Chapter Eleven: Oral Cavity and Salivary Glands

Introduction

Prior to learning the microarchitecture of the Oral Cavity and Salivary Glands, use the table below to review some of the gross anatomy of these tissues:
Structure Image
The Mouth Mouth.gif
The Oral Cavity and Pharynx OralCavityPharynx.gif
Salivary Glands SalivaryGlands.gif
The Epiglottis Epiglottis.gif

Oral Cavity

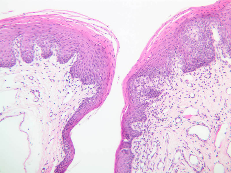
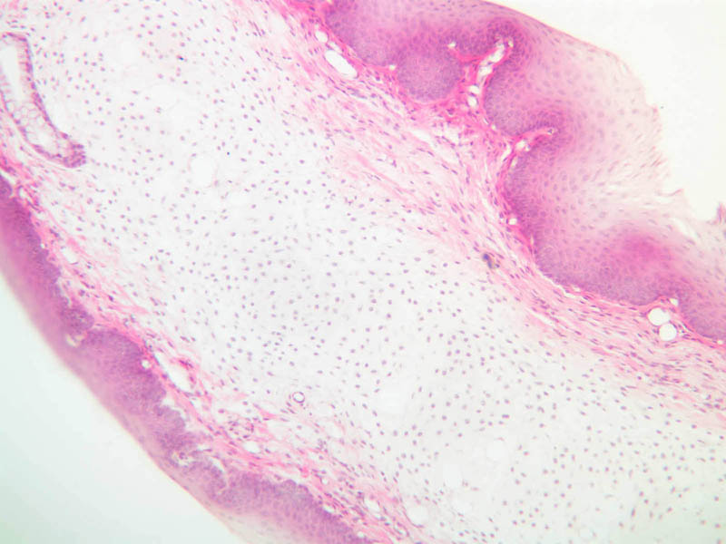
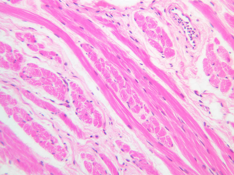
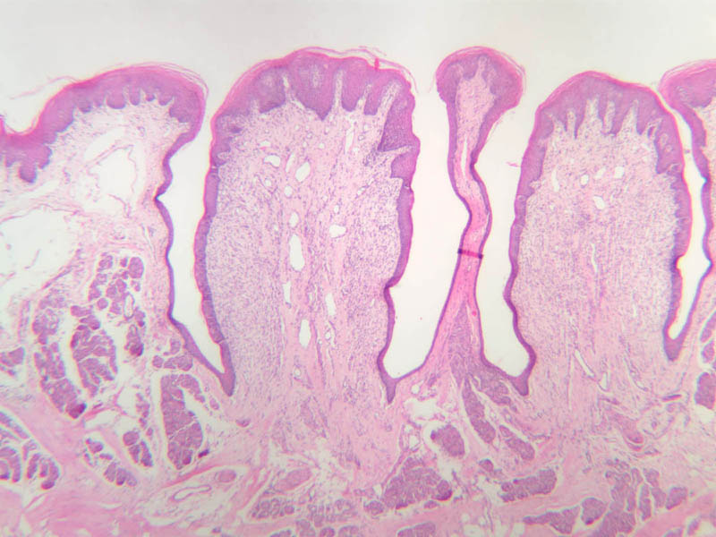
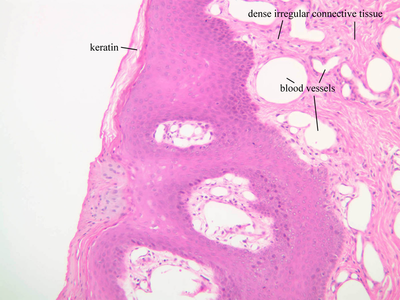
Using the lowest power objective, scan the section of human lip on slide A-55 [1x-labeled, 2x-labeled, 10x-labeled, 20x, 40x]. Note that the oral surface of the lip is covered by a very thick stratified squamous epithelium. Over the vermilion border (in life, the reddish portion) of the lip the stratified squamous epithelium is thinner and its outer layers are keratinized. This stratified squamous keratinized epithelium continues onto the outer surface of the lip, where sweat glands and hair follicles with their associated sebaceous glands appear in the underlying connective tissue bed. Note the abrupt change in epithelial thickness at the junction between the vermillion border and the oral mucosa; note also that this change in epithelial thickness pretty much coincides with a transition from keratinized to parakeratinized to nonkeratinized superficial layers. Look at your own lip and try to correlate what you see in the slide with what you see in the mirror.

Underlying the epithelium is irregular CT. There is little distinction between the lamina propria and the submucosa. Blood vessels that lie just under the epithelium give lips their red color. Mucous glands (described below) can be found in the lamina propria on the mucosal side of the lip. Large masses of skeletal muscle are found in the lip. These represent slips of the orbicularis oris muscle. What nerve innervates this and the other muscles of facial expression?

The tongue is covered with stratified squamous epithelium that, for the most part, is nonkeratinized. Whereas the ventral surface of the tongue is smooth, the dorsal and parts of the lateral surfaces are marked by alternating ridges and grooves that define the lingual papillae. Each papilla has a core of well-vascularized connective tissue that is continuous with the connective tissue that underlies all parts of the epithelium. The main mass of the tongue lies deep to this layer of connective tissue and consists of bundles of skeletal muscle that are oriented transversely, longitudinally and vertically.

Using the section on slide A-64 [2.5x-labeled, 10x, 20x, 40x-labeled], examine the muscular core of the tongue and compare the mucosae of the dorsal and ventral surfaces. You should be able to find good examples of filiform papillae, which, as a rule, are the only parts of the tongue's surface that bear keratinized epithelium (A-63 [2.5x, 10x-labeled, 20x, 40x], [2.5x, 10x, 20x, 40x]. How does the epithelium of the inferior surface of the tongue differ from that of the superior surface? Your slide collection also has examples of fungiform (A-63 [2.5x-labeled, 10x-labeled, 20x, 40x] and foliate (A-63 [2.5x, 10x, 20x, 40x] papillae.

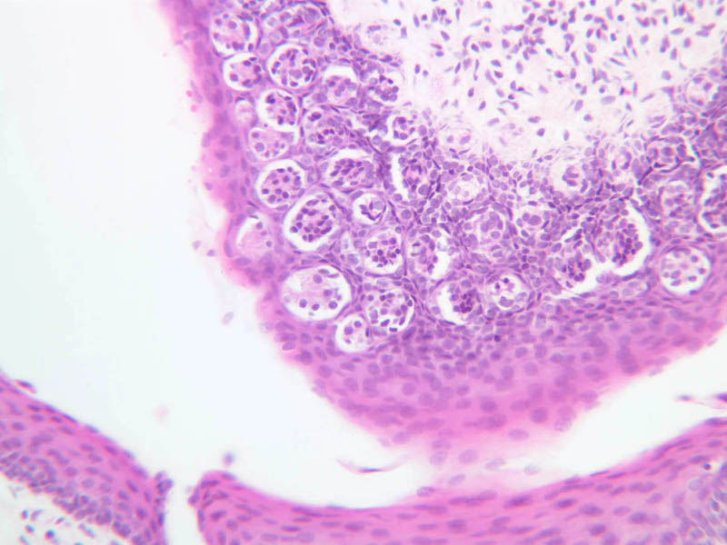
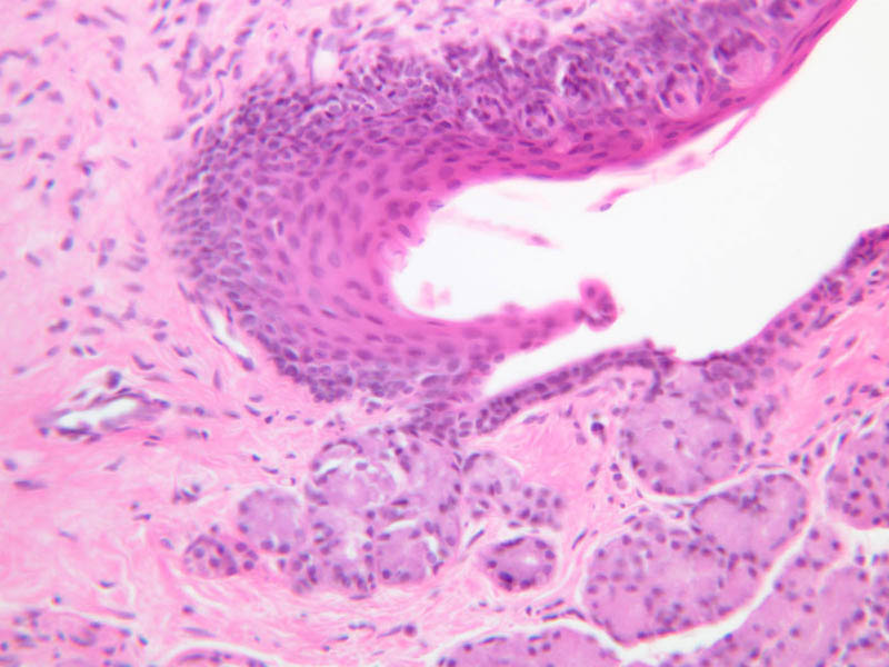
Slide A-63 [2.5x-labeled, 10x-labeled, 20x, 40x] is a section of tongue through a circumvallate (vallate) papilla. Each circumvallate papilla is surrounded by a cleft or trench. Near the base of the papilla you should be able to find examples of von Ebner's (serous) salivary glands; you may also find profiles of the ducts of von Ebner's glands, which empty into the basal portion of the cleft (A-63 [2.5x-labeled, 10x, 20x, 40x]. Mucous glands, which stain less intensely than serous glands, are also present in the tongue. Especially over the lower two-thirds of the papilla, and spanning the full thickness of its epithelium, you should find a number of lightly stained, oval structures. These structures, which themselves have an epithelioid appearance, are taste buds (A-63 [2.5x-labeled, 10x, 20x, 40x] [2.5x, 10x, 20x, 40x] [40x]. In suitably stained material, taste buds can be shown to consist of three different cell types. The section in your collection does not lend itself to the identification of these cell types; however, it is suitable for the documentation of the rapid turnover of taste bud cells, as evidenced by the ease with which mitotic figures can be found.

A55, Lip, 1x Labeled (H&E) A55, Lip, 2.5x Labeled (H&E) A55, Lip, 10x Labeled (H&E) A55, Lip, 20x (H&E) A55, Lip, 40x (H&E) A64, Tongue, 2.5x Labeled (H&E) A64, Tongue, 10x (H&E) A64, Tongue, 20x (H&E) A64, Tongue, 40x Labeled (H&E) A64, Tongue, 2.5x (H&E) A64, Tongue, 10x Labeled (H&E) A64, Tongue, 20x (H&E) A64, Tongue, 40x (H&E) A64, Tongue, 2.5x (H&E) A64, Tongue, 10x (H&E) A64, Tongue, 20x (H&E) A64, Tongue, 40x (H&E) A63, Tongue, 2.5x Labeled (H&E) A63, Tongue, 10x Labeled (H&E) A63, Tongue, 20x (H&E) A63, Tongue, 40x (H&E) A63, Tongue, 2.5x (H&E) A63, Tongue, 10x (H&E) A63, Tongue, 20x (H&E) A63, Tongue, 40x (H&E) A63, Tongue, 2.5x Labeled (H&E) A63, Tongue, 10x Labeled (H&E) A63, Tongue, 20x (H&E) A63, Tongue, 40x (H&E) A63, Tongue, 2.5x Labeled (H&E) A63, Tongue, 10x (H&E) A63, Tongue, 20x (H&E) A63, Tongue, 40x (H&E) A63, Tongue, 2.5x Labeled (H&E) A63, Tongue, 10x (H&E) A63, Tongue, 20x (H&E) A63, Tongue, 40x (H&E) A63, Tongue, 2.5x (H&E) A63, Tongue, 10x (H&E) A63, Tongue, 20x (H&E) A63, Tongue, 40x (H&E) A63, Tongue, 40x (H&E)

Oral Cavity Table of Identifications

Row Structure Abbreviation Optimal Stain Representative Section Note
1 Vermillion Border (none) H&E a55 lip transition 1x labeled.jpgA55, Lip, 1x  
2 Skin (of Lip) (none) H&E a55 lip transition 1x labeled.jpgA55, Lip, 1x  
3 Oral Mucosa (none) H&E a55 lip transition 1x labeled.jpgA55, Lip, 1x  
4 Keratin (none) H&E a55 lip transition 2x labeled.jpgA55, Lip, 2.5x  
5 Dense Irregular Connective Tissue (none) H&E a55 lip transition 10x labeled.jpgA55, Lip, 10x  
6 Blood Vessels (none) H&E a55 lip transition 10x labeled.jpgA55, Lip, 10x  
7 Dorsal Surface (of Tongue) (none) H&E a64 skeletal muscle tongue 2x labeled.jpgA64, Tongue, 2.5x  
8 Ventral Surface (of Tongue) (none) H&E a64 skeletal muscle tongue 2x labeled.jpgA64, Tongue, 2.5x  
9 Skeletal (Striated) Muscle (none), M H&E a64 skeletal muscle tongue 40x labeled.jpgA64, Tongue, 40x; a63 von ebner serous salivary gland 2x labeled.jpgA63, Tongue, 2.5x  
10 Filiform Papillae (none) H&E a64b filliform papillae tongue 10x labeled.jpgA64, Tongue, 10x  
11 Circumvallate Papilla (none) H&E a63 circumvallate papilla 2x labeled.jpgA63, Tongue, 2.5x  
12 Cleft (none) H&E a63 circumvallate papilla 2x labeled.jpgA63, Tongue, 2.5x  
13 Taste Bud TB, (circled areas) H&E a63 circumvallate papilla 10x labeled.jpgA63, Tongue, 10x; a63b taste buds tongue 2x labeled.jpgA63, Tongue, 2.5x  
12 Serous (von Ebner's) Glands Gl H&E a63 circumvallate papilla 10x labeled.jpgA63, Tongue, 10x  
13 Duct D H&E a63 circumvallate papilla 10x labeled.jpgA63, Tongue, 10x  
14 Stratified Squamous Epithelium SSE H&E a63 circumvallate papilla 10x labeled.jpgA63, Tongue, 10x  
15 Fungiform Papillae (none) H&E a63 fungiform papilla 2x labeled.jpgA63, Tongue, 2.5x  
16 Serous (von Ebner's) Glands Gl H&E a63 von ebner serous salivary gland 2x labeled.jpgA63, Tongue, 2.5x  
17 Foliate Papillae (none) H&E a63b taste buds tongue 2x labeled.jpgA63, Tongue, 2.5x  


Back to Top of Page

Salivary Glands

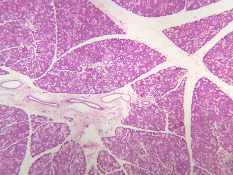
There are three pairs of major salivary glands, demonstrable by dissection as the parotid, submandibular, and sublingual glands. Each of these glands is surrounded by a connective tissue capsule and subdivided into lobes and lobules by connective tissue septa that project from the capsule into the substance of the gland. There are also a large number of small, accessory (or minor) salivary glands, which occur in the submucosa of the lip (labial), palate (palatine), tongue (lingual), cheek (buccal), and gums (gingival or molar). The accessory salivary glands are not encapsulated.

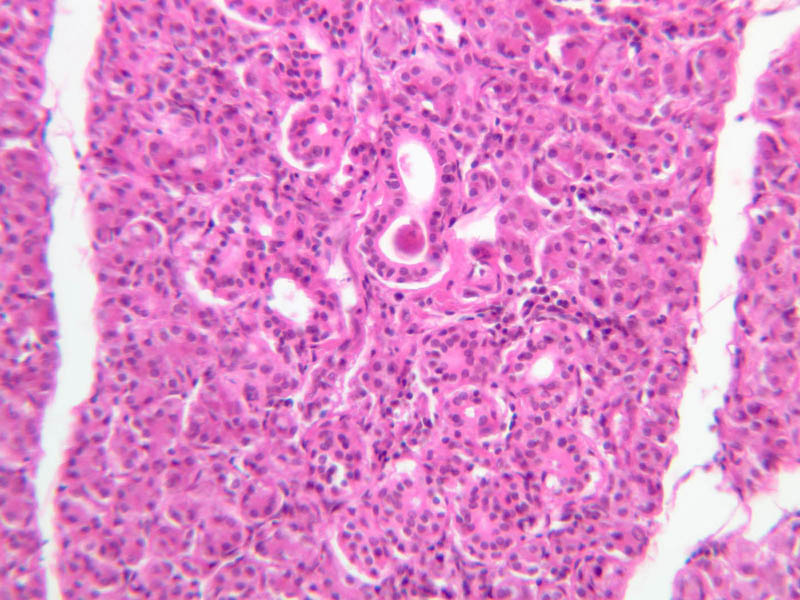
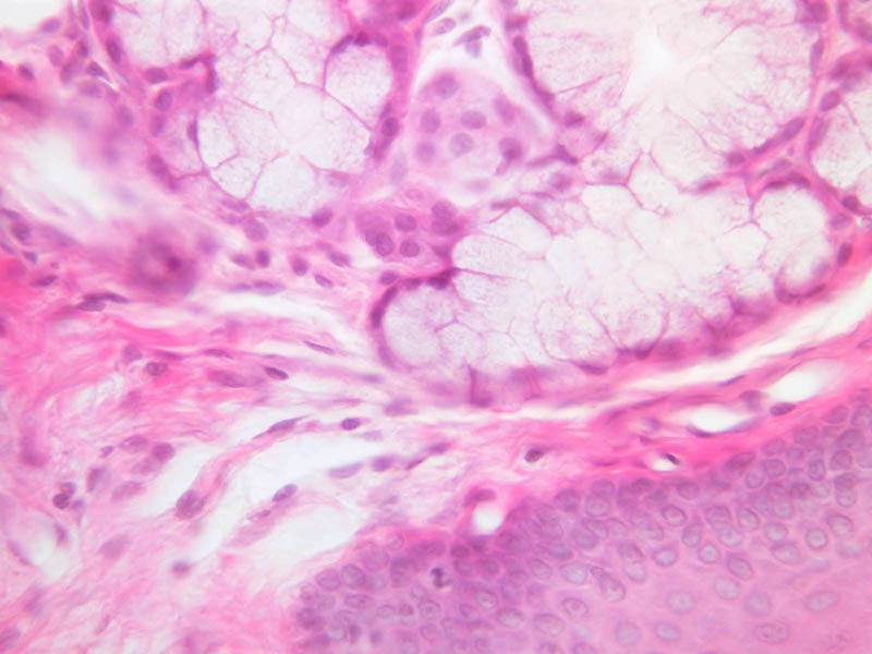
There are two types of secretory cells in salivary glands: mucous cells, which produce a viscous secretion consisting largely of highly glycosylated proteins and serous cells, which produce a watery secretion containing the digestive enzymes, amylase and lysozyme. These two cell types occur in different proportions in the different salivary glands. The secretory cells of the parotid gland and the lingual glands of von Ebner are entirely, or almost entirely, serous. Some of the minor salivary glands consist entirely of mucous secreting cells. The submandibular and sublingual glands are obviously mixed seromucous glands, with serous secretory cells predominating in the former, mucous secretory cells, in the latter.

Begin your study of salivary glands with the sections of submandibular gland on slide B-43. Each of the three sections on this slide has been stained by a different technique: one section is stained with H&E (B-43 [2.5x, 10x-labeled, 20x, 40x-labeled]), one, by the periodic acid-Schiff (PAS) technique (B-43 [2.5x, 10x, 20x, 40x-labeled]) and one, by the aldehyde fuchsin (AF) technique (B-43 [2.5x, 10x, 20x, 40x]). In the H&E-stained section the zymogen granules of the serous cells are easily discernible, whereas the secretory product of the mucous cells can only be inferred from the vacuolated, unstained appearance of their cytoplasm. By contrast, in the PAS-stained section mucous is rendered a brilliant magenta. In the AF-stained section the apical cytoplasm of mucous cells is pink, while the zymogen granules of the serous cells are a dirty greenish blue. Examine each of these sections to familiarize yourself with the appearance of mucous and serous secretory cells under different staining conditions. Note that serous and mucous cells can be distinguished by strictly morphological criteria--namely, the nuclei of serous cells are round, whereas those of mucous cells are flattened and displaced to the basal portion of the cell. Look for crescent-shaped caps of serous cells (serous demilunes) on some of the mucous acini. These serous cells empty into the acinar lumen by means of canalicules between adjacent mucous cells. Note that mucous secretory units may have either an acinar or a branched tubular morphology.

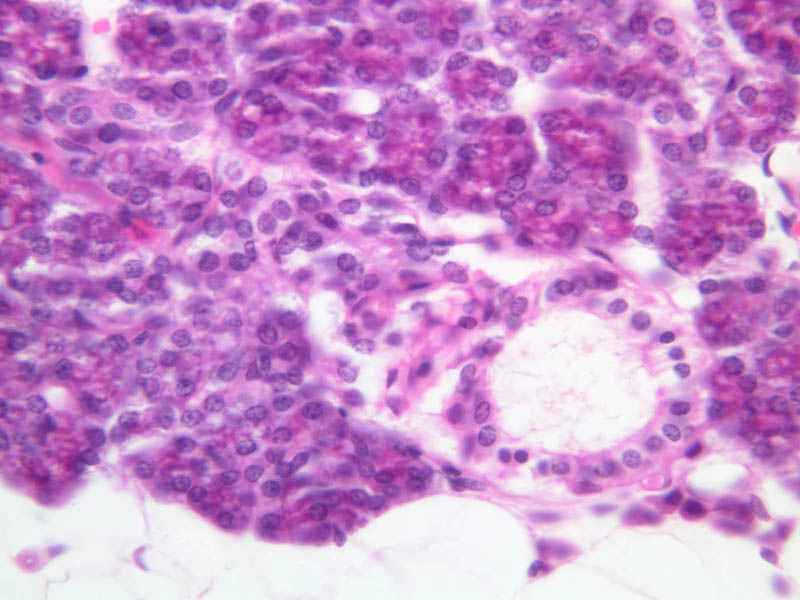
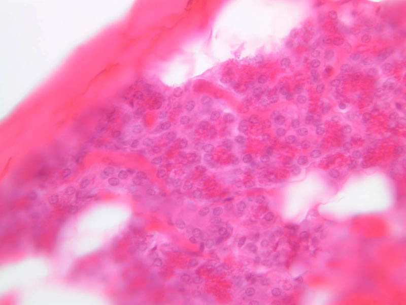
Examine a section of the parotid gland (slides B-46, H & E [2.5x, 10x, 20x, 40x]; B-47, H & E [2.5x, 10x, 20x, 40x]; & B-48, PAS [2.5x, 10x, 20x, 40x]). On low magnification, you can see lobes and lobules of serous acini (or alveoli). Note that the pyramidal cells of the acinus have a spherical, euchromatic nucleus and a markedly granular, well-stained cytoplasm. RER (ergastoplasm) is concentrated in the basal portion and membrane-bound secretory (zymogen) granules in the apical portion of the cells; accordingly, the basal cytoplasm is basophilic and the apical cytoplasm is acidophilic. These features are characteristic of serous cells, of which the human parotid gland is almost exclusively composed. Observe the acinar structure of the parotid gland closely and note that each circlet of epithelial tissue is invested by a basement membrane. Between this basement membrane and the round nuclei of the pyramidal glandular cells themselves, look for the flattened nuclei or eosinophilic processes of myoepithelial cells. Contraction of the processes of these cells expresses the secretory product. The parotid gland contains occasional aggregates of adipocytes, which bear a superficial resemblance to mucous secretory cells. You should be able to persuade yourself that these cells with large unstained vacuoles are not mucous cells by examining the PAS-stained section of parotid gland on slide B-48.

Begin your study of salivary gland ducts with the parotid gland (B-46, H & E [2.5x, 10x, 20x, 40x]; B-47, H & E [2.5x, 10x, 20x, 40x]). Note that this gland is divided into lobes and lobules by strands of connective tissue. The branches of connective tissue follow the divisions of the duct system from the oral cavity deep into the gland. As an aid to distinguishing ducts from secretory portions of the gland you should keep in mind that, even at low power, most duct elements are readily apparent because of their eosinophilic cytoplasm. Intercalated ducts, the initial segments of the duct system, are lined by low cuboidal cells and convey the secretory product from acini to striated ducts. Like the intercalated ducts, the striated ducts are intralobular; their simple epithelial lining ranges from cuboidal to high columnar and their eosinophilic cytoplasm is characterized by faint basal striations. These striations are the light microscopic manifestation of deep infoldings of plasma membrane associated with closely packed parallel arrays of mitochondria. This kind of structure is generally thought to subserve active ionic transport. Excretory (interlobular) ducts lie in the connective tissue between lobules. Depending on its caliber, the epithelial lining of an excretory duct may be simple cuboidal or columnar, stratified cuboidal or pseudostratified columnar.

In the H & E sections and AF sections of submandibular gland on slide B-44 (H & E [2.5x, 10x, 20x-labeled, 40x], [2.5x, 10x, 20x, 40x]) find examples of ducts of different caliber. You will find that intercalated ducts and striated ducts are evident only in regions with large concentrations of serous acini. This is because mucous secretory portions tend to be of a branched tubular rather than acinar morphology; moreover, ducts that convey mucous secretions serve as simple conduits and do not modify the secretions they convey.

The sublingual gland is a mixed seromucous gland with a preponderance of mucous acini. Your slide set does not include a specimen of sublingual gland, but you can get a sense of its architecture by studying the photomicrographs of the parotid and submandibular glands.

Secretory Duct Location Diameter Epithelium Special Characteristics
Intercalated Intralobular ~ 5 \xB5m Low Cuboidal
Striated Intraloblar 10-50 \xB5m Simple Cuboidal Basal striations
Excretory Interlobular > 50 \xB5m Tall cuboidal -> Stratified Columnar Basal striations

B43, Submandibular Gland, 2.5x (H&E) B43, Submandibular Gland, 10x Labeled (H&E) B43, Submandibular Gland, 20x (H&E) B43, Submandibular Gland, 40x Labeled (H&E) B43, Submandibular Gland, 2.5x (PAS) B43, Submandibular Gland, 10x (PAS) B43, Submandibular Gland, 20x (PAS) B43, Submandibular Gland, 40x Labeled (PAS) B43, Submandibular Gland, 2.5x (AF) B43, Submandibular Gland, 10x (AF) B43, Submandibular Gland, 20x (AF) B43, Submandibular Gland, 40x (AF) B46, Parotid Gland, 2.5x (H&E) B46, Parotid Gland, 10x (H&E) B46, Parotid Gland, 20x (H&E) B46, Parotid Gland, 40x (H&E) B47, Parotid Gland, 2.5x (H&E) B47, Parotid Gland, 10x (H&E) B47, Parotid Gland, 20x (H&E) B47, Parotid Gland, 40x (H&E) B48, Parotid Gland, 2.5x (PAS) B48, Parotid Gland, 10x (PAS) B48, Parotid Gland, 20x (PAS) B48, Parotid Gland, 40x (PAS) B46, Parotid Gland, 2.5x (H&E) B46, Parotid Gland, 10x (H&E) B46, Parotid Gland, 20x (H&E) B46, Parotid Gland, 40x (H&E) B47, Parotid Gland, 2.5x (H&E) B47, Parotid Gland, 10x (H&E) B47, Parotid Gland, 20x (H&E) B47, Parotid Gland, 40x (H&E) B44, Submandibular Gland, 2.5x (H&E) B44, Submandibular Gland, 10x (H&E) B44, Submandibular Gland, 20x Labeled (H&E) B44, Submandibular Gland, 40x (H&E) B44, Submandibular Gland, 2.5x (H&E) B44, Submandibular Gland, 10x (H&E) B44, Submandibular Gland, 20x (H&E) B44, Submandibular Gland, 40x (H&E) B44, Submandibular Gland, 20x (H&E) B43, Submandibular Gland, 2.5x (AF) B43, Submandibular Gland, 10x (AF) B43, Submandibular Gland, 20x Labeled (AF) B43, Submandibular Gland, 40x (AF)

Salivary Gland Table of Identifications

Row Structure Abbreviation Optimal Stain Representative Section Note
1 Blood Vessel (none) , BV H&E b43 submandibular gland mix 10x he labeled.jpgB43, Submandibular Gland, 10x  
2 Duct (none) H&E b43 submandibular gland mix 10x he labeled.jpgB43, Submandibular Gland, 10x  
3 Adipocytes (none), A H&E, PAS b43 submandibular gland mix 10x he labeled.jpgB43, Submandibular Gland, 10x; b43 submandibular gland mix 40x pas labeled.jpgB43, Submandibular Gland, 40x  
4 Septa (none) H&E b43 submandibular gland mix 10x he labeled.jpgB43, Submandibular Gland, 10x  
5 Serous Acini SA H&E, PAS, AF b43 submandibular gland mix 40x he labeled.jpgB43, Submandibular Gland, 40x; b43 submandibular gland mix 40x pas labeled.jpgB43, Submandibular Gland, 40x; b43b submandibular gland 20x af labeled.jpgB43, Submandibular Gland, 20x  
6 Mucous Acini MA H&E, PAS, AF b43 submandibular gland mix 40x he labeled.jpgB43, Submandibular Gland, 40x; b43 submandibular gland mix 40x pas labeled.jpgB43, Submandibular Gland, 40x; b43b submandibular gland 20x af labeled.jpgB43, Submandibular Gland, 20x  
7 Serous Demilune SD H&E b43 submandibular gland mix 40x he labeled.jpgB43, Submandibular Gland, 40x  
8 Striated Duct StD H&E, PAS, AF b43 submandibular gland mix 40x he labeled.jpgB43, Submandibular Gland, 40x; b43b submandibular gland 20x af labeled.jpgB43, Submandibular Gland, 20x  
9 Myoepithelial Cells MC H&E b43 submandibular gland mix 40x he labeled.jpgB43, Submandibular Gland, 40x  
10 Intercalated Duct ID H&E, AF b44 submandibular gland 20x labeled.jpgB44, Submandibular Gland, 20x; b43b submandibular gland 20x af labeled.jpgB43, Submandibular Gland, 20x  
11 Excretory Duct ED H&E b44 submandibular gland 20x labeled.jpgB44, Submandibular Gland, 20x  
12 Connective Tissue CT AF b43b submandibular gland 20x af labeled.jpgB43, Submandibular Gland, 20x  


Top of Page

Epiglottis

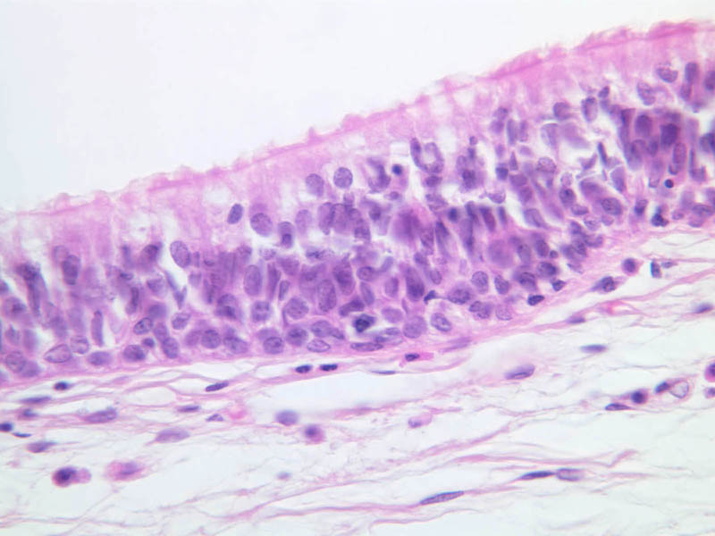
A longitudinal section of the epiglottis appears on slide A-67 (H & E [2.5x, 10x, 20x, 40x], [2.5x, 10x, 20x, 40x]. Find the elastic cartilage forming the core of the epiglottis. (Even though this slide is stained only with H&E, by adjusting the condenser of your microscope you should be able to distinguish the refractile elastic fibers that permeate the cartilage.) You should also be able to find lymphatic tissue and mixed glands in the lamina propria (A-67 [2.5x, 10x, 20x, 40x]). Note that the epithelium on the lingual surface (A-67 [2.5x, 10x, 20x, 40x]) is thicker than that on the pharyngeal surface (A-67 [2.5x, 10x, 20x, 40x]). Why should this be so?

A67, Epiglottis, 2.5x (H&E) A67, Epiglottis, 10x (H&E) A67, Epiglottis, 20x (H&E) A67, Epiglottis, 40x (H&E) A67, Epiglottis, 2.5x (H&E) A67, Epiglottis, 10x (H&E) A67, Epiglottis, 20x (H&E) A67, Epiglottis, 40x (H&E) A67, Trachea, 2.5x (H&E) A67, Trachea, 10x (H&E) A67, Trachea, 20x (H&E) A67, Trachea, 40x (H&E) A67, Epiglottis (Lingual Surface), 2.5x (H&E) A67, Epiglottis (Lingual Surface), 10x (H&E) A67, Epiglottis (Lingual Surface), 20x (H&E) A67, Epiglottis (Lingual Surface), 40x (H&E) A67, Epiglottis (Pharyngeal Surface), 2.5x (H&E) A67, Epiglottis (Pharyngeal Surface), 10x (H&E) A67, Epiglottis (Pharyngeal Surface), 20x (H&E) A67, Epiglottis (Pharyngeal Surface), 40x (H&E)

Epiglottis Table of Identifications

Row Structure Abbreviation Optimal Stain Representative Section Note
1 Lingual Surface (of Epiglottis) (unlabeled) H&E a67 epiglottis lingual surface 20x.jpgA67, Epiglottis, 20x  
2 Pharyngeal Surface (of Epiglottis) (unlabeled) H&E a67 epiglottis pharyngeal surface 20x.jpgA67, Epiglottis, 20x  
3 Seromucous Glands (unlabeled) H&E a67 seromucous glands trachea 20x.jpgA67, Trachea, 2.5x  


Top of Page

Soft Palate

Examine the section of soft palate on slide A-68 (H & E, Superior Surface [2.5x, 10x, 20x, 40x]; Lingual Surface [2.5x, 10x, 20x, 40x]), noting the elements of connective, muscular and glandular tissue that form its core and the very different epithelial coverage of its superior and inferior surfaces.

A68, Soft Palate (Superior Surface), 2.5x (H&E) A68, Soft Palate (Superior Surface), 10x (H&E) A68, Soft Palate (Superior Surface), 20x (H&E) A68, Soft Palate (Superior Surface), 40x (H&E) A68, Soft Palate (Lingual Surface), 2.5x (H&E) A68, Soft Palate (Lingual Surface), 10x (H&E) A68, Soft Palate (Lingual Surface), 20x (H&E) A68, Soft Palate (Lingual Surface), 40x (H&E)

Soft Palate Table of Identifications

Row Structure Abbreviation Optimal Stain Representative Section Note
1 Superior Surface (of Soft Palate) (unlabeled) H&E a68 superior surface soft palate 20x.jpgA68, Soft Palate, 20x  
2 Inferior Surface (of Soft Palate) (unlabeled) H&E a68 lingual surface soft palate 20x.jpgA68, Soft Palate, 20x  


Top of Page

Chapter Eleven Review

Review of Slides

OC OC OC OC OC OC OC OC OC OC OC OC OC OC OC OC OC OC OC OC OC OC OC OC OC OC OC OC OC OC OC OC OC OC OC OC OC OC OC OC OC OC OC OC OC OC OC OC OC OC OC OC OC OC OC OC OC OC OC OC OC OC OC OC OC OC OC OC OC OC OC OC OC OC OC OC OC OC OC OC OC OC OC OC OC OC OC OC OC OC OC OC OC OC OC OC OC OC OC OC OC OC OC OC OC OC OC OC OC OC OC OC OC OC OC OC OC OC OC OC OC OC OC OC OC OC OC OC OC OC OC OC GrossAnatomy_OralCavity GrossAnatomy_OralCavity GrossAnatomy_OralCavity GrossAnatomy_OralCavity

Review of Identifications

Row Structure Abbreviation Optimal Stain Representative SectionSorted ascending Note
6 Blood Vessels (none), BV H&E a55 lip transition 10x labeled.jpgA55, Lip, 10x; b43 submandibular gland mix 10x he labeled.jpgB43, Submandibular Gland, 10x  
5 Dense Irregular Connective Tissue (none), CT H&E, AF a55 lip transition 10x labeled.jpgA55, Lip, 10x; b43b submandibular gland 20x af labeled.jpgB43, Submandibular Gland, 20x  
1 Vermillion Border (none) H&E a55 lip transition 1x labeled.jpgA55, Lip, 1x  
2 Skin (of Lip) (none) H&E a55 lip transition 1x labeled.jpgA55, Lip, 1x  
3 Oral Mucosa (none) H&E a55 lip transition 1x labeled.jpgA55, Lip, 1x  
4 Keratin (none) H&E a55 lip transition 2x labeled.jpgA55, Lip, 2.5x  
12 Serous (von Ebner's) Glands Gl H&E a63 circumvallate papilla 10x labeled.jpgA63, Tongue, 10x  
13 Duct (tongue) D H&E a63 circumvallate papilla 10x labeled.jpgA63, Tongue, 10x  
14 Stratified Squamous Epithelium SSE H&E a63 circumvallate papilla 10x labeled.jpgA63, Tongue, 10x  
13 Taste Bud TB, (circled areas) H&E a63 circumvallate papilla 10x labeled.jpgA63, Tongue, 10x; a63b taste buds tongue 2x labeled.jpgA63, Tongue, 2.5x  
11 Circumvallate Papilla (none) H&E a63 circumvallate papilla 2x labeled.jpgA63, Tongue, 2.5x  
12 Cleft (none) H&E a63 circumvallate papilla 2x labeled.jpgA63, Tongue, 2.5x  
15 Fungiform Papillae (none) H&E a63 fungiform papilla 2x labeled.jpgA63, Tongue, 2.5x  
16 Serous (von Ebner's) Glands Gl H&E a63 von ebner serous salivary gland 2x labeled.jpgA63, Tongue, 2.5x  
17 Foliate Papillae (none) H&E a63b taste buds tongue 2x labeled.jpgA63, Tongue, 2.5x  
7 Dorsal Surface (of Tongue) (none) H&E a64 skeletal muscle tongue 2x labeled.jpgA64, Tongue, 2.5x  
8 Ventral Surface (of Tongue) (none) H&E a64 skeletal muscle tongue 2x labeled.jpgA64, Tongue, 2.5x  
9 Skeletal (Striated) Muscle (none), M H&E a64 skeletal muscle tongue 40x labeled.jpgA64, Tongue, 40x; a63 von ebner serous salivary gland 2x labeled.jpgA63, Tongue, 2.5x  
10 Filiform Papillae (none) H&E a64b filliform papillae tongue 10x labeled.jpgA64, Tongue, 10x  
28 Lingual Surface (of Epiglottis) (unlabeled) H&E a67 epiglottis lingual surface 20x.jpgA67, Epiglottis, 20x  
29 Pharyngeal Surface (of Epiglottis) (unlabeled) H&E a67 epiglottis pharyngeal surface 20x.jpgA67, Epiglottis, 20x  
30 Seromucous Glands (unlabeled) H&E a67 seromucous glands trachea 20x.jpgA67, Trachea, 2.5x  
32 Inferior Surface (of Soft Palate) (unlabeled) H&E a68 lingual surface soft palate 20x.jpgA68, Soft Palate, 20x  
31 Superior Surface (of Soft Palate) (unlabeled) H&E a68 superior surface soft palate 20x.jpgA68, Soft Palate, 20x  
18 Duct (gland) (none) H&E b43 submandibular gland mix 10x he labeled.jpgB43, Submandibular Gland, 10x  
20 Septa (none) H&E b43 submandibular gland mix 10x he labeled.jpgB43, Submandibular Gland, 10x  
19 Adipocytes (none), A H&E, PAS b43 submandibular gland mix 10x he labeled.jpgB43, Submandibular Gland, 10x; b43 submandibular gland mix 40x pas labeled.jpgB43, Submandibular Gland, 40x  
23 Serous Demilune SD H&E b43 submandibular gland mix 40x he labeled.jpgB43, Submandibular Gland, 40x  
25 Myoepithelial Cells MC H&E b43 submandibular gland mix 40x he labeled.jpgB43, Submandibular Gland, 40x  
21 Serous Acini SA H&E, PAS, AF b43 submandibular gland mix 40x he labeled.jpgB43, Submandibular Gland, 40x; b43 submandibular gland mix 40x pas labeled.jpgB43, Submandibular Gland, 40x; b43b submandibular gland 20x af labeled.jpgB43, Submandibular Gland, 20x  
22 Mucous Acini MA H&E, PAS, AF b43 submandibular gland mix 40x he labeled.jpgB43, Submandibular Gland, 40x; b43 submandibular gland mix 40x pas labeled.jpgB43, Submandibular Gland, 40x; b43b submandibular gland 20x af labeled.jpgB43, Submandibular Gland, 20x  
24 Striated Duct StD H&E, PAS, AF b43 submandibular gland mix 40x he labeled.jpgB43, Submandibular Gland, 40x; b43b submandibular gland 20x af labeled.jpgB43, Submandibular Gland, 20x  
27 Excretory Duct ED H&E b44 submandibular gland 20x labeled.jpgB44, Submandibular Gland, 20x  
26 Intercalated Duct ID H&E, AF b44 submandibular gland 20x labeled.jpgB44, Submandibular Gland, 20x; b43b submandibular gland 20x af labeled.jpgB43, Submandibular Gland, 20x  

Top of Page


Comments

 
Top of page

-- AshleyLPistorio - 27 May 2007
Topic revision: r2 - 20 Jun 2015, LorenEvey
 
This site is powered by FoswikiCopyright © by the contributing authors. All material on this collaboration platform is the property of the contributing authors.
Ideas, requests, problems regarding Medical Histology? Send feedback