&E) A33, Lymph Node, 20x (H&E) A33, Lymph Node, 40x Labeled (H&E)

Lymph Node Table of Identifications

Row Structure Abbreviation Optimal Stain Representative Section Note
1 Capsule C H&E a32 lymph node 2x labeled.jpgA32, Lymph Node, 2.5x  
2 Superficial Cortex SC H&E a32 lymph node 2x labeled.jpgA32, Lymph Node, 2.5x  
3 Deep Cortex DC H&E a32 lymph node 2x labeled.jpgA32, Lymph Node, 2.5x  
4 Medulla M H&E a32 lymph node 2x labeled.jpgA32, Lymph Node, 2.5x  
5 Hilus (none) H&E a32b lymph node 2x labeled.jpgA32, Lymph Node, 2.5x  
6 Subcapsular (Cortical) Sinus CS H&E a32b lymph node 2x labeled.jpgA32, Lymph Node, 2.5x  
7 Lymph Node LN H&E a32c lymph node 20x labeled.jpgA32, Lymph Node, 20x  
8 Trabecular Sinus TS Reticulin a34 trabeculae lymph node 40x labeled.jpgA34, Lymph Node, 40x  
9 Capillary C H&E a34 trabeculae lymph node 40x labeled.jpgA34, Lymph Node, 40x  
10 Medullary Sinus MS H&S a32 medulla lymph node 10x labeled.jpgA32, Lymph Node, 10x  
11 Medullary Cords (of Lymphocytes) MC H&E a32 medulla lymph node 10x labeled.jpgA32, Lymph Node, 10x  
12 Reticular Cell RC H&E a32 trabecular sinus lymph node 40x labeled.jpgA32, Lymph Node, 40x  
13 Macrophage M H&E a32 trabecular sinus lymph node 40x labeled.jpgA32, Lymph Node, 40x  
14 Lymphocyte L H&E a32 trabecular sinus lymph node 40x labeled.jpgA32, Lymph Node, 40x  
15 High Endothelial (Post-capillary) Venule (asterisk), (arrows) H&E a33 hev 40x labeled.jpgA33, Lymph Node, 40x; a32c high endothelial venule lymph node 40x labeled.jpgA32, Lymph Node, 40x  


Top of page

Spleen

The spleen is structurally arranged to filter out foreign agents, and to destroy worn-out red blood cells. To accomplish this, the blood leaves the blood vessels and passes through a meshwork of reticular tissue where phagocytic cells can pick out bacteria and antigenic materials as well as worn-out red blood cells.

Sections through the spleen (slides A-36, aniline blue [2.5x, 10x, 20x-labeled, 40x] [2.5x, 10x-labeled, 20x-labeled, 40x]; A-37, retic [2.5x, 10x, 20x-labeled, 40x]; A- 37, H&E [2.5x-labeled, 10x, 20x, 40x]; A-38, H&E [10x, 20x, 40x]; A-39, H&E [2.5x, 10x, 20x, 40x]) show a thick investing capsule composed of collagenous tissue and smooth muscle, typically covered with mesothelium. In slide A-36 muscle and collagen are brightly stained. The capsule and mesothelium completely surround the organ and the fibrous portion enters the splenic substance at the hilus around the splenic arteries and veins forming trabeculae of fibromuscular tissue within the splenic substance. This fibromuscular tissue enables the spleen to expel blood by contracting. Identify trabeculae as fibrous partitions in the section and look for blood vessels within them.

Where the trabecular arteries pass into the splenic pulp, they become invested by a sleeve of lymphoid tissue. This lymphatic tissue collectively forms the white pulp of the spleen (A-36 [2.5x, 10x, 20x, 40x]). It also is referred to as the periarterial lymphatic sheath or PALS. On an H&E stained section (A-38 [2.5x, 10x, 20x, 40x] [2.5x, 10x, 20x, 40x]) the white pulp will appear as basophilic clumps of lymphoid cells. The arteries of the white pulp are called central arteries, although they may be displaced to one side of the lymphoid sleeve by the presence of a nodule. The majority of cells forming the PALS are T lymphocytes. In places the covering of lymphatic tissue is enlarged due to the presence of lymphoid nodules (splenic or Malphighian corpuscles) which are comprised predominantly of B lymphocytes.

The remainder of the cellular mass in the spleen is red pulp (A-38 [10x, 20x, 40x]), made up of red and white cells of the blood enmeshed in the reticular tissue of splenic cords and present in the splenic sinuses. After passing through the PALS, the trabecular arteries branch to form smaller arterial vessels known as penicillar arterioles which narrow, forming arterial capillaries that empty into the cords of the red pulp (open circulation) or into the venous sinuses (closed circulation). In the splenic sinuses the cells of the blood are exposed to red pulp macrophages. The splenic sinuses eventually become confluent to form veins that enter the trabeculae and gradually merge meeting in the hilus to form splenic veins.

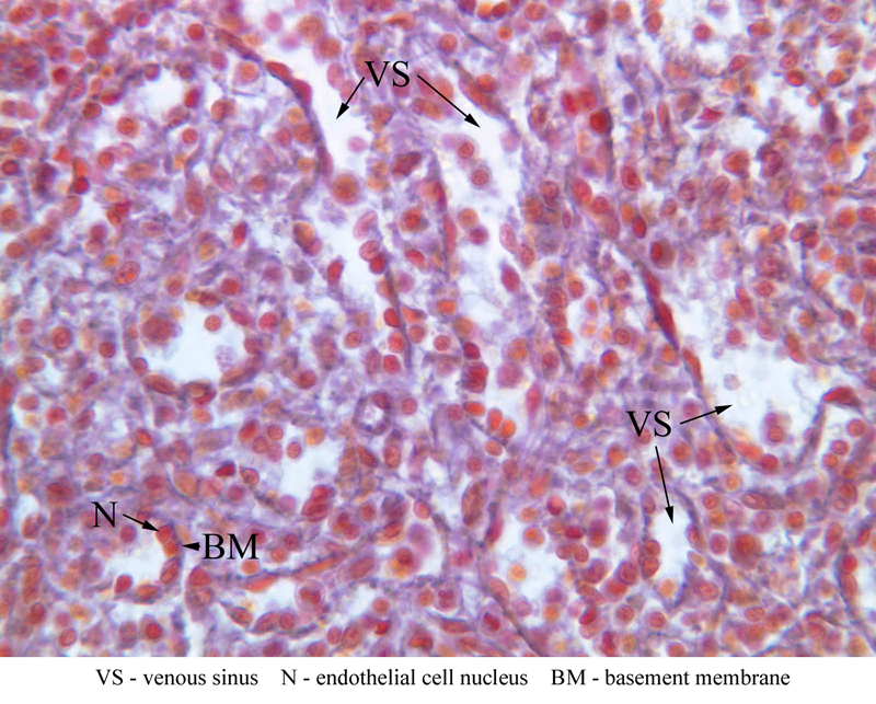
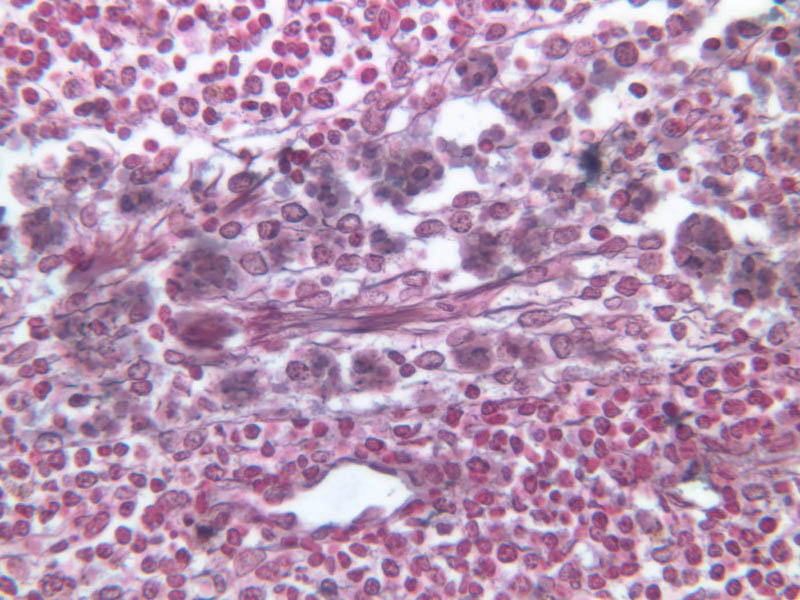
Examine the composition of the red pulp tissue. The three dimensional structure of the red pulp is analogous to Swiss cheese with the holes being the venous sinuses and the cheese being the parenchyma (i.e. splenic cords). On slide A-36 which is stained with Mallory's aniline blue locate examples of the splenic sinuses ([2.5x, 10x, 20x, 40x-labeled] [10x, 20x, 40x]). The walls of the splenic sinuses consist of adjoining specialized endothelial cells whose nuclei in many cases stand out from the wall in a bead-like fashion. The basement membrane of the epithelial cells stains blue revealing the sinuses quite nicely. Usually the sinus lumen is filled with red cells and leukocytes. The skeletal framework of the cords is provided by a network of reticular fibers. As above, the reticular cells are best seen using a reticular fiber stain (slide A-37 [2.5x, 10x, 20x, 40x-labeled]). Look for the large pale nuclei of reticular cells that have darkly stained reticular fibers. Fibers run irregularly in the cords, but clearly outline the sinuses around which they are wrapped. Notice on this same slide that there is much less reticular tissue in the white pulp than the red. The splenic cords occur around the sinuses and are distinguished by the presence of disintegrating red blood cells undergoing phagocytosis.

Here's a little histopathology: Observe slide A-40 (H&E [2.5x, 10x, 20x, 40x]). In this slide the corpses of red blood cells appear brown and can be seen littered throughout. These residual RBCs are referred to as hemosiderin. Slide A-39 (H&E [2.5x, 10x, 20x, 40x]) was prepared from a patient undergoing chemotherapy. How does the white pulp in this slide differ from the normal spleen, slide A-38?

A36, Spleen, 2.5x (Aniline Blue) A36, Spleen, 10x (Aniline Blue) A36, Spleen, 20x Labeled (Aniline Blue) A36, Spleen, 40x (Aniline Blue) A36, Spleen, 2.5x (Aniline Blue) A36, Spleen, 10x Labeled (Aniline Blue) A36, Spleen, 20x Labeled (Aniline Blue) A36, Spleen, 40x (Aniline Blue) A37, Spleen, 2.5x (Reticulin) A37, Spleen, 10x (Reticulin) A37, Spleen, 20x Labeled (Reticulin) A37, Spleen, 40x (Reticulin) A37, Spleen, 2.5x Labeled (H&E) A37, Spleen, 10x (H&E) A37, Spleen, 20x (H&E) A37, Spleen, 40x (H&E) A38, Spleen, 10x (H&E) A38, Spleen, 20x (H&E) A38, Spleen, 40x (H&E) A39, Spleen, 2.5x (H&E) A39, Spleen, 10x (H&E) A39, Spleen, 20x (H&E) A39, Spleen, 40x (H&E) A36, Spleen, 2.5x (Aniline Blue) A36, Spleen, 10x (Aniline Blue) A36, Spleen, 20x (Aniline Blue) A36, Spleen, 40x (Aniline Blue) A38, Spleen, 2.5x (H&E) A38, Spleen, 10x (H&E) A38, Spleen, 20x (H&E) A38, Spleen, 40x (H&E) A38, Spleen, 2.5x (H&E) A38, Spleen, 10x (H&E) A38, Spleen, 20x (H&E) A38, Spleen, 40x (H&E) A38, Spleen, 10x (H&E) A38, Spleen, 20x (H&E) A38, Spleen, 40x (H&E) A36, Spleen (Sinus), 2.5x (Aniline Blue) A36, Spleen (Sinus), 10x (Aniline Blue) A36, Spleen (Sinus), 20x (Aniline Blue) A36, Spleen (Sinus), 40x Labeled (Aniline Blue) A36, Spleen (Sinus), 10x (Aniline Blue) A36, Spleen (Sinus), 20x (Aniline Blue) A36, Spleen (Sinus), 40x (Aniline Blue) A37, Spleen, 2.5x (Reticulin) A37, Spleen, 10x (Reticulin) A37, Spleen, 20x (Reticulin) A37, Spleen, 40x Labeled (Reticulin) A40, Spleen, 2.5x (H&E) A40, Spleen, 10x (H&E) A40, Spleen, 20x (H&E) A40, Spleen, 40x (H&E)

Spleen Table of Identifications

Row Structure Abbreviation Optimal Stain Representative Section Note
1 Hilus (none) Aniline Blue a36 trabecular artery and vein spleen 20x labeled.jpgA36, Spleen, 20x  
2 Mesothelium (none) Aniline Blue a36 trabecular artery and vein spleen 20x labeled.jpgA36, Spleen, 20x  
3 Artery (none) Aniline Blue a36 trabecular artery and vein spleen 20x labeled.jpgA36, Spleen, 20x  
4 Trabecula T Aniline Blue, Reticulin a36 trabecular artery and vein spleen 20x labeled.jpgA36, Spleen, 20x; a37 trabeculae spleen 20x retic labeled.jpgA37, Spleen, 20x  
5 Venous Sinus VS Aniline Blue, Reticulin a36 trabecular artery and vein spleen 20x labeled.jpgA36, Spleen, 20x; a37 trabeculae spleen 20x retic labeled.jpgA37, Spleen, 20x  
6 White Pulp WP Aniline Blue a36b trabecular artery and vein spleen 10x labeled.jpgA36, Spleen, 10x  
7 Red Pulp RP Aniline Blue a36b trabecular artery and vein spleen 10x labeled.jpgA36, Spleen, 10x  
8 Central Artery CA Aniline Blue a36b trabecular artery and vein spleen 10x labeled.jpgA36, Spleen, 10x  
9 Vein (none) Aniline Blue a36b trabecular artery and vein spleen 20x labeled.jpgA36, Spleen, 20x  
10 Artery (none) Aniline Blue a36b trabecular artery and vein spleen 20x labeled.jpgA36, Spleen, 20x  
11 Trabecular Vein TV Reticulin a37 trabeculae spleen 20x retic labeled.jpgA37, Spleen, 20x  
12 Capsule (none) H&E a37 trabeculae spleen 2x he labeled.jpgA37, Spleen, 2.5x  
13 Endothelial Cell Nucleus N Aniline Blue a36b splenic sinus 40x labeled.jpgA36, Spleen, 40x  
14 Basement Membrane BM Aniline Blue a36b splenic sinus 40x labeled.jpgA36, Spleen, 40x  
15 Reticular Cells RC Reticulin a37 reticular cells 40x labeled.jpgA37, Spleen, 40x  


Top of page

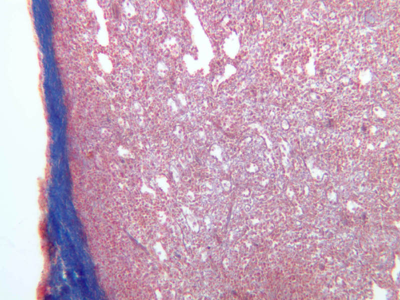
Thymus

Another encapsulated lymphoid organ is the thymus. In the developing animal, this tissue contains the most important concentration of lymphocytes in the body. If the thymus is removed, lymphoid nodular tissue elsewhere does not develop properly and the ability of the animal to develop immunological competence is impaired. In a newborn or young animal, therefore, the thymus is a large lymphoid structure. After maturity the thymus undergoes involution, although some of the structural features persist and will be found embedded in fatty tissue.

Examine slides A-43 through A-46 (A-43, H&E [2.5x, 10x, 20x]; A-44, H&E [10x, 20x, 40x]; A-46, H&E [2.5x-labeled, 10x, 20x-labeled, 40x]). Slides A-44 and [[http://www.medicalhistology.us/wiki/bin/viewfile/Main/ThymusImages?rev=1;filename=a45_hassall_corpuscle_medulla_infant_thymus_2x.jpg][A- 45]] are from infants and slide A-46 is from a young adolescent. Compare slide A-43 (adult thymus) to slide A-44 (infant thymus). First hold the slides up to the light and observe by eye that there is an increase in the amount of CT (and fat) that infiltrates the tissue with age. Now observe the differences in the appearance of the tissue at the microscopic level. Like the lymph node and spleen, the thymus is encapsulated, and the capsular connective tissue penetrates into the lymphoid tissue dividing it into compartments. But only the thymus appears lobulated. Each lobule is divided into a darker staining peripheral cortex and a lighter staining medulla. Diagnostic of the thymus are Hassall's corpuscles (A-45 [2.5x, 10x, 20x, 40x-labeled]). These are concentrically layered, eosinophilic structures found in the medulla.

Examine a section of young thymus (slides A-44, A-45). Note that it is surrounded by a thin CT capsule. Trabeculae from the capsule pass into the organ to divide the thymus incompletely into lobes (separated by thick trabeculae) and lobules (separated by thinner trabeculae). Notice that the lobules and lobes join centrally, making the parenchyma of the organ continuous throughout. Each lobule shows an outer, cortical region, densely packed with cells that are mostly lymphocytes, and a core or medullary region containing fewer cells. Lymphoid nodules with their germinal centers are absent from the thymus because it has no afferent lymphatics, i.e. this organ does not filter lymph. Examine the cortex and find large and small lymphocytes (A-44, H&E [2.5x, 10x, 20x, 40x] [2.5x, 10x, 20x, 40x]; A-45, H&E [10x, 20x, 40x] [2.5x, 10x, 20x, 40x] [2.5x, 10x, 20x, 40x]). Look for mitotic figures in the thymic cortex; these are lymphoblasts. Also try to discern large cells with acidophilic cytoplasm and large nuclei interspersed among the lymphocytes. These are the epithelioreticular cells. Now look at the medullary region where lymphocytes are sparser (A-44, H&E [10x, 20x, 40x]; A-45, H&E [2.5x, 10x, 20x, 40x-labeled] [10x, 20x, 40x]). Epithelioreticular cells are more readily apparent. Unlike the reticular cells in other lymphatic organs which are of mesenchymal descent, these reticular cells arise from epithelium of the pharyngeal pouches. Like other epithelial cells, thymic reticular cells are joined by desmosomes. In the thymus, the epithelioreticular cells form a cellular reticulum that supports the thymocytes.

Scattered randomly in the medullary tissue are acidophilic structures whose cells are concentrically arranged around an amorphous core. These are the thymic or Hassall's corpuscles. Hassall's corpuscles vary in size and appearance and are comprised of degenerated reticular cells that contain keratohyalin granules and keratin. No known function has been assigned to them.

A43, Thymus (Adult), 2.5x (H&E) A43, Thymus (Adult), 10x (H&E) A43, Thymus (Adult), 20x (H&E) A44, Thymus (Infant), 10x (H&E) A44, Thymus (Infant), 20x (H&E) A44, Thymus (Infant), 40x (H&E) A46, Thymus (Adolescent), 2.5x Labeled (H&E) A46, Thymus (Adolescent), 10x (H&E) A46, Thymus (Adolescent), 20x Labeled (H&E) A46, Thymus (Adolescent), 40x (H&E) A45, Thymus (Infant), 2.5x (H&E) A45, Thymus (Infant), 10x (H&E) A45, Thymus (Infant), 20x (H&E) A45, Thymus (Infant), 40x Labeled (H&E) A44, Thymus (Infant), 2.5x (H&E) A44, Thymus (Infant), 10x (H&E) A44, Thymus (Infant), 20x (H&E) A44, Thymus (Infant), 40x (H&E) A44, Thymus (Infant), 2.5x (H&E) A44, Thymus (Infant), 10x (H&E) A44, Thymus (Infant), 20x (H&E) A44, Thymus (Infant), 40x (H&E) A45, Thymus (Infant), 10x (H&E) A45, Thymus (Infant), 20x (H&E) A45, Thymus (Infant), 40x (H&E) A45, Thymus (Infant), 2.5x (H&E) A45, Thymus (Infant), 10x (H&E) A45, Thymus (Infant), 20x (H&E) A45, Thymus (Infant), 40x (H&E) A45, Thymus (Infant), 2.5x (H&E) A45, Thymus (Infant), 10x (H&E) A45, Thymus (Infant), 20x (H&E) A45, Thymus (Infant), 40x (H&E) A44, Thymus (Infant), 10x (H&E) A44, Thymus (Infant), 20x (H&E) A44, Thymus (Infant), 40x (H&E) A45, Thymus (Infant), 2.5x (H&E) A45, Thymus (Infant), 10x (H&E) A45, Thymus (Infant), 20x (H&E) A45, Thymus (Infant), 40x Labeled (H&E) A45, Thymus (Infant), 10x (H&E) A45, Thymus (Infant), 20x (H&E) A45, Thymus (Infant), 40x (H&E)

Thymus Table of Identifications

Row Structure Abbreviation Optimal Stain Representative Section Note
1 Trabeculae T H&E a46 adolescent thymus 2x labeled.jpgA46, Thymus (Adolescent), 2.5x  
2 Medulla M H&E a46 adolescent thymus 2x labeled.jpgA46, Thymus (Adolescent), 2.5x  
3 Cortex C H&E a46 adolescent thymus 2x labeled.jpgA46, Thymus (Adolescent), 2.5x  
4 Adipose Tissue AT H&E a46 adolescent thymus 2x labeled.jpgA46, Thymus (Adolescent), 2.5x  
5 Capsule (none) H&E a46 adolescent thymus 2x labeled.jpgA46, Thymus (Adolescent), 2.5x  
6 Blood Vessel BV H&E a46 adolescent thymus 20x labeled.jpgA46, Thymus (Adolescent), 20x  
7 Hassall's Corpuscle H H&E a45 hassall corpuscle medulla infant thymus 40x labeled.jpgA45, Thymus (Infant), 40x; a45 medulla infant thymus 40x labeled.jpgA45, Thymus (Infant), 40x  
8 Epithelioreticular Cells E H&E a45 hassall corpuscle medulla infant thymus 40x labeled.jpgA45, Thymus (Infant), 40x; a45 medulla infant thymus 40x labeled.jpgA45, Thymus (Infant), 40x  
9 Lymphoblasts (Mitotic Figures) L H&E a45 hassall corpuscle medulla infant thymus 40x labeled.jpgA45, Thymus (Infant), 40x  


Top of page

Chapter Seven Review

Review of Slides

lym lym lym lym lym lym lym lym lym lym lym lym lym lym lym lym lym lym lym lym lym lym lym lym lym lym lym lym lym lym lym lym lym lym lym lym lym lym lym lym lym lym lym lym lym lym lym lym lym lym lym lym lym lym lym lym lym lym lym lym lym lym lym lym lym lym lym lym lym lym lym lym lym lym lym lym lym lym lym lym lym lym lym lym lym lym lym lym lym lym lym lym lym lym lym lym lym lym lym lym lym lym lym lym lym lym lym lym lym lym lym lym lym lym lym lym lym lym lym lym lym lym lym lym lym lym lym lym lym lym lym lym lym lym lym lym lym lym lym lym lym lym lym lym lym lym lym lym lym lym lym lym lym lym lym lym lym lym lym lym lym lym lym lym lym lym lym lym lym lym lym lym lym lym lym lym lym lym lym lym lym lym lym lym lym lym lym lym lym lym lym lym lym lym lym lym lym lym lym lym lym lym lym lym lym lym lym lym lym lym lym lym lym lym lym lym lym lym lym lym lym lym lym lym lym lym lym lym lym lym lym lym lym lym lym lym lym lym lym lym lym lym lym lym lym lym lym GrossAnatomy_Lymphatics GrossAnatomy_Lymphatics GrossAnatomy_Lymphatics GrossAnatomy_Lymphatics GrossAnatomy_Lymphatics

Review of Identifications

Row Structure Abbreviation Optimal Stain Representative SectionSorted descending Note
17 Primary Nodule (none) H&E b20c appendix 2x labeled.jpgB20, Appendix, 2.5x  
18 Secondary Nodule (none) H&E b20c appendix 2x labeled.jpgB20, Appendix, 2.5x  
14 B Lymphocyte Precursor Bp H&E b20 lymphoid nodule appendix 40x labeled.jpgB20, Appendix, 40x  
15 Mitotic Figures MF H&E b20 lymphoid nodule appendix 40x labeled.jpgB20, Appendix, 40x  
16 Differentiated Lymphocyte DL H&E b20 lymphoid nodule appendix 40x labeled.jpgB20, Appendix, 40x  
11 Secondary Lymphoid Nodule (none) H&E b20 lymphoid nodule appendix 10x labeled.jpgB20, Appendix, 10x  
12 Germinal Center GC H&E b20 lymphoid nodule appendix 10x labeled.jpgB20, Appendix, 10x  
13 Corona C H&E b20 lymphoid nodule appendix 10x labeled.jpgB20, Appendix, 10x  
9 Peyer's Patches (Aggregated Lymphoid Nodules) LN H&E b16 peyers patch ileum 2x labeled.jpgB16, Ileum, 2.5x  
10 Submucosa SubM H&E b16 peyers patch ileum 2x labeled.jpgB16, Ileum, 2.5x  
2 Lacteal L H&E b12b lacteal jejunum 20x labeled.jpgB12, Jejunum, 20x  
3 Lamina Propria LP H&E b12b lacteal jejunum 20x labeled.jpgB12, Jejunum, 20x  
4 Villus V H&E b12b lacteal jejunum 20x labeled.jpgB12, Jejunum, 20x  
5 Intestinal Gland (Crypt) Gl H&E b12 lymphatic vessel jejunum 40x labeled.jpgB12, Jejunum, 40x  
6 Lymphatic Vessel LV H&E b12 lymphatic vessel jejunum 40x labeled.jpgB12, Jejunum, 40x  
7 Lymphatic Tissue (Lamina Propria) LP/LT H&E b12 lymphatic vessel jejunum 40x labeled.jpgB12, Jejunum, 40x  
1 Endothelial Cell EC H&E b12 lacteal jejunum 40x labeled.jpgB12, Jejunum, 40x  
8 Diffuse Lymphatic Tissue (none) H&E b12 diffuse lymphatic tissue galt jejunum 10x labeled.jpgB12, Jejunum, 10x  
53 Trabeculae of Thymus T H&E a46 adolescent thymus 2x labeled.jpgA46, Thymus (Adolescent), 2.5x  
54 Medulla of Thymus M H&E a46 adolescent thymus 2x labeled.jpgA46, Thymus (Adolescent), 2.5x  
55 Cortex of Thymus C H&E a46 adolescent thymus 2x labeled.jpgA46, Thymus (Adolescent), 2.5x  
56 Hassall's Corpuscle H H&E a45 hassall corpuscle medulla infant thymus 40x labeled.jpgA45, Thymus (Infant), 40x; a45 medulla infant thymus 40x labeled.jpgA45, Thymus (Infant), 40x  
57 Epithelioreticular Cells E H&E a45 hassall corpuscle medulla infant thymus 40x labeled.jpgA45, Thymus (Infant), 40x; a45 medulla infant thymus 40x labeled.jpgA45, Thymus (Infant), 40x  
23 Trabecula of Tonsil (none) H&E a41b tonsils 2x labeled.jpgA41, Tonsil, 2.5x  
19 Epithelium Ep H&E a41b lymphoid nodules tonsils 2x labeled.jpgA41, Tonsil, 2.5x  
20 Tonsillar Crypt TC H&E a41b lymphoid nodules tonsils 2x labeled.jpgA41, Tonsil, 2.5x  
21 Lymphatic Nodule LN H&E a41b lymphoid nodules tonsils 2x labeled.jpgA41, Tonsil, 2.5x  
22 Stratified Squamous Epithelium SSE H&E a41 tonsils 10x labeled.jpgA41, Tonsil, 10x  
49 Capsule (none) H&E a37 trabeculae spleen 2x he labeled.jpgA37, Spleen, 2.5x  
48 Trabecular Vein TV Reticulin a37 trabeculae spleen 20x retic labeled.jpgA37, Spleen, 20x  
52 Reticular Cells of Spleen RC Reticulin a37 reticular cells 40x labeled.jpgA37, Spleen, 40x  
46 Vein (none) Aniline Blue a36b trabecular artery and vein spleen 20x labeled.jpgA36, Spleen, 20x  
47 Artery (none) Aniline Blue a36b trabecular artery and vein spleen 20x labeled.jpgA36, Spleen, 20x  
43 White Pulp WP Aniline Blue a36b trabecular artery and vein spleen 10x labeled.jpgA36, Spleen, 10x  
44 Red Pulp RP Aniline Blue a36b trabecular artery and vein spleen 10x labeled.jpgA36, Spleen, 10x  
45 Central Artery CA Aniline Blue a36b trabecular artery and vein spleen 10x labeled.jpgA36, Spleen, 10x  
50 Endothelial Cell Nucleus N Aniline Blue a36b splenic sinus 40x labeled.jpgA36, Spleen, 40x  
51 Basement Membrane BM Aniline Blue a36b splenic sinus 40x labeled.jpgA36, Spleen, 40x  
41 Trabecula of Spleen T Aniline Blue, Reticulin a36 trabecular artery and vein spleen 20x labeled.jpgA36, Spleen, 20x; a37 trabeculae spleen 20x retic labeled.jpgA37, Spleen, 20x  
42 Venous Sinus VS Aniline Blue, Reticulin a36 trabecular artery and vein spleen 20x labeled.jpgA36, Spleen, 20x; a37 trabeculae spleen 20x retic labeled.jpgA37, Spleen, 20x  
38 Hilus of Spleen (none) Aniline Blue a36 trabecular artery and vein spleen 20x labeled.jpgA36, Spleen, 20x  
39 Mesothelium (none) Aniline Blue a36 trabecular artery and vein spleen 20x labeled.jpgA36, Spleen, 20x  
40 Artery (none) Aniline Blue a36 trabecular artery and vein spleen 20x labeled.jpgA36, Spleen, 20x  
31 Trabecular Sinus TS Reticulin a34 trabeculae lymph node 40x labeled.jpgA34, Lymph Node, 40x  
32 Capillary C H&E a34 trabeculae lymph node 40x labeled.jpgA34, Lymph Node, 40x  
37 High Endothelial (Post-capillary) Venule (asterisk), (arrows) H&E a33 hev 40x labeled.jpgA33, Lymph Node, 40x; a32c high endothelial venule lymph node 40x labeled.jpgA32, Lymph Node, 40x  
30 Lymph Node LN H&E a32c lymph node 20x labeled.jpgA32, Lymph Node, 20x  
28 Hilus of Lymph Node (none) H&E a32b lymph node 2x labeled.jpgA32, Lymph Node, 2.5x  
29 Subcapsular (Cortical) Sinus CS H&E a32b lymph node 2x labeled.jpgA32, Lymph Node, 2.5x  
35 Reticular Cell RC H&E a32 trabecular sinus lymph node 40x labeled.jpgA32, Lymph Node, 40x  
36 Macrophage M H&E a32 trabecular sinus lymph node 40x labeled.jpgA32, Lymph Node, 40x  
33 Medullary Sinus MS H&S a32 medulla lymph node 10x labeled.jpgA32, Lymph Node, 10x  
34 Medullary Cords (of Lymphocytes) MC H&E a32 medulla lymph node 10x labeled.jpgA32, Lymph Node, 10x  
24 Capsule C H&E a32 lymph node 2x labeled.jpgA32, Lymph Node, 2.5x  
25 Superficial Cortex SC H&E a32 lymph node 2x labeled.jpgA32, Lymph Node, 2.5x  
26 Deep Cortex DC H&E a32 lymph node 2x labeled.jpgA32, Lymph Node, 2.5x  
27 Medulla M H&E a32 lymph node 2x labeled.jpgA32, Lymph Node, 2.5x  


Top of page


Comments

 
Top of page

-- AshleyLPistorio - 27 May 2007
Topic revision: r2 - 20 Jun 2015, LorenEvey
 
This site is powered by FoswikiCopyright © by the contributing authors. All material on this collaboration platform is the property of the contributing authors.
Ideas, requests, problems regarding Medical Histology? Send feedback